Suppr超能文献

赖氨酸去乙酰化方案,用于测试 III 类去乙酰化酶的假定底物。

Protocol for lysine deacetylation to test putative substrates of class III deacetylases.

机构信息

Department of Radiation Oncology, Dana-Farber Cancer Institute, Boston, MA 02115, USA.

Department of Radiation Oncology and Winship Cancer Institute, Emory University School of Medicine, Atlanta, GA 30322, USA.

出版信息

STAR Protoc. 2022 Apr 13;3(2):101313. doi: 10.1016/j.xpro.2022.101313. eCollection 2022 Jun 17.

Abstract

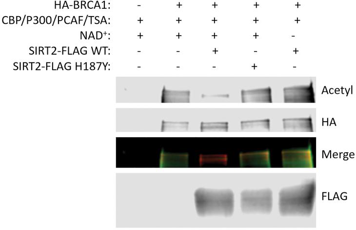
Lysine acetylation is an important post-translational modification that is used in multiple cellular pathways, such as the regulation of gene expression at the histone level. The purpose of this assay is to test for putative substrates of class III deacetylases using an method. The analysis helps circumvent confounding variables when assessing for a direct relationship between deacetylase and substrate, such as the effects of other cellular deacetylases or acetyltransferases that modify the substrate . For complete details on the use and execution of this protocol, please refer to Minten et al. (2021).

摘要

赖氨酸乙酰化是一种重要的翻译后修饰,用于多种细胞途径,如组蛋白水平的基因表达调控。本测定法的目的是使用一种方法来测试 III 类脱乙酰酶的假定底物。这种分析有助于在评估脱乙酰酶与底物之间的直接关系时避免混杂变量,例如其他细胞脱乙酰酶或乙酰转移酶修饰底物的影响。有关该方案的使用和执行的完整详细信息,请参见 Minten 等人(2021 年)。

https://cdn.ncbi.nlm.nih.gov/pmc/blobs/10b3/9038758/d3f85ef45018/fx1.jpg

文献检索

告别复杂PubMed语法,用中文像聊天一样搜索,搜遍4000万医学文献。AI智能推荐,让科研检索更轻松。

立即免费搜索

文件翻译

保留排版,准确专业,支持PDF/Word/PPT等文件格式,支持 12+语言互译。

免费翻译文档

深度研究

AI帮你快速写综述,25分钟生成高质量综述,智能提取关键信息,辅助科研写作。

立即免费体验