• 文献检索
  • 文档翻译
  • 深度研究
  • 学术资讯
  • Suppr Zotero 插件Zotero 插件
  • 邀请有礼
  • 套餐&价格
  • 历史记录
应用&插件
Suppr Zotero 插件Zotero 插件浏览器插件Mac 客户端Windows 客户端微信小程序
定价
高级版会员购买积分包购买API积分包
服务
文献检索文档翻译深度研究API 文档MCP 服务
关于我们
关于 Suppr公司介绍联系我们用户协议隐私条款
关注我们

Suppr 超能文献

核心技术专利:CN118964589B侵权必究
粤ICP备2023148730 号-1Suppr @ 2026

文献检索

告别复杂PubMed语法,用中文像聊天一样搜索,搜遍4000万医学文献。AI智能推荐,让科研检索更轻松。

立即免费搜索

文件翻译

保留排版,准确专业,支持PDF/Word/PPT等文件格式,支持 12+语言互译。

免费翻译文档

深度研究

AI帮你快速写综述,25分钟生成高质量综述,智能提取关键信息,辅助科研写作。

立即免费体验

宫颈癌根治术后经阴道小肠脱出的自发性复位:1 例报告。

Spontaneous reduction of transvaginal small bowel evisceration after abdominal hysterectomy for cervical cancer: A case report.

机构信息

Department of Obstetrics and Gynecology, Pusan National University School of Medicine, Busan, Republic of Korea.

Biomedical Research Institute, Pusan National University Hospital, Busan, Republic of Korea.

出版信息

Medicine (Baltimore). 2022 Apr 29;101(17):e29225. doi: 10.1097/MD.0000000000029225.

DOI:10.1097/MD.0000000000029225
PMID:35512082
原文链接:https://pmc.ncbi.nlm.nih.gov/articles/PMC9276405/
Abstract

RATIONALE

Transvaginal evisceration of the small bowel is an extremely rare condition after hysterectomy, which requires urgent surgical intervention to prevent serious bowel morbidity and mortality.

PATIENT CONCERNS

A 65-year-old woman presented with sudden-onset severe abdominal pain and a mass protruding through the vagina. The past surgical history was significant, with an abdominal hysterectomy for cervical cancer performed 11 weeks prior to presentation.

