• 文献检索
  • 文档翻译
  • 深度研究
  • 学术资讯
  • Suppr Zotero 插件Zotero 插件
  • 邀请有礼
  • 套餐&价格
  • 历史记录
应用&插件
Suppr Zotero 插件Zotero 插件浏览器插件Mac 客户端Windows 客户端微信小程序
定价
高级版会员购买积分包购买API积分包
服务
文献检索文档翻译深度研究API 文档MCP 服务
关于我们
关于 Suppr公司介绍联系我们用户协议隐私条款
关注我们

Suppr 超能文献

核心技术专利:CN118964589B侵权必究
粤ICP备2023148730 号-1Suppr @ 2026

文献检索

告别复杂PubMed语法,用中文像聊天一样搜索,搜遍4000万医学文献。AI智能推荐,让科研检索更轻松。

立即免费搜索

文件翻译

保留排版,准确专业,支持PDF/Word/PPT等文件格式,支持 12+语言互译。

免费翻译文档

深度研究

AI帮你快速写综述,25分钟生成高质量综述,智能提取关键信息,辅助科研写作。

立即免费体验

HPLF - 111624在大鼠溃疡性直肠炎和肛裂改良实验模型中的研究

Investigation of HPLF-111624 in Modified Experimental Models of Ulcerative Proctitis and Anal Fissure in Rats.

作者信息

Onkaramurthy Mallappa, Azeemuddin Mohammed Mukhram, Baig Mirza Rizwan, Kendaganna Pavan Heggadadevanakote, Rafiq Mohamed, Babu Uddagiri Venkanna

机构信息

Discovery Sciences Group, Research and Development Center, Himalaya Wellness Company, Bengaluru, Karnataka, India.

Microbiology and Toxicology Department, Research and Development Center, Himalaya Wellness Company, Bengaluru, Karnataka, India.

出版信息

J Exp Pharmacol. 2022 Apr 27;14:149-165. doi: 10.2147/JEP.S345599. eCollection 2022.

DOI:10.2147/JEP.S345599
PMID:35509969
原文链接:https://pmc.ncbi.nlm.nih.gov/articles/PMC9058020/
Abstract

BACKGROUND

Although ulcerative proctitis (UP) and anal fissure (AF) are common anorectal diseases, there are no appropriate experimental models to screen the drugs intended for these conditions. In this context, existing experimental models mimicking these diseases were modified and the polyherbal formulation, HPLF-111624 was evaluated in these models.

OBJECTIVE

To establish animal model for UP and AF and to evaluate polyherbal formulation, HPLF-111624 in these disease models.

METHODS

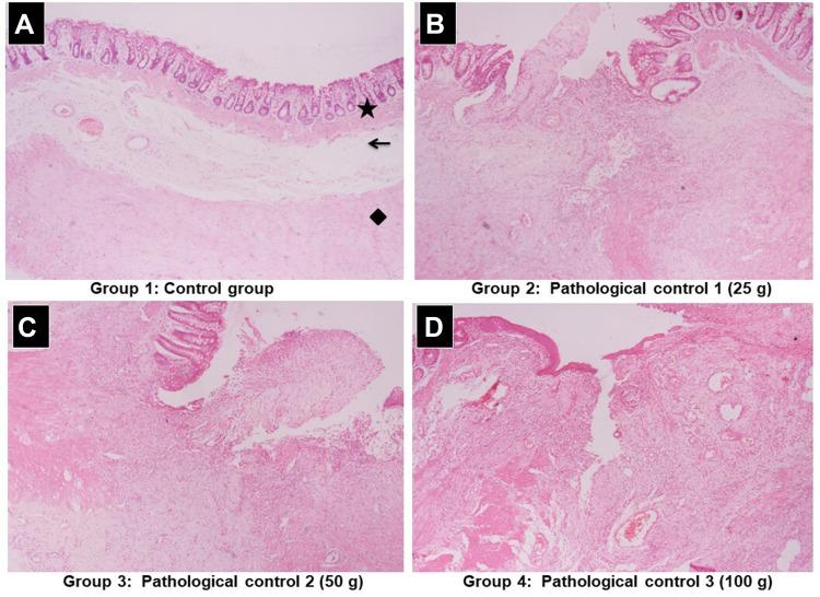
An experimental model of UP was selected based on the modification of the ulcerative colitis model using different concentrations of acetic acid. The concentration used for induction were 2.5%, 5% and 10% v/v and different weights used to induce AF were 25 g, 50 g and 100 g, which were selected based on the severity of inflammation, fecal score, gross pathology, and histopathological evaluation. Furthermore, these animal models were used to evaluate the efficacy of HPLF-111624, a polyherbal formulation known to be beneficial in anal diseases.

