• 文献检索
  • 文档翻译
  • 深度研究
  • 学术资讯
  • Suppr Zotero 插件Zotero 插件
  • 邀请有礼
  • 套餐&价格
  • 历史记录
应用&插件
Suppr Zotero 插件Zotero 插件浏览器插件Mac 客户端Windows 客户端微信小程序
定价
高级版会员购买积分包购买API积分包
服务
文献检索文档翻译深度研究API 文档MCP 服务
关于我们
关于 Suppr公司介绍联系我们用户协议隐私条款
关注我们

Suppr 超能文献

核心技术专利:CN118964589B侵权必究
粤ICP备2023148730 号-1Suppr @ 2026

文献检索

告别复杂PubMed语法,用中文像聊天一样搜索,搜遍4000万医学文献。AI智能推荐,让科研检索更轻松。

立即免费搜索

文件翻译

保留排版,准确专业,支持PDF/Word/PPT等文件格式,支持 12+语言互译。

免费翻译文档

深度研究

AI帮你快速写综述,25分钟生成高质量综述,智能提取关键信息,辅助科研写作。

立即免费体验

DNA 超甲基化修饰通过抑制肿瘤抑制基因 ZNF334 促进肝细胞癌的发展。

DNA hypermethylation modification promotes the development of hepatocellular carcinoma by depressing the tumor suppressor gene ZNF334.

机构信息

The Third Department of Hepatic Surgery, Eastern Hepatobiliary Surgery Hospital, Naval Medical University, 225 Changhai Road Shanghai, Shanghai, 200438, China.

Center for Health Research, Guangzhou Institutes of Biomedicine and Health, Chinese Academy of Sciences, 190 Kaiyuan Avenue, Guangzhou, 510530, China.

出版信息

Cell Death Dis. 2022 May 9;13(5):446. doi: 10.1038/s41419-022-04895-6.

DOI:10.1038/s41419-022-04895-6
PMID:35534462
原文链接:https://pmc.ncbi.nlm.nih.gov/articles/PMC9085879/
Abstract

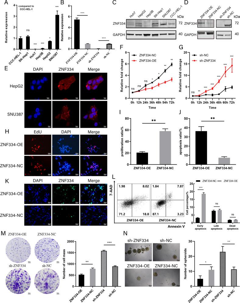
DNA methylation plays a pivotal role in the development and progression of tumors. However, studies focused on the dynamic changes of DNA methylation in the development of hepatocellular carcinoma (HCC) are rare. To systematically illustrate the dynamic DNA methylation alternation from premalignant to early-stage liver cancer with the same genetic background, this study enrolled 5 HBV-related patients preceded with liver cirrhosis, pathologically identified as early-stage HCC with dysplastic nodules. Liver fibrosis tissues, dysplastic nodules and early HCC tissues from these patients were used to measure DNA methylation. Here, we report significant differences in the DNA methylation spectrum among the three types of tissues. In the early stage of HCC, DNA hypermethylation of tumor suppressor genes is predominant. Additionally, DNA hypermethylation in the early stage of HCC changes the binding ability of transcription factor TP53 to the promoter of tumor suppressor gene ZNF334, and inhibits the expression of ZNF334 at the transcription level. Furthermore, through a series of in vivo and in vitro experiments, we have clarified the exacerbation effect of tumor suppressor gene ZNF334 deletion in the occurrence of HCC. Combined with clinical data, we found that the overall survival and relapse-free survival of patients with high ZNF334 expression are significantly longer. Thus, we partly elucidated a sequential alternation of DNA methylation modification during the occurrence of HCC, and clarified the biological function and regulatory mechanism of the tumor suppressor gene ZNF334, which is regulated by related DNA methylation sites. Our study provides a new target and clinical evidence for the early diagnosis and sheds light on the precise treatment of liver cancer.