DIAGNOSIS

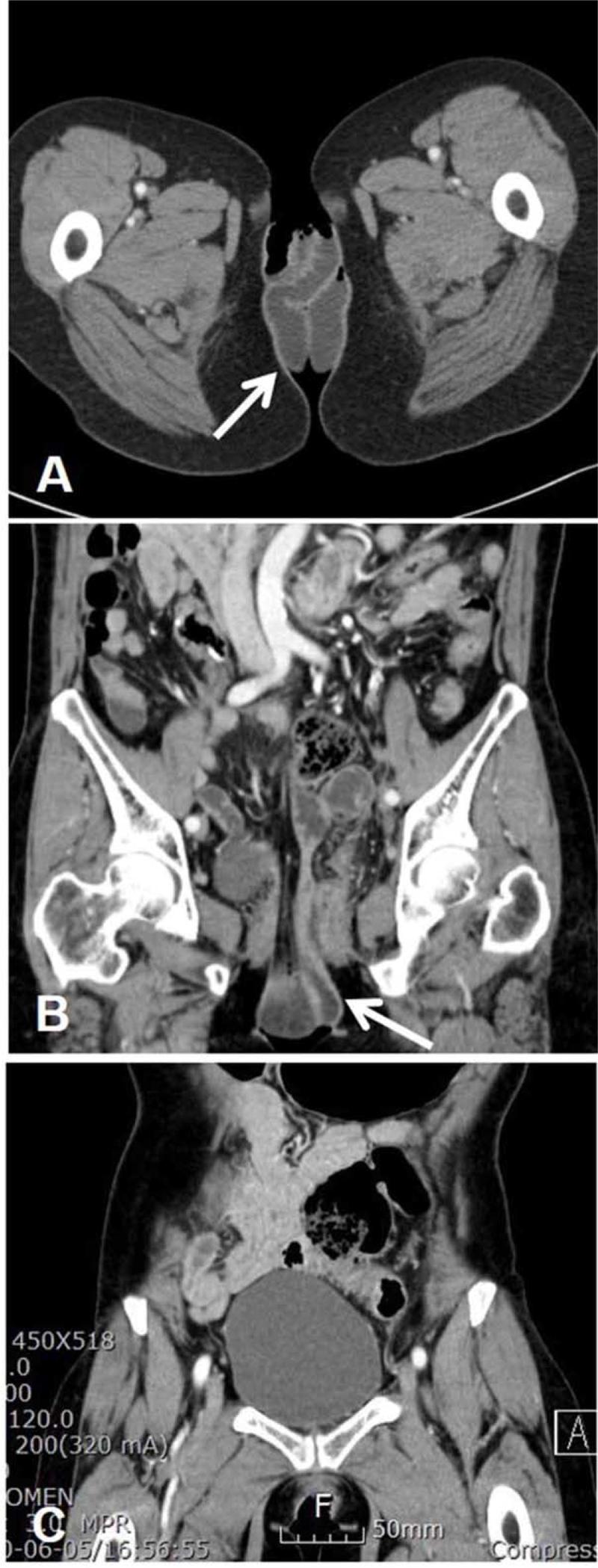
Pelvic examination revealed prolapsed small-bowel loops (18-20 cm in length). Pelvic computed tomography scan confirmed the presence of transvaginal evisceration of the small bowel.

INTERVENTIONS

Bowel reduction and urgent laparotomy were the selected treatment approaches for a detailed inspection and thorough washing of the intrα-abdominal cavity. A Foley catheter was inserted in the emergency room, with the subject in the lithotomy position. The prolapsed bowel loops spontaneously reduced without manual reduction, and the vault defect was repaired transvaginally.

OUTCOMES

The patient experienced no postoperative complications and remained disease-free for 9months postoperatively.

LESSONS

Transvaginal evisceration of the small bowel should be considered a surgical emergency. A multidisciplinary approach to prompt case management involving clinicians in gynecology, general surgery, and emergency medicine is vital for preventing serious consequences. Hysterectomy is the most frequently performed gynecological surgical procedure, and evisceration occurs most often after hysterectomy. Therefore, patients should be informed about this rare but possible hysterectomy complication.

摘要

背景

经阴道小肠脱出是子宫切除术后一种极为罕见的情况,需要紧急手术干预,以防止严重的肠并发症和死亡率。

病例介绍

一名 65 岁女性因突发剧烈腹痛和阴道突出肿块就诊。患者既往有明确的腹部手术史,在出现症状前 11 周因宫颈癌行腹式子宫切除术。

诊断

盆腔检查显示小肠套叠(长 18-20cm)。盆腔 CT 扫描证实存在经阴道小肠脱出。

干预措施

选择肠复位和紧急剖腹手术,以便对腹腔内进行详细检查和彻底清洗。在急诊室插入 Foley 导管,患者取截石位。脱出的肠袢自行复位,无需手法复位,穹窿缺损经阴道修补。

结果

患者术后无并发症,术后 9 个月无疾病复发。

教训

经阴道小肠脱出应视为外科急症。多学科方法可及时处理病例,涉及妇科、普通外科和急诊医学科的临床医生,对于预防严重后果至关重要。子宫切除术是最常施行的妇科手术,脱出最常发生在子宫切除术后。因此,应告知患者这种罕见但可能发生的子宫切除术后并发症。

