HEALTH BIOLABS Pvt. Ltd., Division of Tissue Engineering and Cell Science (TECS), Shree Hospital and Research Institute (SHRI), 1st Lane Rajarampuri, Kolhapur, Maharashtra, 416008, India.
Tissue Eng Regen Med. 2022 Aug;19(4):769-779. doi: 10.1007/s13770-022-00449-1. Epub 2022 May 9.
Re-emerging viral attacks are catastrophic for health and economy. It is crucial to grasp the viral life cycle, replication and mutation policies and attack strategies. It is also absolute to fathom the cost-efficient antiviral remedies earliest possible.
We propose to use a lab-grown organ (re-cellularized scaffold of sheep kidney) for viral culture and understand its interaction with extra-cellular matrices of the host tissue.
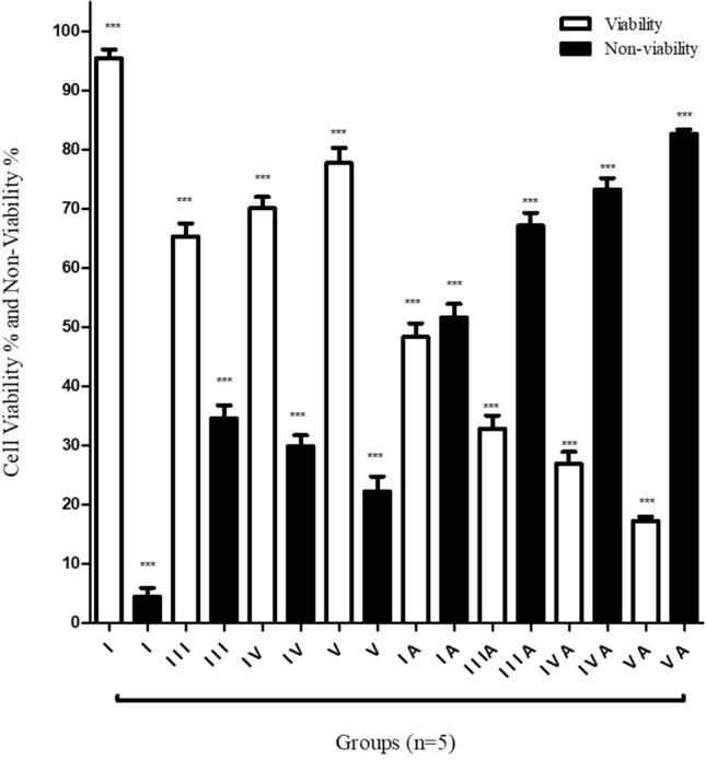
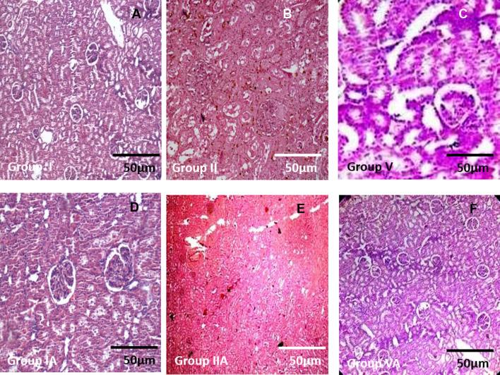
Our findings showed that the chikungunya virus (CHIKV) could be better replicated in tissue-engineered bio models than cell culture. A decrease in ds-DNA levels emphasized that CHIKV propagates within the re-cellularized and cell culture models. There was an increase in the viral titres (pfu/ml) in re-cellularized scaffolds and control groups. The lipid peroxidation levels were increased as the infection was progressed in cell culture as well as re-cellularized and control groups. The onset and progress of the CHIKV attacks (cellular infection) lead to transmembrane domain fatty acid peroxidation and DNA breakdown, landing in cellular apoptosis. Simultaneously cell viability was inversely proportional to non-viability, and it decreased as the infection progressed in all infected groups. Histological findings and extracellular matrix evaluation showed the impairment in medullary, cortex regions due to propagation of CHIKV and plaques generations.
This method will be a breakthrough for future virus culture, drug interaction and to study its effect on extracellular matrix alterations. This study will also allow us to investigate the correct role of any vaccine or antiviral drugs and their effects on re-engineered organ matrices before moving towards the animal models.
病毒的再次侵袭对健康和经济都是灾难性的。了解病毒的生命周期、复制和突变策略以及攻击策略至关重要。尽早了解具有成本效益的抗病毒疗法也是绝对必要的。
我们建议使用实验室培养的器官(羊肾的再细胞化支架)来进行病毒培养,并了解其与宿主组织细胞外基质的相互作用。
我们的研究结果表明,在组织工程生物模型中,基孔肯雅病毒(CHIKV)的复制效果优于细胞培养。ds-DNA 水平的降低强调了 CHIKV 在再细胞化和细胞培养模型中的传播。在再细胞化支架和对照组中,病毒滴度(pfu/ml)增加。随着细胞培养以及再细胞化和对照组中感染的进展,脂质过氧化水平增加。CHIKV 攻击(细胞感染)的开始和进展导致跨膜结构域脂肪酸过氧化和 DNA 断裂,导致细胞凋亡。同时,细胞活力与非活力呈反比,在所有感染组中,随着感染的进展,细胞活力下降。组织学发现和细胞外基质评估显示,由于 CHIKV 的传播和斑块生成,皮质和髓质区域受损。
这种方法将成为未来病毒培养、药物相互作用以及研究其对细胞外基质改变影响的突破。这项研究还将使我们能够在将其应用于动物模型之前,研究任何疫苗或抗病毒药物的正确作用及其对再工程器官基质的影响。