• 文献检索
  • 文档翻译
  • 深度研究
  • 学术资讯
  • Suppr Zotero 插件Zotero 插件
  • 邀请有礼
  • 套餐&价格
  • 历史记录
应用&插件
Suppr Zotero 插件Zotero 插件浏览器插件Mac 客户端Windows 客户端微信小程序
定价
高级版会员购买积分包购买API积分包
服务
文献检索文档翻译深度研究API 文档MCP 服务
关于我们
关于 Suppr公司介绍联系我们用户协议隐私条款
关注我们

Suppr 超能文献

核心技术专利:CN118964589B侵权必究
粤ICP备2023148730 号-1Suppr @ 2026

文献检索

告别复杂PubMed语法,用中文像聊天一样搜索,搜遍4000万医学文献。AI智能推荐,让科研检索更轻松。

立即免费搜索

文件翻译

保留排版,准确专业,支持PDF/Word/PPT等文件格式,支持 12+语言互译。

免费翻译文档

深度研究

AI帮你快速写综述,25分钟生成高质量综述,智能提取关键信息,辅助科研写作。

立即免费体验

成年印度孔雀(Pavo cristatus)坏死性肠炎与弯曲杆菌病和球虫病相关病例。

Case of necrotic enteritis associated with campylobacteriosis and coccidiosis in an adult Indian peacock (Pavo cristatus).

机构信息

Department of Pathology and Veterinary Diagnostics of the Institute of Veterinary Medicine, Warsaw University of Life Sciences, Nowoursynowska 159c, 02-776, Warsaw, Poland.

Department of Preclinical Sciences, of the Institute of Veterinary Medicine, Warsaw University of Life Sciences, Nowoursynowska 159c, 02-776, Warsaw, Poland.

出版信息

BMC Vet Res. 2022 May 2;18(1):160. doi: 10.1186/s12917-022-03260-1.

DOI:10.1186/s12917-022-03260-1
PMID:35501900
原文链接:https://pmc.ncbi.nlm.nih.gov/articles/PMC9063363/
Abstract

BACKGROUND

To date, Campylobacter jejuni has not been found to be pathogenic to peafowl. The available publications show that out of a total of 44 samples tested from peafowl, this bacterium was isolated only in two cases. Eimeria pavonina infestations in the peafowl have been described, but no fatal cases have been reported yet.

CASE PRESENTATION

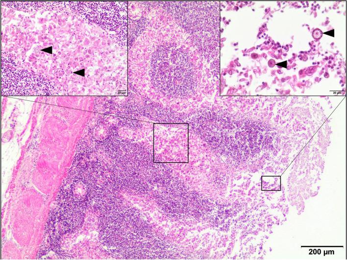
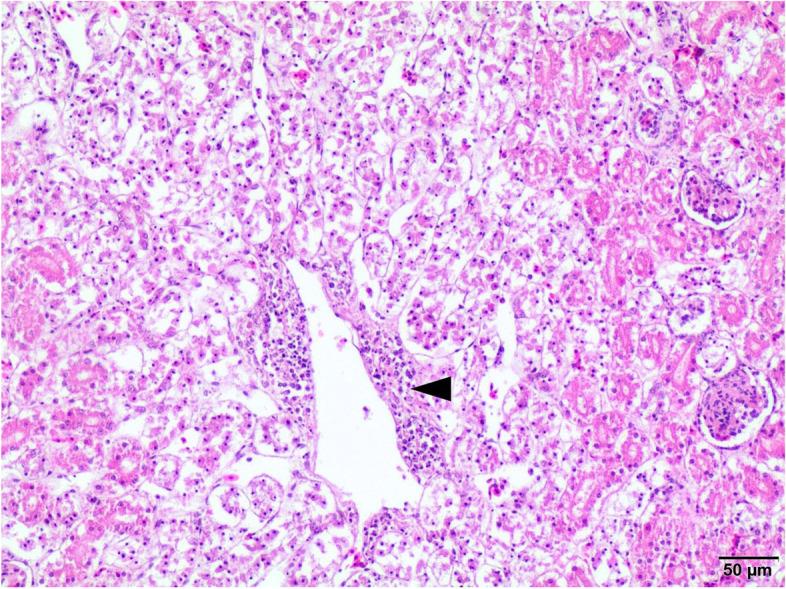
The four-year-old peacock was presented with chronic diarrhea, emaciation and weakness. Post mortem examination revealed enlarged and pale kidneys, small intestinal mucosal necrosis and thickening of intestinal wall, and pericardial effusion. The histopathological examination revealed necrotic enteritis with marked mononuclear cells infiltration associated with the presence of coccidia, additionally there was histological evidence of septicemia in liver and kidneys. Bacteria identification was based on light microscopy of the small intestine sample, culture, and biochemical tests. Further identification was based on PCR. Antimicrobial susceptibility profile was created by determination of minimal inhibitory concentration (MIC) values for 6 antimicrobial agents from 5 different classes. PCR assays were performed to detect virulence factors genes responsible for motility, cytolethal distending toxin production, adhesion and internalization. Bacteriology of the small intestine sample showed abundant growth almost exclusively of Campylobacter jejuni, resistant to ciprofloxacin, gentamycin and ampicillin. Bacteria was sensitive to Amoxicillin + clavulanic acid, tetracycline, and erythromycin. All tested virulence factors genes have been detected. The parasitological examination was performed by microscopic examination of fresh faeces and intestinal content, and revealed the moderate number of Eimeria pavonina, Histomonas meleagridis, single Capillaria spp. eggs as well Heterakis spp. like parasites.