https://cdn.ncbi.nlm.nih.gov/pmc/blobs/b8cd/9276405/9410c51b2a50/medi-101-e29225-g002.jpg
https://cdn.ncbi.nlm.nih.gov/pmc/blobs/b8cd/9276405/01651e8ce5ed/medi-101-e29225-g001.jpg
https://cdn.ncbi.nlm.nih.gov/pmc/blobs/b8cd/9276405/9410c51b2a50/medi-101-e29225-g002.jpg
https://cdn.ncbi.nlm.nih.gov/pmc/blobs/b8cd/9276405/01651e8ce5ed/medi-101-e29225-g001.jpg
https://cdn.ncbi.nlm.nih.gov/pmc/blobs/b8cd/9276405/9410c51b2a50/medi-101-e29225-g002.jpg

相似文献

1
Spontaneous reduction of transvaginal small bowel evisceration after abdominal hysterectomy for cervical cancer: A case report.宫颈癌根治术后经阴道小肠脱出的自发性复位:1 例报告。
Medicine (Baltimore). 2022 Apr 29;101(17):e29225. doi: 10.1097/MD.0000000000029225.
2
Spontaneous transvaginal intestinal evisceration in case of long-standing uterine prolapse.长期子宫脱垂导致自发性阴道肠脱出。
BMC Surg. 2022 May 4;22(1):157. doi: 10.1186/s12893-022-01615-x.
3
Spontaneous transvaginal small bowel evisceration following hysterectomy: a case report.子宫切除术后自发性经阴道小肠脱垂:一例报告
Ulus Travma Acil Cerrahi Derg. 2019 Jul;25(4):424-426. doi: 10.14744/tjtes.2019.57318.
4
Spontaneous Transvaginal Intestinal Evisceration Two Years after Vaginal Hysterectomy, a Case Report.阴道子宫切除术后两年自发性阴道肠脱出:1 例报告。
Medicina (Kaunas). 2024 Aug 24;60(9):1388. doi: 10.3390/medicina60091388.
5
Management of transvaginal bowel evisceration secondary to vaginal vault dehiscence following hysterectomy: Case report and review of the literature.子宫切除术后阴道穹窿裂开继发经阴道肠管脱出的处理:病例报告及文献复习
Rev Colomb Obstet Ginecol. 2019 Jun;70(2):129-135. doi: 10.18597/rcog.3141.
6
Small bowel evisceration: a late complication following vaginal hysterectomy.小肠脱出:阴道子宫切除术后的晚期并发症。
J Obstet Gynaecol. 2018 Jul;38(5):733. doi: 10.1080/01443615.2018.1444397.
7
Transvaginal Evisceration of the Small Bowel More Than 15 Years After Abdominal Hysterectomy and Vaginal Surgery.腹部子宫切除和阴道手术后15年以上小肠经阴道脱出
Cureus. 2021 Mar 17;13(3):e13955. doi: 10.7759/cureus.13955.
8
Transvaginal small bowel evisceration after cervical loop electrosurgical excision procedure: a case report.经阴道小肠脱出:宫颈环形电切术后 1 例报告。
BMC Womens Health. 2023 Sep 19;23(1):499. doi: 10.1186/s12905-023-02650-3.
9
Transvaginal evisceration after radical abdominal hysterectomy.根治性腹式子宫切除术后经阴道脏器脱出
Gynecol Oncol. 2002 Jun;85(3):543-4. doi: 10.1006/gyno.2002.6658.
10
Transvaginal small bowel evisceration: Case report and review of literature.经阴道小肠脱出:病例报告及文献复习
Int J Surg Case Rep. 2022 Jul;96:107322. doi: 10.1016/j.ijscr.2022.107322. Epub 2022 Jun 24.

引用本文的文献

1
Atraumatic Spontaneous Transvaginal Small Bowel Evisceration: A Rare Surgical Emergency.非创伤性自发性经阴道小肠脱出:一种罕见的外科急症。
Cureus. 2024 Mar 20;16(3):e56564. doi: 10.7759/cureus.56564. eCollection 2024 Mar.