RESULTS

Acetic acid at 5% produced typical pathological changes that resembled UP, with a significant increase in the fecal score, gross lesion, and histopathological changes. Similarly, among the three weights, physical injury with a 100 g weight produced significant changes in the histopathological score in the model of AF. Intervention with HPLF-111624 at doses of 250 and 500 mg/kg b.wt., showed a reduction in the inflammatory cytokines and a significant improvement in the histopathological findings in both the conditions.

CONCLUSION

The results showed that the modified experimental models for UP and AF resemble the human pathological conditions and are simple, versatile and may be used for screening drugs intended for these conditions. Intervention with HPLF-111624 was found to be effective in improving the pathological state of UP and AF.

摘要

背景

尽管溃疡性直肠炎(UP)和肛裂(AF)是常见的肛肠疾病,但尚无合适的实验模型来筛选针对这些病症的药物。在此背景下,对现有的模拟这些疾病的实验模型进行了改良,并在这些模型中对多草药配方HPLF - 111624进行了评估。

目的

建立UP和AF的动物模型,并在这些疾病模型中评估多草药配方HPLF - 111624。

方法

基于对溃疡性结肠炎模型的改良,使用不同浓度的乙酸选择了UP的实验模型。诱导所用的浓度为2.5%、5%和10%(v/v),用于诱导AF的不同重量为25 g、50 g和100 g,这些是根据炎症严重程度、粪便评分、大体病理学和组织病理学评估选择的。此外,这些动物模型用于评估HPLF - 111624的疗效,HPLF - 111624是一种已知对肛门疾病有益的多草药配方。

结果

5%的乙酸产生了类似于UP的典型病理变化,粪便评分、大体病变和组织病理学变化显著增加。同样,在这三种重量中,100 g重量的物理损伤在AF模型中导致组织病理学评分出现显著变化。以250和500 mg/kg体重的剂量用HPLF - 111624进行干预,在两种病症中均显示炎症细胞因子减少,组织病理学结果有显著改善。

结论

结果表明,改良后的UP和AF实验模型类似于人类病理状况,简单、通用,可用于筛选针对这些病症的药物。发现用HPLF - 111624进行干预可有效改善UP和AF的病理状态。