摘要

DNA 甲基化在肿瘤的发生和发展中起着关键作用。然而,关于 DNA 甲基化在肝细胞癌(HCC)发生过程中的动态变化的研究很少。为了系统地阐明具有相同遗传背景的从癌前病变到早期肝癌的动态 DNA 甲基化改变,本研究纳入了 5 例 HBV 相关的肝硬化患者,这些患者的病理诊断为早期 HCC 伴异型增生结节。使用这些患者的肝纤维化组织、异型增生结节和早期 HCC 组织来测量 DNA 甲基化。在这里,我们报告了这三种组织中 DNA 甲基化谱的显著差异。在 HCC 的早期阶段,肿瘤抑制基因的 DNA 高甲基化占主导地位。此外,早期 HCC 中的 DNA 高甲基化改变了转录因子 TP53 与肿瘤抑制基因 ZNF334 启动子的结合能力,并抑制了 ZNF334 在转录水平的表达。此外,通过一系列体内和体外实验,我们阐明了肿瘤抑制基因 ZNF334 缺失在 HCC 发生中的加重作用。结合临床资料,我们发现高 ZNF334 表达患者的总生存率和无复发生存率显著延长。因此,我们部分阐明了 HCC 发生过程中 DNA 甲基化修饰的顺序改变,并阐明了受相关 DNA 甲基化位点调控的肿瘤抑制基因 ZNF334 的生物学功能和调控机制。我们的研究为早期诊断提供了新的靶点和临床证据,并为肝癌的精准治疗提供了思路。

https://cdn.ncbi.nlm.nih.gov/pmc/blobs/f96b/9085879/c00bd81974fb/41419_2022_4895_Fig7_HTML.jpg
https://cdn.ncbi.nlm.nih.gov/pmc/blobs/f96b/9085879/52fde99708d7/41419_2022_4895_Fig1_HTML.jpg
https://cdn.ncbi.nlm.nih.gov/pmc/blobs/f96b/9085879/53b4b2637991/41419_2022_4895_Fig2_HTML.jpg
https://cdn.ncbi.nlm.nih.gov/pmc/blobs/f96b/9085879/5740f6343edc/41419_2022_4895_Fig3_HTML.jpg
https://cdn.ncbi.nlm.nih.gov/pmc/blobs/f96b/9085879/0b2deaa848bd/41419_2022_4895_Fig4_HTML.jpg
https://cdn.ncbi.nlm.nih.gov/pmc/blobs/f96b/9085879/b8be26bf9650/41419_2022_4895_Fig5_HTML.jpg
https://cdn.ncbi.nlm.nih.gov/pmc/blobs/f96b/9085879/51aaffb18d9c/41419_2022_4895_Fig6_HTML.jpg
https://cdn.ncbi.nlm.nih.gov/pmc/blobs/f96b/9085879/c00bd81974fb/41419_2022_4895_Fig7_HTML.jpg
https://cdn.ncbi.nlm.nih.gov/pmc/blobs/f96b/9085879/52fde99708d7/41419_2022_4895_Fig1_HTML.jpg
https://cdn.ncbi.nlm.nih.gov/pmc/blobs/f96b/9085879/53b4b2637991/41419_2022_4895_Fig2_HTML.jpg
https://cdn.ncbi.nlm.nih.gov/pmc/blobs/f96b/9085879/5740f6343edc/41419_2022_4895_Fig3_HTML.jpg
https://cdn.ncbi.nlm.nih.gov/pmc/blobs/f96b/9085879/0b2deaa848bd/41419_2022_4895_Fig4_HTML.jpg
https://cdn.ncbi.nlm.nih.gov/pmc/blobs/f96b/9085879/b8be26bf9650/41419_2022_4895_Fig5_HTML.jpg
https://cdn.ncbi.nlm.nih.gov/pmc/blobs/f96b/9085879/51aaffb18d9c/41419_2022_4895_Fig6_HTML.jpg
https://cdn.ncbi.nlm.nih.gov/pmc/blobs/f96b/9085879/c00bd81974fb/41419_2022_4895_Fig7_HTML.jpg