CONCLUSION

The above case shows that a virulent isolate of Campylobacter jejuni in combination with a parasitic invasion may cause chronic enteritis in peafowl, which most likely led to extreme exhaustion of the host organism and death.

摘要

背景

迄今为止,尚未发现空肠弯曲菌对孔雀致病。现有文献表明,在总共对 44 份孔雀样本进行的检测中,仅在两种情况下分离到这种细菌。已描述了孔雀中艾美耳球虫的感染,但尚未报告致命病例。

病例介绍

这只 4 岁的孔雀表现为慢性腹泻、消瘦和虚弱。剖检发现肾脏肿大且苍白、小肠黏膜坏死和肠壁增厚,以及心包积液。组织病理学检查显示伴有裂殖体的坏死性肠炎,有明显的单核细胞浸润,此外肝脏和肾脏有败血症的组织学证据。细菌鉴定基于小肠样本的光镜检查、培养和生化试验。进一步的鉴定基于 PCR。通过测定来自 5 个不同类别的 6 种抗菌药物的最小抑菌浓度(MIC)值来确定抗菌药物敏感性谱。PCR 检测用于检测与运动、细胞致死性扩张毒素产生、黏附和内化相关的毒力因子基因。小肠样本的细菌学显示几乎仅存在大量空肠弯曲菌的生长,对环丙沙星、庆大霉素和氨苄西林耐药。细菌对阿莫西林+克拉维酸、四环素和红霉素敏感。所有测试的毒力因子基因均被检出。寄生虫学检查通过新鲜粪便和肠内容物的显微镜检查进行,发现有中等数量的孔雀艾美耳球虫、火鸡组织滴虫、单个毛细线虫卵以及异刺线虫样寄生虫。

结论

上述病例表明,强毒力空肠弯曲菌与寄生虫侵袭的组合可能导致孔雀慢性肠炎,这很可能导致宿主极度衰竭和死亡。

https://cdn.ncbi.nlm.nih.gov/pmc/blobs/716b/9063363/8cefec07d20a/12917_2022_3260_Fig4_HTML.jpg
https://cdn.ncbi.nlm.nih.gov/pmc/blobs/716b/9063363/4eabec2ad7ae/12917_2022_3260_Fig1_HTML.jpg
https://cdn.ncbi.nlm.nih.gov/pmc/blobs/716b/9063363/44d00844b572/12917_2022_3260_Fig2_HTML.jpg
https://cdn.ncbi.nlm.nih.gov/pmc/blobs/716b/9063363/08b98c190eb3/12917_2022_3260_Fig3_HTML.jpg
https://cdn.ncbi.nlm.nih.gov/pmc/blobs/716b/9063363/8cefec07d20a/12917_2022_3260_Fig4_HTML.jpg
https://cdn.ncbi.nlm.nih.gov/pmc/blobs/716b/9063363/4eabec2ad7ae/12917_2022_3260_Fig1_HTML.jpg
https://cdn.ncbi.nlm.nih.gov/pmc/blobs/716b/9063363/44d00844b572/12917_2022_3260_Fig2_HTML.jpg
https://cdn.ncbi.nlm.nih.gov/pmc/blobs/716b/9063363/08b98c190eb3/12917_2022_3260_Fig3_HTML.jpg
https://cdn.ncbi.nlm.nih.gov/pmc/blobs/716b/9063363/8cefec07d20a/12917_2022_3260_Fig4_HTML.jpg

