Suppr超能文献

病例报告:首例可能与水肺潜水相关的自发性冠状动脉夹层病例。

Case Report: A First Case of Spontaneous Coronary Artery Dissection Potentially Associated With Scuba Diving.

作者信息

Mahendiran Thabo, Desgraz Benoît, Antiochos Panagiotis, Rubimbura Vladimir

机构信息

Department of Cardiology, Lausanne University Hospital, Lausanne, Switzerland.

Underwater and Hyperbaric Medicine, Lausanne University Hospital, Lausanne, Switzerland.

出版信息

Front Cardiovasc Med. 2022 Apr 14;9:855449. doi: 10.3389/fcvm.2022.855449. eCollection 2022.

Abstract

BACKGROUND

Scuba diving has rarely been associated with spontaneous arterial dissection. However, all documented cases have involved the cervicocranial arteries.

CASE SUMMARY

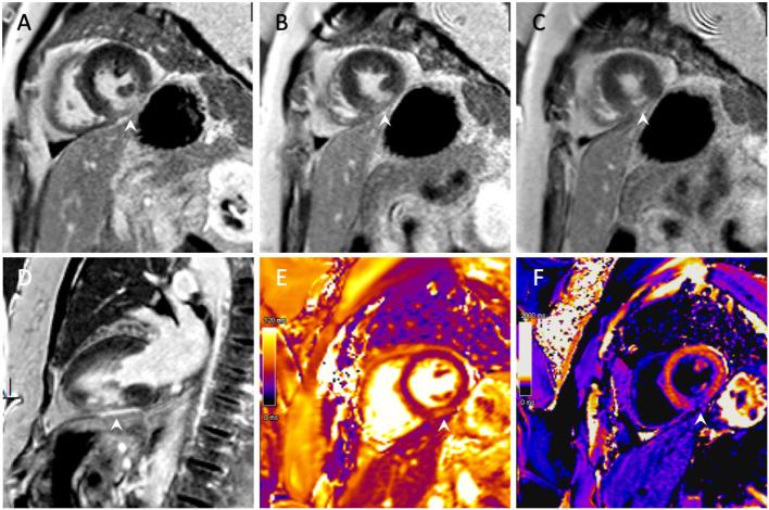
We report the first case of spontaneous coronary artery dissection (SCAD) potentially associated with scuba diving in a 65-year-old female with no medical history or known cardiovascular risk factors. She presented with sudden-onset chest pain during her descent whilst scuba diving on holiday. An initial ECG revealed transient abnormalities, but due to normal initial blood tests, a reassuring echocardiogram, and the resolution of her symptoms, she was discharged from hospital without a clear diagnosis. During her subsequent presentation to our hospital 1 week later, electrocardiographic evidence of an inferior myocardial infarction (MI) was noted, with an echocardiogram revealing regional wall motion abnormalities of the left ventricular inferior wall. Coronary angiography revealed the presence of a SCAD of the posterior left ventricular artery, with cardiac magnetic resonance imaging confirming the presence of an inferior MI. As recommended in the majority of cases of SCAD, this case was managed conservatively with a favorable clinical course.

CONCLUSION

This is the first reported case of SCAD potentially associated with scuba diving. It highlights the importance of considering SCAD in patients presenting with sudden-onset chest pain during physical activity, especially in female patients (including older patients) with no cardiovascular risk factors. Furthermore, it serves as a reminder that symptoms during scuba diving are not always related to decompression illness.

摘要

背景

潜水与自发性动脉夹层形成的关联极为罕见。然而,所有已记录的病例均涉及颈颅动脉。

病例摘要

我们报告了首例可能与潜水相关的自发性冠状动脉夹层(SCAD)病例,患者为一名65岁女性,无病史及已知心血管危险因素。她在度假潜水下降过程中突发胸痛。初始心电图显示短暂异常,但由于初始血液检查正常、超声心动图结果令人安心且症状缓解,她未明确诊断就出院了。1周后她再次就诊于我院时,心电图显示下壁心肌梗死(MI),超声心动图显示左心室下壁节段性室壁运动异常。冠状动脉造影显示左心室后动脉存在SCAD,心脏磁共振成像证实存在下壁MI。如同大多数SCAD病例所推荐的,该病例采取保守治疗,临床过程良好。

结论

这是首例报道的可能与潜水相关的SCAD病例。它凸显了对于在体力活动期间突发胸痛的患者,尤其是无心血管危险因素的女性患者(包括老年患者),考虑SCAD的重要性。此外,它提醒人们潜水期间的症状并非总是与减压病相关。

https://cdn.ncbi.nlm.nih.gov/pmc/blobs/0600/9046929/e7b019077386/fcvm-09-855449-g0001.jpg

文献AI研究员

20分钟写一篇综述,助力文献阅读效率提升50倍。

立即体验

用中文搜PubMed

大模型驱动的PubMed中文搜索引擎

马上搜索

文档翻译

学术文献翻译模型,支持多种主流文档格式。

立即体验