Suppr超能文献

幕上室管膜瘤,锌指易位相关融合阳性,起源于透明细胞室管膜瘤恶性转化并伴有广泛突触素免疫反应:一例报告

Supratentorial ependymoma, zinc finger translocation-associated fusion positive, with extensive synaptophysin immunoreactivity arising from malignant transformation of clear cell ependymoma: A case report.

作者信息

Bethel Jacob A, James Kenneth M, Tavakoli Samon G, Crownover Richard L, Brenner Andrew J, Papanastassiou Alexander M, Gilbert Andrea R

机构信息

UT Health San Antonio Long School of Medicine, San Antonio, Texas, United States.

Department of Neurosurgery, Augusta University, Georgia, United States.

出版信息

Surg Neurol Int. 2022 Apr 22;13:168. doi: 10.25259/SNI_984_2021. eCollection 2022.

Abstract

BACKGROUND

We describe a case of a supratentorial ependymoma, zinc finger translocation-associated () fusion positive with extensive synaptophysin immunoreactivity arising from malignant transformation of an ependymoma with clear cell features in a patient with long-term follow-up.

CASE DESCRIPTION

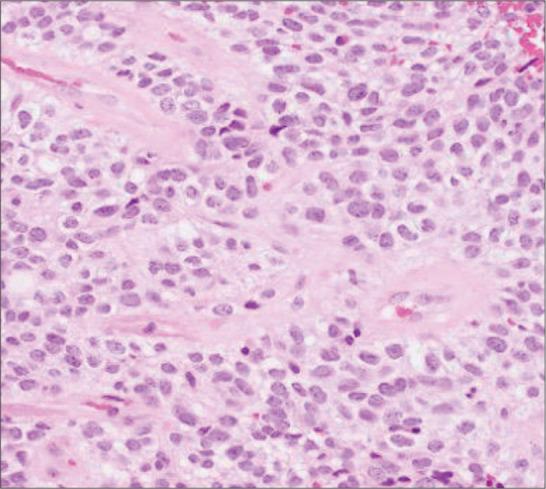
A 55-year-old woman presented with seizures and ataxia 15 years after an initial resection of a clear cell ependymoma, Grade 2. Imaging demonstrated an enhancing right paracentral mass and the patient underwent biopsy and resection. Microscopic analysis showed regions of the tumor with morphological and immunohistochemical features typical of ependymoma, including perivascular pseudorosettes and focal dot- like epithelial membrane antigen positivity, as well as high-grade features. In addition, the neoplasm contained large nodular regions of clear cells exhibiting extensive synaptophysin immunoreactivity, suggestive of neural differentiation, and only focally positive immunoreactivity for glial markers. Electron microscopy showed poorly formed and ill-defined junctional complexes, but no cilia, microvilli, or dense granules were seen. Molecular profiling revealed the presence of a fusion between (previously known as and fusion.

CONCLUSION

We report a case of extensive synaptophysin immunoreactivity in a - fusion-positive ependymoma that had undergone malignant transformation from a clear cell ependymoma and has long-term follow-up, contributing to the assessment of prognostic significance of synaptophysin immunoreactivity in supratentorial ependymoma, ZFTA fusion positive.

摘要

背景

我们描述了一例幕上室管膜瘤病例,该肿瘤为锌指易位相关()融合阳性,伴有广泛的突触素免疫反应性,起源于一名长期随访患者的具有透明细胞特征的室管膜瘤的恶性转化。

病例描述

一名55岁女性在初次切除2级透明细胞室管膜瘤15年后出现癫痫发作和共济失调。影像学检查显示右侧中央旁有一强化肿块,患者接受了活检和切除术。显微镜分析显示肿瘤区域具有室管膜瘤典型的形态学和免疫组化特征,包括血管周围假菊形团和局灶性点状上皮膜抗原阳性,以及高级别特征。此外,肿瘤包含大片透明细胞结节区域,表现出广泛的突触素免疫反应性,提示神经分化,而胶质标志物仅呈局灶性阳性免疫反应。电子显微镜显示连接复合体形成不良且界限不清,但未见纤毛、微绒毛或致密颗粒。分子谱分析显示存在(以前称为与融合。

结论

我们报告了一例-融合阳性的室管膜瘤,该肿瘤由透明细胞室管膜瘤恶性转化而来,具有广泛的突触素免疫反应性且进行了长期随访,有助于评估突触素免疫反应性在幕上室管膜瘤(ZFTA融合阳性)中的预后意义。

https://cdn.ncbi.nlm.nih.gov/pmc/blobs/7413/9062918/11e95f6cc69b/SNI-13-168-g001.jpg

文献检索

告别复杂PubMed语法,用中文像聊天一样搜索,搜遍4000万医学文献。AI智能推荐,让科研检索更轻松。

立即免费搜索

文件翻译

保留排版,准确专业,支持PDF/Word/PPT等文件格式,支持 12+语言互译。

免费翻译文档

深度研究

AI帮你快速写综述,25分钟生成高质量综述,智能提取关键信息,辅助科研写作。

立即免费体验