相似文献

1
Case of necrotic enteritis associated with campylobacteriosis and coccidiosis in an adult Indian peacock (Pavo cristatus).成年印度孔雀(Pavo cristatus)坏死性肠炎与弯曲杆菌病和球虫病相关病例。
BMC Vet Res. 2022 May 2;18(1):160. doi: 10.1186/s12917-022-03260-1.
2
Description of Eimeria pavonina (coccidia) of peafowl in Germany.德国孔雀艾美耳球虫(球虫纲)的描述。
Avian Dis. 2012 Mar;56(1):238-42. doi: 10.1637/9864-072711-Case.1.
3
Campylobacter jejuni Colonization in the Crow Gut Involves Many Deletions within the Cytolethal Distending Toxin Gene Cluster.空肠弯曲菌在乌鸦肠道中的定植涉及细胞致死膨胀毒素基因簇内的许多缺失。
Appl Environ Microbiol. 2018 Mar 1;84(6). doi: 10.1128/AEM.01893-17. Print 2018 Mar 15.
4
Efficacy of an attenuated vaccine against avian coccidiosis in combination with feed additives based on organic acids and essential oils on production performance and intestinal lesions in broilers experimentally challenged with necrotic enteritis.抗球虫弱毒疫苗联合有机酸和精油饲料添加剂对人工感染坏死性肠炎肉鸡生产性能和肠道病变的影响。
Poult Sci. 2022 Jun;101(6):101848. doi: 10.1016/j.psj.2022.101848. Epub 2022 Mar 15.
5
Antimicrobial Susceptibility of Campylobacter isolates in the Capital of North Macedonia.北马其顿首都弯曲杆菌分离株的抗菌药敏性
Pril (Makedon Akad Nauk Umet Odd Med Nauki). 2019 Oct 1;40(2):73-80. doi: 10.2478/prilozi-2019-0017.
6
Developing an experimental necrotic enteritis model in turkeys - the impact of Clostridium perfringens, Eimeria meleagrimitis and host age on frequency of severe intestinal lesions.建立火鸡坏死性肠炎实验模型 - 产气荚膜梭菌、堆型艾美耳球虫和宿主年龄对严重肠道病变发生率的影响。
BMC Vet Res. 2020 Feb 18;16(1):63. doi: 10.1186/s12917-020-2270-5.
7
First detection of coccidia species in blue peafowl (Pavo cristatus) in China via both microscopic and molecular methods.首次通过显微镜和分子方法在中国蓝孔雀(Pavo cristatus)中检测到球虫种类。
Vet Parasitol Reg Stud Reports. 2022 Nov;36:100807. doi: 10.1016/j.vprsr.2022.100807. Epub 2022 Nov 8.
8
[Resistance monitoring working group: resistance to erythromycin, ciprofloxacin, and tetracycline in human isolates of Campylobacter spp. in the Czech Republic tested by the EUCAST standard method].[耐药性监测工作组:采用欧盟CAST标准方法检测捷克共和国空肠弯曲菌属人类分离株对红霉素、环丙沙星和四环素的耐药性]
Epidemiol Mikrobiol Imunol. 2014 Sep;63(3):184-90.
9
Heat stress, Eimeria spp. and C. perfringens infections alone or in combination modify gut Th1/Th2 cytokine balance and avian necrotic enteritis pathogenesis.热应激、艾美耳球虫属和产气荚膜梭菌单独或联合感染会改变肠道Th1/Th2细胞因子平衡及禽坏死性肠炎的发病机制。
Vet Immunol Immunopathol. 2019 Apr;210:28-37. doi: 10.1016/j.vetimm.2019.03.001. Epub 2019 Mar 4.
10
Porcine enteritis associated with Eimeria spinosa Henry, 1931 infection.与1931年亨利氏艾美球虫感染相关的猪肠炎
J Parasitol. 2002 Dec;88(6):1262-3. doi: 10.1645/0022-3395(2002)088[1262:PEAWES]2.0.CO;2.

