• 文献检索
  • 文档翻译
  • 深度研究
  • 学术资讯
  • Suppr Zotero 插件Zotero 插件
  • 邀请有礼
  • 套餐&价格
  • 历史记录
应用&插件
Suppr Zotero 插件Zotero 插件浏览器插件Mac 客户端Windows 客户端微信小程序
定价
高级版会员购买积分包购买API积分包
服务
文献检索文档翻译深度研究API 文档MCP 服务
关于我们
关于 Suppr公司介绍联系我们用户协议隐私条款
关注我们

Suppr 超能文献

核心技术专利:CN118964589B侵权必究
粤ICP备2023148730 号-1Suppr @ 2026

文献检索

告别复杂PubMed语法,用中文像聊天一样搜索,搜遍4000万医学文献。AI智能推荐,让科研检索更轻松。

立即免费搜索

文件翻译

保留排版,准确专业,支持PDF/Word/PPT等文件格式,支持 12+语言互译。

免费翻译文档

深度研究

AI帮你快速写综述,25分钟生成高质量综述,智能提取关键信息,辅助科研写作。

立即免费体验

凋亡软骨细胞来源的脂肪酸通过 MSR1 为巨噬细胞 FAO 供能,促进 BMSCs 成骨分化。

Fatty acids derived from apoptotic chondrocytes fuel macrophages FAO through MSR1 for facilitating BMSCs osteogenic differentiation.

机构信息

Department of Orthopedics, The First Affiliated Hospital of Nanjing Medical University, Nanjing, Jiangsu, 210029, China; Jiangsu Institute of Functional Reconstruction and Rehabilitation, Nanjing, Jiangsu, 210029, China.

Department of Orthopedics, The First Affiliated Hospital of Nanjing Medical University, Nanjing, Jiangsu, 210029, China; Jiangsu Institute of Functional Reconstruction and Rehabilitation, Nanjing, Jiangsu, 210029, China; Department of Orthopedics, Xishan People's Hospital of Wuxi City, Wuxi, Jiangsu, 21405, China.

出版信息

Redox Biol. 2022 Jul;53:102326. doi: 10.1016/j.redox.2022.102326. Epub 2022 Apr 30.

DOI:10.1016/j.redox.2022.102326
PMID:35525025
原文链接:https://pmc.ncbi.nlm.nih.gov/articles/PMC9093016/
Abstract

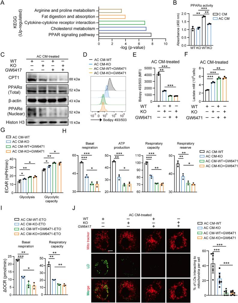
The nonunion following a fracture is associated with severe patient morbidity and economic consequences. Currently, accumulating studies are focusing on the importance of macrophages during fracture repair. However, details regarding the process by which macrophages facilitate endochondral ossification (EO) are largely unknown. In this study, we present evidence that apoptotic chondrocytes (ACs) are not inert corpses awaiting removal, but positively modulate the osteoinductive ability of macrophages. In vivo experiments revealed that fatty acid (FA) metabolic processes up-regulated following EO. In vitro studies further uncovered that FAs derived from ACs are taken up by macrophages mainly through macrophage scavenger receptor 1 (MSR1). Then, our functional experiments confirmed that these exogenous FAs subsequently activate peroxisome proliferator-activated receptor α (PPARα), which further facilitates lipid droplets generation and fatty acid oxidation (FAO). Mechanistically, elevated FAO is involved in up-regulating the osteoinductive effect by generating BMP7 and NAD/SIRT1/EZH2 axis epigenetically controls BMP7 expression in macrophages cultured with ACs culture medium. Our findings advanced the concept that ACs could promote bone regeneration by regulating metabolic and function reprogram in macrophages and identified macrophage MSR1 represents a valuable target for fracture treatments.

