Suppr超能文献

排便协同失调的磁共振排粪造影结果。

Magnetic resonance defecography findings of dyssynergic defecation.

作者信息

Haliloglu Nuray, Erden Ayse

机构信息

Ankara University Faculty of Medicine, Ankara, Turkey.

出版信息

Pol J Radiol. 2022 Mar 20;87:e181-e185. doi: 10.5114/pjr.2022.114866. eCollection 2022.

Abstract

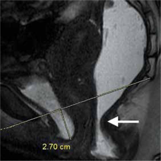
Dyssynergic defecation (DD) is defined as paradoxical contraction or inadequate relaxation of the pelvic floor muscles during defecation, which causes functional constipation. Along with the anal manometry and balloon expulsion tests, magnetic resonance (MR) defecography is widely used to diagnose or rule out pelvic dyssynergia. Besides the functional abnormality, structural pathologies like rectocele, rectal intussusception, or rectal prolapse accompanying DD can also be well demonstrated by MR defecography. This examination can be an uncomfortable experience for the patient, so the imaging method and the importance of patient cooperation must be explained in detail. The defecatory phase of the examination is indispensable for evaluation, and inadequate effort should be ruled out before diagnosing DD. MR defecography provides important data for the diagnosis of DD, but optimal imaging criteria should be applied. Further tests can be suggested if patient co-operation is not sufficient or MR defecography findings are irrelevant.

摘要

排便协同失调(DD)被定义为排便时盆底肌肉反常收缩或松弛不足,从而导致功能性便秘。除肛门测压法和气囊排出试验外,磁共振(MR)排粪造影术也被广泛用于诊断或排除盆腔协同失调。除了功能异常外,MR排粪造影术还能很好地显示伴随DD出现的诸如直肠膨出、直肠套叠或直肠脱垂等结构病变。这项检查对患者来说可能是一次不舒服的体验,因此必须详细解释成像方法以及患者配合的重要性。检查的排便阶段对于评估不可或缺,在诊断DD之前应排除用力不足的情况。MR排粪造影术为DD的诊断提供了重要数据,但应采用最佳成像标准。如果患者配合不充分或MR排粪造影结果不相关,则可建议进一步检查。

https://cdn.ncbi.nlm.nih.gov/pmc/blobs/32fc/9047849/a5fff3777cfe/PJR-87-46709-g001.jpg

相似文献

1
Magnetic resonance defecography findings of dyssynergic defecation.
Pol J Radiol. 2022 Mar 20;87:e181-e185. doi: 10.5114/pjr.2022.114866. eCollection 2022.
3
Balloon expulsion testing for the diagnosis of dyssynergic defecation in women with chronic constipation.
Int Urogynecol J. 2015 Sep;26(9):1385-90. doi: 10.1007/s00192-015-2722-9. Epub 2015 Jun 18.
4
The clinical value of magnetic resonance defecography in males with obstructed defecation syndrome.
Tech Coloproctol. 2018 Mar;22(3):179-190. doi: 10.1007/s10151-018-1759-4. Epub 2018 Mar 6.
5
Increased Grades of Rectal Intussusception: Role of Decline in Pelvic Floor Integrity and Association With Dyssynergic Defecation.
Am J Gastroenterol. 2024 May 1;119(5):946-956. doi: 10.14309/ajg.0000000000002605. Epub 2023 Nov 17.
6
Prevalence and pathophysiology of functional constipation among women in Catalonia, Spain.
Dis Colon Rectum. 2011 Dec;54(12):1560-9. doi: 10.1097/DCR.0b013e31822cb5c2.
7
Diagnostic testing for dyssynergic defecation in chronic constipation: meta-analysis.
Neurogastroenterol Motil. 2013 Jun;25(6):509-20. doi: 10.1111/nmo.12096. Epub 2013 Feb 20.
9
Investigation of the utility of colorectal function tests and Rome II criteria in dyssynergic defecation (Anismus).
Neurogastroenterol Motil. 2004 Oct;16(5):589-96. doi: 10.1111/j.1365-2982.2004.00526.x.
10
Comparison of Anorectal Manometry, Rectal Balloon Expulsion Test, and Defecography for Diagnosing Defecatory Disorders.
Gastroenterology. 2022 Dec;163(6):1582-1592.e2. doi: 10.1053/j.gastro.2022.08.034. Epub 2022 Aug 19.

引用本文的文献

1
Role of magnetic resonance defecography in the assessment of obstructed defecation syndrome.
World J Radiol. 2025 Jun 28;17(6):107205. doi: 10.4329/wjr.v17.i6.107205.
2
Pelvic floor dysfunction in patients with gestational diabetes mellitus.
World J Diabetes. 2025 Feb 15;16(2):99823. doi: 10.4239/wjd.v16.i2.99823.

本文引用的文献

1
MR defecography review.
Abdom Radiol (NY). 2021 Apr;46(4):1334-1350. doi: 10.1007/s00261-019-02228-4.
2
Imaging and clinical assessment of functional defecatory disorders with emphasis on defecography.
Abdom Radiol (NY). 2021 Apr;46(4):1323-1333. doi: 10.1007/s00261-019-02142-9.
3
Dynamic magnetic resonance imaging of the female pelvic floor-a pictorial review.
Insights Imaging. 2019 Jan 28;10(1):4. doi: 10.1186/s13244-019-0687-9.
5
The clinical value of magnetic resonance defecography in males with obstructed defecation syndrome.
Tech Coloproctol. 2018 Mar;22(3):179-190. doi: 10.1007/s10151-018-1759-4. Epub 2018 Mar 6.
6
Translabial US and Dynamic MR Imaging of the Pelvic Floor: Normal Anatomy and Dysfunction.
Radiographics. 2018 Jan-Feb;38(1):287-308. doi: 10.1148/rg.2018170055.
7
MR Imaging of the Pelvic Floor.
Magn Reson Imaging Clin N Am. 2017 Aug;25(3):457-480. doi: 10.1016/j.mric.2017.03.003.
8
Dynamic MR defecography of the posterior compartment: Comparison with conventional X-ray defecography.
Diagn Interv Imaging. 2017 Apr;98(4):327-332. doi: 10.1016/j.diii.2016.03.018. Epub 2017 Jan 11.
10
MR imaging of the pelvic floor: defecography.
Magn Reson Imaging Clin N Am. 2013 May;21(2):427-45. doi: 10.1016/j.mric.2013.01.007.

文献AI研究员

20分钟写一篇综述,助力文献阅读效率提升50倍。

立即体验

用中文搜PubMed

大模型驱动的PubMed中文搜索引擎

马上搜索

文档翻译

学术文献翻译模型,支持多种主流文档格式。

立即体验