https://cdn.ncbi.nlm.nih.gov/pmc/blobs/3f5b/9058020/8c56f8d924f3/JEP-14-149-g0011.jpg
https://cdn.ncbi.nlm.nih.gov/pmc/blobs/3f5b/9058020/af1795027ba7/JEP-14-149-g0001.jpg
https://cdn.ncbi.nlm.nih.gov/pmc/blobs/3f5b/9058020/72115903b33c/JEP-14-149-g0002.jpg
https://cdn.ncbi.nlm.nih.gov/pmc/blobs/3f5b/9058020/1cec65fc2c7b/JEP-14-149-g0003.jpg
https://cdn.ncbi.nlm.nih.gov/pmc/blobs/3f5b/9058020/f7d42df7ed0a/JEP-14-149-g0004.jpg
https://cdn.ncbi.nlm.nih.gov/pmc/blobs/3f5b/9058020/704541a779e2/JEP-14-149-g0005.jpg
https://cdn.ncbi.nlm.nih.gov/pmc/blobs/3f5b/9058020/ba38a0c9cd58/JEP-14-149-g0006.jpg
https://cdn.ncbi.nlm.nih.gov/pmc/blobs/3f5b/9058020/693ec432a091/JEP-14-149-g0007.jpg
https://cdn.ncbi.nlm.nih.gov/pmc/blobs/3f5b/9058020/3564c8c5bf5a/JEP-14-149-g0008.jpg
https://cdn.ncbi.nlm.nih.gov/pmc/blobs/3f5b/9058020/cf96477630b0/JEP-14-149-g0009.jpg
https://cdn.ncbi.nlm.nih.gov/pmc/blobs/3f5b/9058020/caffd46f1f0f/JEP-14-149-g0010.jpg
https://cdn.ncbi.nlm.nih.gov/pmc/blobs/3f5b/9058020/8c56f8d924f3/JEP-14-149-g0011.jpg
https://cdn.ncbi.nlm.nih.gov/pmc/blobs/3f5b/9058020/af1795027ba7/JEP-14-149-g0001.jpg
https://cdn.ncbi.nlm.nih.gov/pmc/blobs/3f5b/9058020/72115903b33c/JEP-14-149-g0002.jpg
https://cdn.ncbi.nlm.nih.gov/pmc/blobs/3f5b/9058020/1cec65fc2c7b/JEP-14-149-g0003.jpg
https://cdn.ncbi.nlm.nih.gov/pmc/blobs/3f5b/9058020/f7d42df7ed0a/JEP-14-149-g0004.jpg
https://cdn.ncbi.nlm.nih.gov/pmc/blobs/3f5b/9058020/704541a779e2/JEP-14-149-g0005.jpg
https://cdn.ncbi.nlm.nih.gov/pmc/blobs/3f5b/9058020/ba38a0c9cd58/JEP-14-149-g0006.jpg
https://cdn.ncbi.nlm.nih.gov/pmc/blobs/3f5b/9058020/693ec432a091/JEP-14-149-g0007.jpg
https://cdn.ncbi.nlm.nih.gov/pmc/blobs/3f5b/9058020/3564c8c5bf5a/JEP-14-149-g0008.jpg
https://cdn.ncbi.nlm.nih.gov/pmc/blobs/3f5b/9058020/cf96477630b0/JEP-14-149-g0009.jpg
https://cdn.ncbi.nlm.nih.gov/pmc/blobs/3f5b/9058020/caffd46f1f0f/JEP-14-149-g0010.jpg
https://cdn.ncbi.nlm.nih.gov/pmc/blobs/3f5b/9058020/8c56f8d924f3/JEP-14-149-g0011.jpg

相似文献

1
Investigation of HPLF-111624 in Modified Experimental Models of Ulcerative Proctitis and Anal Fissure in Rats.HPLF - 111624在大鼠溃疡性直肠炎和肛裂改良实验模型中的研究
J Exp Pharmacol. 2022 Apr 27;14:149-165. doi: 10.2147/JEP.S345599. eCollection 2022.
2
[Effect of Different Doses of Herbal Cake-partitioned Moxibustion on Histopathological Changes of Colon Tissue in Ulcerative Colitis Rats].[不同剂量隔药饼灸对溃疡性结肠炎大鼠结肠组织病理变化的影响]
Zhen Ci Yan Jiu. 2018 Feb 25;43(2):68-74. doi: 10.13702/j.1000-0607.170843.
3
Effect of polyherbal formulation on experimental models of inflammatory bowel diseases.多草药配方对炎症性肠病实验模型的影响。
J Ethnopharmacol. 2004 Feb;90(2-3):195-204. doi: 10.1016/j.jep.2003.09.042.
4
Gisekia pharnaceoides Restores Colonic Mucosal Homeostasis by Regulating Antioxidant Enzyme System and Cytokines Signaling in Ulcerative Colitis Mice Model.腺花香茶菜通过调节溃疡性结肠炎模型小鼠抗氧化酶系统和细胞因子信号通路恢复结肠黏膜稳态。
Endocr Metab Immune Disord Drug Targets. 2022;22(1):133-142. doi: 10.2174/1871530321666211109151737.
5
Protective effect of Averrhoa bilimbi L. fruit extract on ulcerative colitis in wistar rats via regulation of inflammatory mediators and cytokines.山黄皮果提取物通过调节炎症介质和细胞因子对溃疡性结肠炎大鼠的保护作用。
Biomed Pharmacother. 2017 Jul;91:1113-1121. doi: 10.1016/j.biopha.2017.05.057. Epub 2017 May 16.
6
Anal sensitivity test: what does it measure and do we need it? Cause or derivative of anorectal complaints.肛门敏感性测试:它测量什么以及我们是否需要它?肛肠疾病的病因还是衍生物。
Dis Colon Rectum. 1997 Jul;40(7):811-6. doi: 10.1007/BF02055438.
7
Effect of piperine on inhibition of FFA induced TLR4 mediated inflammation and amelioration of acetic acid induced ulcerative colitis in mice.胡椒碱对抑制游离脂肪酸诱导的 TLR4 介导的炎症及改善乙酸诱导的溃疡性结肠炎的作用。
J Ethnopharmacol. 2015 Apr 22;164:239-46. doi: 10.1016/j.jep.2015.01.039. Epub 2015 Feb 13.
8
Anorectal Function and Quality of Life in IBD Patients With A Perianal Complaint.患有肛周疾病的炎症性肠病患者的肛门直肠功能与生活质量
J Invest Surg. 2021 May;34(5):547-553. doi: 10.1080/08941939.2019.1658830. Epub 2019 Oct 18.
9
Herbal medicine AnoSpray suppresses proinflammatory cytokines COX-2 and RANTES in the management of hemorrhoids, acute anal fissures and perineal wounds.草药制剂AnoSpray在治疗痔疮、急性肛裂和会阴伤口时可抑制促炎细胞因子COX-2和RANTES。
Exp Ther Med. 2022 Jan;23(1):86. doi: 10.3892/etm.2021.11009. Epub 2021 Nov 25.
10
Modulating effect of Biophytum sensitivum extract on rats with acetic acid-induced ulcerative colitis.含羞草提取物对乙酸诱导的溃疡性结肠炎大鼠的调节作用。
Pharm Biol. 2014 Dec;52(12):1570-80. doi: 10.3109/13880209.2014.908396. Epub 2014 Sep 22.

