Changning Maternity and Infant Health Hospital, Shanghai Key Laboratory of Regulatory Biology, School of Life Sciences, East China Normal University, Shanghai, China.
Department of Thoracic Surgery, State Key Laboratory of Biotherapy and Cancer Center, West China Hospital, Sichuan University and Collaborative Innovation Center for Biotherapy, Chengdu, China.
Elife. 2022 May 3;11:e69255. doi: 10.7554/eLife.69255.
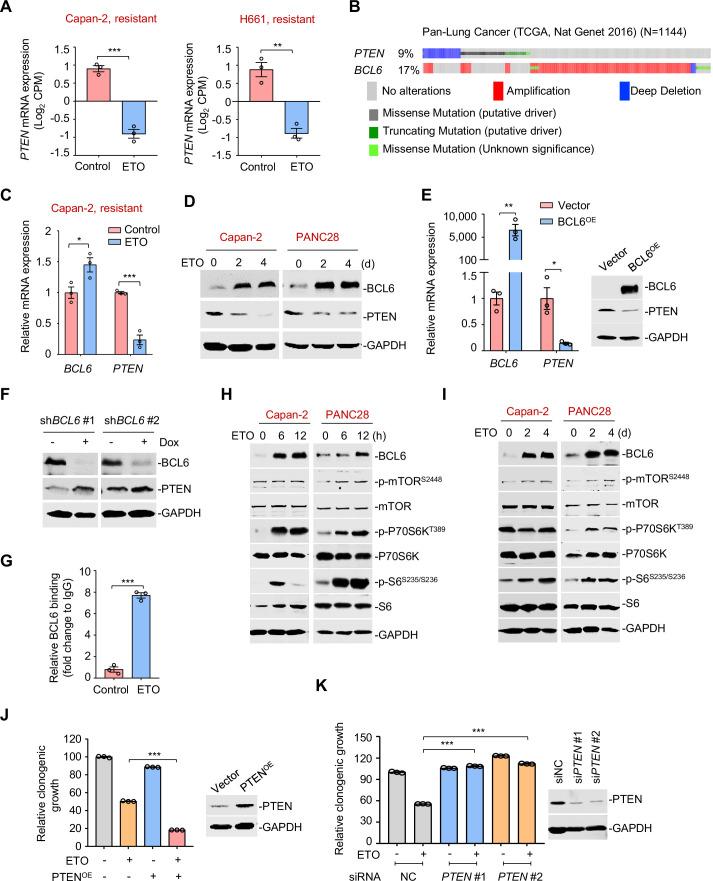
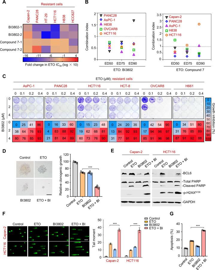
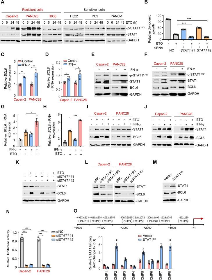
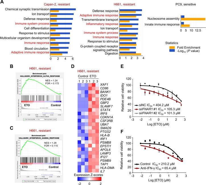
Genotoxic agents remain the mainstay of cancer treatment. Unfortunately, the clinical benefits are often countered by a rapid tumor adaptive response. Here, we report that the oncoprotein B cell lymphoma 6 (BCL6) is a core component that confers solid tumor adaptive resistance to genotoxic stress. Multiple genotoxic agents promoted transactivation, which was positively correlated with a weakened therapeutic efficacy and a worse clinical outcome. Mechanistically, we discovered that treatment with the genotoxic agent etoposide led to the transcriptional reprogramming of multiple pro-inflammatory cytokines, among which the interferon-α and interferon-γ responses were substantially enriched in resistant cells. Our results further revealed that the activation of interferon/signal transducer and activator of transcription 1 axis directly upregulated BCL6 expression. The increased expression of BCL6 further repressed the tumor suppressor PTEN and consequently enabled resistant cancer cell survival. Accordingly, targeted inhibition of BCL6 remarkably enhanced etoposide-triggered DNA damage and apoptosis both in vitro and in vivo. Our findings highlight the importance of BCL6 signaling in conquering solid tumor tolerance to genotoxic stress, further establishing a rationale for a combined approach with genotoxic agents and BCL6-targeted therapy.
遗传毒性药物仍然是癌症治疗的主要手段。不幸的是,临床获益常常被肿瘤快速适应反应所抵消。在这里,我们报告称,癌蛋白 B 细胞淋巴瘤 6(BCL6)是赋予实体瘤对遗传毒性应激适应性抵抗的核心组成部分。多种遗传毒性药物促进了 BCL6 的转录激活,这与治疗效果减弱和临床结局恶化呈正相关。从机制上讲,我们发现,用遗传毒性药物依托泊苷处理会导致多种促炎细胞因子的转录重编程,其中干扰素-α和干扰素-γ反应在耐药细胞中明显富集。我们的结果进一步表明,干扰素/信号转导和转录激活因子 1 轴的激活可直接上调 BCL6 的表达。BCL6 的表达增加进一步抑制了肿瘤抑制因子 PTEN,从而使耐药癌细胞得以存活。因此,靶向抑制 BCL6 可显著增强依托泊苷引发的 DNA 损伤和细胞凋亡,无论是在体外还是体内。我们的研究结果强调了 BCL6 信号在克服实体瘤对遗传毒性应激的耐受性方面的重要性,进一步为联合应用遗传毒性药物和 BCL6 靶向治疗提供了理论依据。