Suppr超能文献

慢性糖皮质激素暴露会导致棕色脂肪组织白化,改变全身葡萄糖代谢,并增加组织解偶联蛋白-1。

Chronic glucocorticoid exposure causes brown adipose tissue whitening, alters whole-body glucose metabolism and increases tissue uncoupling protein-1.

机构信息

Biotechnology Program, Lakehead University, Thunder Bay, Ontario, Canada.

Northern Ontario School of Medicine, Thunder Bay, Ontario, Canada.

出版信息

Physiol Rep. 2022 May;10(9):e15292. doi: 10.14814/phy2.15292.

Abstract

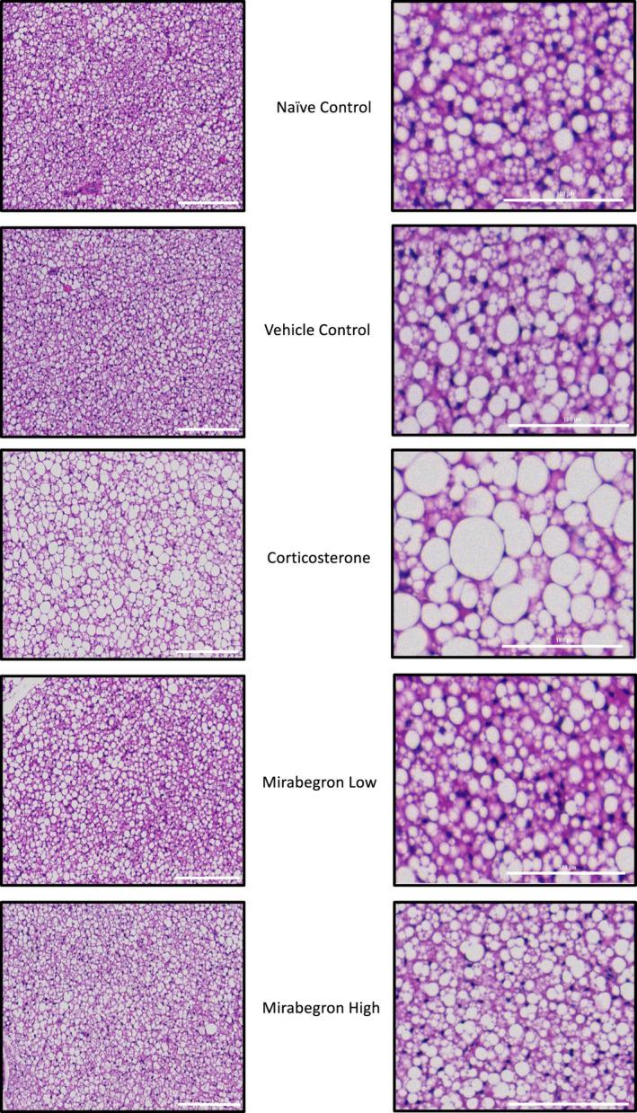
Adipose tissue (AT) has been found to exist in two predominant forms, white and brown. White adipose tissue (WAT) is the body's conventional storage organ, and brown adipose tissue (BAT) is responsible for non-shivering thermogenesis which allows mammals to produce heat and regulate body temperature. Studies examining BAT and its role in whole-body metabolism have found that active BAT utilizes glucose and circulating fatty acids and is associated with improved metabolic outcomes. While the beiging of WAT is a growing area of interest, the possibility of the BAT depot to "whiten" and store more triglycerides also has metabolic and health implications. Currently, there are limited studies that examine the effects of chronic stress and its ability to induce a white-like phenotype in the BAT depot. This research examined how chronic exposure to the murine stress hormone, corticosterone, for 4 weeks can affect the whitening process of BAT in C57BL/6 male mice. Separate treatments with mirabegron, a known β3-adrenergic receptor agonist, were used to directly compare the effects of corticosterone with a beiging phenotype. Corticosterone-treated mice had significantly higher body weight (p ≤ 0.05) and BAT mass (p ≤ 0.05), increased adipocyte area (p ≤ 0.05), were insulin resistant (p ≤ 0.05), and significantly elevated expressions of uncoupling protein 1 (UCP-1) in BAT (p ≤ 0.05) while mitochondrial content remained unchanged. This whitened phenotype has not been previously associated with increased uncoupling proteins under chronic stress and may represent a compensatory mechanism being initiated under these conditions. These findings have implications for the study of BAT in response to chronic glucocorticoid exposure potentially leading to BAT dysfunction and negative impacts on whole-body glucose metabolism.

摘要

脂肪组织(AT)被发现存在两种主要形式,白色和棕色。白色脂肪组织(WAT)是身体的传统储存器官,而棕色脂肪组织(BAT)负责非颤抖性产热,使哺乳动物能够产生热量并调节体温。研究 BAT 及其在全身代谢中的作用的研究发现,活跃的 BAT 利用葡萄糖和循环脂肪酸,并与改善代谢结果相关。虽然 WAT 的褐变是一个日益受到关注的领域,但 BAT 储存库“变白”并储存更多甘油三酯的可能性也具有代谢和健康意义。目前,研究慢性应激及其诱导 BAT 储存库出现类似白色表型的能力的研究有限。这项研究检查了慢性暴露于鼠应激激素皮质酮 4 周如何影响 C57BL/6 雄性小鼠 BAT 的白化过程。使用米拉贝隆(一种已知的β3-肾上腺素能受体激动剂)进行单独治疗,直接比较皮质酮与褐变表型的作用。皮质酮处理的小鼠体重显著增加(p≤0.05)和 BAT 质量(p≤0.05),脂肪细胞面积增加(p≤0.05),胰岛素抵抗(p≤0.05),BAT 中解偶联蛋白 1(UCP-1)的表达显著升高(p≤0.05),而线粒体含量保持不变。这种白化表型以前与慢性应激下解偶联蛋白的增加无关,可能代表在这些条件下启动的代偿机制。这些发现对研究 BAT 对慢性糖皮质激素暴露的反应具有重要意义,可能导致 BAT 功能障碍和对全身葡萄糖代谢产生负面影响。

https://cdn.ncbi.nlm.nih.gov/pmc/blobs/df7f/9069169/cd87ab4ccaf9/PHY2-10-e15292-g006.jpg

文献AI研究员

20分钟写一篇综述,助力文献阅读效率提升50倍。

立即体验

用中文搜PubMed

大模型驱动的PubMed中文搜索引擎

马上搜索

文档翻译

学术文献翻译模型,支持多种主流文档格式。

立即体验