摘要

骨折后不愈合与严重的患者发病率和经济后果相关。目前,越来越多的研究集中在巨噬细胞在骨折修复过程中的重要性。然而,关于巨噬细胞促进软骨内骨化(endochondral ossification,EO)的过程的细节在很大程度上还不清楚。在这项研究中,我们提供了证据表明,凋亡的软骨细胞(apoptotic chondrocytes,ACs)并不是等待清除的惰性尸体,而是积极调节巨噬细胞的成骨诱导能力。体内实验表明,EO 后脂肪酸(fatty acids,FAs)代谢过程上调。体外研究进一步揭示,ACs 来源的 FAs 主要通过巨噬细胞清道夫受体 1(macrophage scavenger receptor 1,MSR1)被巨噬细胞摄取。然后,我们的功能实验证实,这些外源性 FAs 随后激活过氧化物酶体增殖物激活受体 α(peroxisome proliferator-activated receptor α,PPARα),进一步促进脂滴生成和脂肪酸氧化(fatty acid oxidation,FAO)。在机制上,FAO 的增加通过产生 BMP7 和 NAD/SIRT1/EZH2 轴参与调控巨噬细胞中 BMP7 的表达,从而上调成骨诱导作用。我们的发现推进了这样一种概念,即 ACs 通过调节巨噬细胞的代谢和功能重编程来促进骨再生,并确定巨噬细胞 MSR1 是骨折治疗的一个有价值的靶点。

https://cdn.ncbi.nlm.nih.gov/pmc/blobs/b1e2/9093016/4f2e5d48f52b/gr8.jpg
https://cdn.ncbi.nlm.nih.gov/pmc/blobs/b1e2/9093016/f5b484175d1b/gr1.jpg
https://cdn.ncbi.nlm.nih.gov/pmc/blobs/b1e2/9093016/90ad6124c58a/gr2.jpg
https://cdn.ncbi.nlm.nih.gov/pmc/blobs/b1e2/9093016/d872c8a3d908/gr3.jpg
https://cdn.ncbi.nlm.nih.gov/pmc/blobs/b1e2/9093016/944759109fdb/gr4.jpg
https://cdn.ncbi.nlm.nih.gov/pmc/blobs/b1e2/9093016/63e5e9557348/gr5.jpg
https://cdn.ncbi.nlm.nih.gov/pmc/blobs/b1e2/9093016/253eda6bd7e9/gr6.jpg
https://cdn.ncbi.nlm.nih.gov/pmc/blobs/b1e2/9093016/66a7e8a96cfe/gr7.jpg
https://cdn.ncbi.nlm.nih.gov/pmc/blobs/b1e2/9093016/4f2e5d48f52b/gr8.jpg
https://cdn.ncbi.nlm.nih.gov/pmc/blobs/b1e2/9093016/f5b484175d1b/gr1.jpg
https://cdn.ncbi.nlm.nih.gov/pmc/blobs/b1e2/9093016/90ad6124c58a/gr2.jpg
https://cdn.ncbi.nlm.nih.gov/pmc/blobs/b1e2/9093016/d872c8a3d908/gr3.jpg
https://cdn.ncbi.nlm.nih.gov/pmc/blobs/b1e2/9093016/944759109fdb/gr4.jpg
https://cdn.ncbi.nlm.nih.gov/pmc/blobs/b1e2/9093016/63e5e9557348/gr5.jpg
https://cdn.ncbi.nlm.nih.gov/pmc/blobs/b1e2/9093016/253eda6bd7e9/gr6.jpg
https://cdn.ncbi.nlm.nih.gov/pmc/blobs/b1e2/9093016/66a7e8a96cfe/gr7.jpg
https://cdn.ncbi.nlm.nih.gov/pmc/blobs/b1e2/9093016/4f2e5d48f52b/gr8.jpg