本文引用的文献

1
Development and Preliminary Evaluation of a Murine Model of Chronic Radiation-Induced Proctitis.开发并初步评估一种慢性放射性直肠炎的小鼠模型。
Int J Radiat Oncol Biol Phys. 2018 Aug 1;101(5):1194-1201. doi: 10.1016/j.ijrobp.2018.04.061. Epub 2018 May 5.
2
Evaluation of prophylactic and therapeutic effects of sildenafil on acute radiation proctitis in rats.西地那非对大鼠急性放射性直肠炎的预防和治疗作用评估。
Acta Cir Bras. 2018 Apr;33(4):362-374. doi: 10.1590/s0102-865020180040000008.
3
Low-Dose Aspirin Therapy Does not Increase the Severity of Acute Radiation Proctitis.
低剂量阿司匹林疗法不会增加急性放射性直肠炎的严重程度。
World J Oncol. 2012 Aug;3(4):173-181. doi: 10.4021/wjon559w. Epub 2012 Aug 26.
4
Update on the Pathophysiology and Management of Anorectal Disorders.肛门直肠疾病的病理生理学和治疗进展。
Gut Liver. 2018 Jul 15;12(4):375-384. doi: 10.5009/gnl17172.
5
The Therapeutic Effect of PLAG against Oral Mucositis in Hamster and Mouse Model.PLAG对仓鼠和小鼠模型口腔黏膜炎的治疗效果。
Front Oncol. 2016 Oct 17;6:209. doi: 10.3389/fonc.2016.00209. eCollection 2016.
6
Natural Treatments for Fissure in Ano Used by Traditional Persian Scholars, Razi (Rhazes) and Ibn Sina (Avicenna).传统波斯学者拉齐(拉齐斯)和伊本·西那(阿维森纳)使用的肛门裂伤自然疗法。
J Evid Based Complementary Altern Med. 2017 Apr;22(2):324-333. doi: 10.1177/2156587216650302. Epub 2016 Jun 23.
7
Pathogenesis, diagnosis, and management of ulcerative proctitis, chronic radiation proctopathy, and diversion proctitis.溃疡性直肠炎、慢性放射性直肠病和改道性直肠炎的发病机制、诊断及管理
Inflamm Bowel Dis. 2015 Mar;21(3):703-15. doi: 10.1097/MIB.0000000000000227.
8
The epidemiology and treatment of anal fissures in a population-based cohort.基于人群队列的肛裂流行病学及治疗
BMC Gastroenterol. 2014 Jul 16;14:129. doi: 10.1186/1471-230X-14-129.
9
An improved experimental model of hemorrhoids in rats: evaluation of antihemorrhoidal activity of an herbal formulation.一种改良的大鼠痔疮实验模型:一种草药配方抗痔活性的评估
ISRN Pharmacol. 2014 Mar 11;2014:530931. doi: 10.1155/2014/530931. eCollection 2014.
10
Common anorectal disorders.常见的肛肠疾病。
Gastroenterol Hepatol (N Y). 2014 May;10(5):294-301.