引用本文的文献

1
LAMTOR1/mTORC1 promotes CD276 to induce immunosuppression via PI3K/Akt/MMP signaling pathway in Clostridium perfringens-induced necrotic enteritis of laying hens.LAMTOR1/mTORC1通过PI3K/Akt/MMP信号通路促进CD276在产气荚膜梭菌诱导的蛋鸡坏死性肠炎中诱导免疫抑制。
Poult Sci. 2024 Dec;103(12):104216. doi: 10.1016/j.psj.2024.104216. Epub 2024 Sep 2.

本文引用的文献

1
Genomic analysis of extra-intestinal Campylobacter jejuni and Campylobacter coli isolated from commercial chickens.从商业鸡肉中分离的肠外弯曲杆菌空肠亚种和弯曲杆菌大肠亚种的基因组分析。
Vet Microbiol. 2021 Aug;259:109161. doi: 10.1016/j.vetmic.2021.109161. Epub 2021 Jun 18.
2
Comparative analyses of coproscopical techniques to diagnose enteroparasites in a group of captive Indian peafowl (Pavo cristatus).一组圈养印度孔雀(孔雀雉)中用于诊断肠道寄生虫的粪便检查技术的比较分析。
Ann Parasitol. 2020;66(3):397-406. doi: 10.17420/ap6603.279.
3
Occurrence of a Cryptosporidium xiaoi-like genotype in peafowl (Pavo cristatus) in China.
在中国孔雀(Pavo cristatus)中发现了类似于微小隐孢子虫(Cryptosporidium xiaoi)的基因型。
Parasitol Res. 2019 Dec;118(12):3555-3559. doi: 10.1007/s00436-019-06517-1. Epub 2019 Nov 13.
4
Anticoccidial activity of novel triazine compounds in broiler chickens.新型三嗪化合物对肉鸡的抗球虫活性
Vet Parasitol. 2019 Mar;267:4-8. doi: 10.1016/j.vetpar.2019.01.006. Epub 2019 Jan 29.
5
Meta-analysis of the prevalence of thermotolerant Campylobacter in food-producing animals worldwide.全球食用动物中耐热弯曲杆菌流行率的荟萃分析。
Zoonoses Public Health. 2019 Jun;66(4):359-369. doi: 10.1111/zph.12558. Epub 2019 Jan 9.
6
Impact of Coinfection on Colonization of the Chicken.混感对鸡群定植的影响。
Infect Immun. 2019 Jan 24;87(2). doi: 10.1128/IAI.00772-18. Print 2019 Feb.
7
Trends in fluoroquinolone resistance in Campylobacter.弯曲杆菌中氟喹诺酮类耐药趋势。
Microb Genom. 2018 Jan;4(8). doi: 10.1099/mgen.0.000198. Epub 2018 Jul 19.
8
Re-thinking the chicken-Campylobacter jejuni interaction: a review.重新审视鸡与空肠弯曲菌的相互作用:综述
Avian Pathol. 2018 Aug;47(4):352-363. doi: 10.1080/03079457.2018.1475724. Epub 2018 Jun 11.
9
Non-Clostridium perfringens infectious agents producing necrotic enteritis-like lesions in poultry.在家禽中产生坏死性肠炎样病变的非产气荚膜梭菌感染因子。
Avian Pathol. 2016 Jun;45(3):326-33. doi: 10.1080/03079457.2016.1159282.
10
Campylobacter jejuni is not merely a commensal in commercial broiler chickens and affects bird welfare.空肠弯曲菌不仅仅是商业肉鸡中的共生菌,还会影响禽类健康。
mBio. 2014 Jul 1;5(4):e01364-14. doi: 10.1128/mBio.01364-14.