相似文献

1
Fatty acids derived from apoptotic chondrocytes fuel macrophages FAO through MSR1 for facilitating BMSCs osteogenic differentiation.凋亡软骨细胞来源的脂肪酸通过 MSR1 为巨噬细胞 FAO 供能,促进 BMSCs 成骨分化。
Redox Biol. 2022 Jul;53:102326. doi: 10.1016/j.redox.2022.102326. Epub 2022 Apr 30.
2
Macrophage MSR1 promotes BMSC osteogenic differentiation and M2-like polarization by activating PI3K/AKT/GSK3β/β-catenin pathway.巨噬细胞 MSR1 通过激活 PI3K/AKT/GSK3β/β-catenin 通路促进骨髓间充质干细胞成骨分化和 M2 样极化。
Theranostics. 2020 Jan 1;10(1):17-35. doi: 10.7150/thno.36930. eCollection 2020.
3
Sirt6 deletion in bone marrow-derived cells increases atherosclerosis - Central role of macrophage scavenger receptor 1.骨髓细胞中 Sirt6 的缺失会增加动脉粥样硬化——巨噬细胞清道夫受体 1 的核心作用。
J Mol Cell Cardiol. 2020 Feb;139:24-32. doi: 10.1016/j.yjmcc.2020.01.002. Epub 2020 Jan 21.
4
RNA helicase DDX5 participates in oxLDL-induced macrophage scavenger receptor 1 expression by suppressing mRNA degradation.RNA 解旋酶 DDX5 通过抑制 mRNA 降解参与 oxLDL 诱导的巨噬细胞清道夫受体 1 表达。
Exp Cell Res. 2018 May 15;366(2):114-120. doi: 10.1016/j.yexcr.2018.03.003. Epub 2018 Mar 6.
5
S100A4 enhances protumor macrophage polarization by control of PPAR-γ-dependent induction of fatty acid oxidation.S100A4 通过控制 PPAR-γ 依赖性诱导的脂肪酸氧化增强促肿瘤巨噬细胞极化。
J Immunother Cancer. 2021 Jun;9(6). doi: 10.1136/jitc-2021-002548.
6
The role of macrophage scavenger receptor 1 (MSR1) in inflammatory disorders and cancer.巨噬细胞清道夫受体 1(MSR1)在炎症性疾病和癌症中的作用。
Front Immunol. 2022 Oct 17;13:1012002. doi: 10.3389/fimmu.2022.1012002. eCollection 2022.
7
Macrophage MSR1 promotes the formation of foamy macrophage and neuronal apoptosis after spinal cord injury.巨噬细胞 MSR1 促进脊髓损伤后泡沫巨噬细胞的形成和神经元凋亡。
J Neuroinflammation. 2020 Feb 17;17(1):62. doi: 10.1186/s12974-020-01735-2.
8
Macrophage scavenger receptor 1 mediates lipid-induced inflammation in non-alcoholic fatty liver disease.巨噬细胞清道夫受体1介导非酒精性脂肪性肝病中的脂质诱导炎症。
J Hepatol. 2022 May;76(5):1001-1012. doi: 10.1016/j.jhep.2021.12.012. Epub 2021 Dec 21.
9
Macrophage fatty acid oxidation in atherosclerosis.动脉粥样硬化中的巨噬细胞脂肪酸氧化。
Biomed Pharmacother. 2024 Jan;170:116092. doi: 10.1016/j.biopha.2023.116092. Epub 2023 Dec 28.
10
Triggering MSR1 promotes JNK-mediated inflammation in IL-4-activated macrophages.触发 MSR1 可促进 IL-4 激活的巨噬细胞中 JNK 介导的炎症反应。
EMBO J. 2019 Jun 3;38(11). doi: 10.15252/embj.2018100299. Epub 2019 Apr 26.

引用本文的文献

1
Insights into the potential role of BMSCs-exo delivered USP14 on SIRT1 deubiquitination in Staphylococcus aureus-induced model of osteomyelitis.骨髓间充质干细胞来源的外泌体携带的USP14对金黄色葡萄球菌诱导的骨髓炎模型中SIRT1去泛素化的潜在作用的见解
J Orthop Surg Res. 2025 May 29;20(1):539. doi: 10.1186/s13018-025-05898-7.
2
Exosomal miR-122 derived from M2 macrophages induces osteogenic differentiation of bone marrow mesenchymal stem cells in the treatment of alcoholic osteonecrosis of the femoral head.源自M2巨噬细胞的外泌体miR-122在酒精性股骨头坏死治疗中诱导骨髓间充质干细胞成骨分化。
J Orthop Surg Res. 2025 Jan 29;20(1):107. doi: 10.1186/s13018-025-05515-7.
3

本文引用的文献

1
FOXO1 expression in chondrocytes modulates cartilage production and removal in fracture healing.成软骨细胞中 FOXO1 的表达可调节骨折愈合过程中软骨的产生和清除。
Bone. 2021 Jul;148:115905. doi: 10.1016/j.bone.2021.115905. Epub 2021 Mar 1.
2
SIRT1, a promising regulator of bone homeostasis.SIRT1,骨内稳态的有前途的调节剂。
Life Sci. 2021 Mar 15;269:119041. doi: 10.1016/j.lfs.2021.119041. Epub 2021 Jan 13.
3
Metabolic reprogramming in macrophage responses.巨噬细胞反应中的代谢重编程。
N6-methyladenosine regulates metabolic remodeling in kidney aging through transcriptional regulator GLIS1.
N6-甲基腺苷通过转录调节因子GLIS1调节肾脏衰老过程中的代谢重塑。
BMC Biol. 2024 Dec 31;22(1):302. doi: 10.1186/s12915-024-02100-y.
4
Melatonin Delays Arthritis Inflammation and Reduces Cartilage Matrix Degradation through the SIRT1-Mediated NF-κB/Nrf2/TGF-β/BMPs Pathway.褪黑素通过 SIRT1 介导的 NF-κB/Nrf2/TGF-β/BMPs 通路延迟关节炎炎症反应并减少软骨基质降解。
Int J Mol Sci. 2024 Jun 4;25(11):6202. doi: 10.3390/ijms25116202.
5
Excess glucocorticoids inhibit murine bone turnover via modulating the immunometabolism of the skeletal microenvironment.过量的糖皮质激素通过调节骨骼微环境的免疫代谢来抑制小鼠的骨转换。
J Clin Invest. 2024 Mar 21;134(10):e166795. doi: 10.1172/JCI166795.
6
Ultrasound-Driven Healing: Unleashing the Potential of Chondrocyte-Derived Extracellular Vesicles for Chondrogenesis in Adipose-Derived Stem Cells.超声驱动的愈合:释放软骨细胞衍生的细胞外囊泡在脂肪来源干细胞软骨生成中的潜力。
Biomedicines. 2023 Oct 19;11(10):2836. doi: 10.3390/biomedicines11102836.
7
Effective-mononuclear cell (E-MNC) therapy alleviates salivary gland damage by suppressing lymphocyte infiltration in Sjögren-like disease.有效单核细胞(E-MNC)疗法通过抑制类干燥综合征疾病中的淋巴细胞浸润来减轻唾液腺损伤。
Front Bioeng Biotechnol. 2023 Apr 24;11:1144624. doi: 10.3389/fbioe.2023.1144624. eCollection 2023.
Biomark Res. 2021 Jan 6;9(1):1. doi: 10.1186/s40364-020-00251-y.
4
Role of sirtuins in bone biology: Potential implications for novel therapeutic strategies for osteoporosis.沉默调节蛋白在骨生物学中的作用:对骨质疏松症新型治疗策略的潜在影响。
Aging Cell. 2021 Feb;20(2):e13301. doi: 10.1111/acel.13301. Epub 2021 Jan 4.
5
The possible role of sirtuin 5 in the pathogenesis of apical periodontitis.Sirtuin 5 在根尖周炎发病机制中的可能作用。
Oral Dis. 2021 Oct;27(7):1766-1774. doi: 10.1111/odi.13723. Epub 2021 Feb 12.
6
Glucose restriction delays senescence and promotes proliferation of HUVECs via the AMPK/SIRT1-FOXA3-Beclin1 pathway.葡萄糖限制通过 AMPK/SIRT1-FOXA3-Beclin1 途径延缓 HUVECs 的衰老并促进其增殖。
Exp Gerontol. 2020 Oct 1;139:111053. doi: 10.1016/j.exger.2020.111053. Epub 2020 Aug 5.
7
Sirt1 inhibits renal tubular cell epithelial-mesenchymal transition through YY1 deacetylation in diabetic nephropathy.Sirt1 通过去乙酰化 YY1 抑制糖尿病肾病肾小管上皮细胞间质转化。
Acta Pharmacol Sin. 2021 Feb;42(2):242-251. doi: 10.1038/s41401-020-0450-2. Epub 2020 Jun 17.
8
Macrophage GIT1 Contributes to Bone Regeneration by Regulating Inflammatory Responses in an ERK/NRF2-Dependent Way.巨噬细胞 GIT1 通过 ERK/NRF2 依赖性途径调节炎症反应促进骨再生。
J Bone Miner Res. 2020 Oct;35(10):2015-2031. doi: 10.1002/jbmr.4099. Epub 2020 Jul 9.
9
Epidemiology, Clinical Assessments, and Current Treatments of Nonunions.骨不连的流行病学、临床评估及当前治疗方法
Curr Osteoporos Rep. 2020 Jun;18(3):157-168. doi: 10.1007/s11914-020-00575-6.
10
Metabolites released from apoptotic cells act as tissue messengers.凋亡细胞释放的代谢物作为组织信使发挥作用。
Nature. 2020 Apr;580(7801):130-135. doi: 10.1038/s41586-020-2121-3. Epub 2020 Mar 18.