相似文献

1
DNA hypermethylation modification promotes the development of hepatocellular carcinoma by depressing the tumor suppressor gene ZNF334.DNA 超甲基化修饰通过抑制肿瘤抑制基因 ZNF334 促进肝细胞癌的发展。
Cell Death Dis. 2022 May 9;13(5):446. doi: 10.1038/s41419-022-04895-6.
2
[Aberrant methylation of multiple genes and its clinical implication in hepatocellular carcinoma].[多种基因的异常甲基化及其在肝细胞癌中的临床意义]
Zhonghua Zhong Liu Za Zhi. 2008 Nov;30(11):831-6.
3
Targeted DNA demethylation of the ZNF334 promoter inhibits colorectal cancer growth.靶向 ZNF334 启动子的 DNA 去甲基化抑制结直肠癌生长。
Cell Death Dis. 2023 Mar 25;14(3):210. doi: 10.1038/s41419-023-05743-x.
4
Disease progression from chronic hepatitis C to cirrhosis and hepatocellular carcinoma is associated with increasing DNA promoter methylation.从慢性丙型肝炎发展到肝硬化和肝细胞癌的疾病进程与DNA启动子甲基化增加有关。
Asian Pac J Cancer Prev. 2014 Jan;14(11):6721-6. doi: 10.7314/apjcp.2013.14.11.6721.
5
Genomic and Epigenomic Features of Primary and Recurrent Hepatocellular Carcinomas.原发性和复发性肝细胞癌的基因组和表观基因组特征。
Gastroenterology. 2019 Dec;157(6):1630-1645.e6. doi: 10.1053/j.gastro.2019.09.005. Epub 2019 Sep 24.
6
Downregulation of DENND2D by promoter hypermethylation is associated with early recurrence of hepatocellular carcinoma.启动子过度甲基化下调 DENND2D 与肝细胞癌的早期复发相关。
Int J Oncol. 2014 Jan;44(1):44-52. doi: 10.3892/ijo.2013.2165. Epub 2013 Nov 5.
7
Genome-wide methylation analysis and epigenetic unmasking identify tumor suppressor genes in hepatocellular carcinoma.全基因组甲基化分析和表观遗传去抑制鉴定肝癌中的肿瘤抑制基因。
Gastroenterology. 2013 Dec;145(6):1424-35.e1-25. doi: 10.1053/j.gastro.2013.08.055. Epub 2013 Sep 5.
8
Frequent epigenetic inactivation of the RASSF1A gene in hepatocellular carcinoma.RASSF1A基因在肝细胞癌中频繁发生表观遗传失活。
Oncogene. 2003 Mar 27;22(12):1866-71. doi: 10.1038/sj.onc.1206338.
9
Global analysis of DNA methylation in early-stage liver fibrosis.早期肝纤维化中 DNA 甲基化的全局分析。
BMC Med Genomics. 2012 Jan 27;5:5. doi: 10.1186/1755-8794-5-5.
10
Quantitative evaluation of RASSF1A methylation in the non-lesional, regenerative and neoplastic liver.非病变、再生和肿瘤性肝脏中RASSF1A甲基化的定量评估。
BMC Cancer. 2006 Apr 10;6:89. doi: 10.1186/1471-2407-6-89.

引用本文的文献

1
VPS26A as a Prognostic Biomarker and Therapeutic Target in Liver Hepatocellular Carcinoma: Insights from Comprehensive Bioinformatics Analysis.VPS26A作为肝细胞癌的预后生物标志物和治疗靶点:综合生物信息学分析的见解
Medicina (Kaunas). 2025 Jul 16;61(7):1283. doi: 10.3390/medicina61071283.
2
The Malignant Transformation of Viral Hepatitis to Hepatocellular Carcinoma: Mechanisms and Interventions.病毒性肝炎向肝细胞癌的恶性转化:机制与干预措施
MedComm (2020). 2025 Mar 8;6(3):e70121. doi: 10.1002/mco2.70121. eCollection 2025 Mar.
3
The epigenetic basis of hepatocellular carcinoma - mechanisms and potential directions for biomarkers and therapeutics.

本文引用的文献

1
p53 and Tumor Suppression: It Takes a Network.p53 与肿瘤抑制:需要一个网络。
Trends Cell Biol. 2021 Apr;31(4):298-310. doi: 10.1016/j.tcb.2020.12.011. Epub 2021 Jan 28.
2
Hepatocellular carcinoma: old friends and new tricks.肝细胞癌:旧友与新招。
Exp Mol Med. 2020 Dec;52(12):1898-1907. doi: 10.1038/s12276-020-00527-1. Epub 2020 Dec 2.
3
The Role of Histone Acetylation-/Methylation-Mediated Apoptotic Gene Regulation in Hepatocellular Carcinoma.组蛋白乙酰化/甲基化介导的凋亡基因调控在肝细胞癌中的作用。
肝细胞癌的表观遗传基础——生物标志物与治疗方法的机制及潜在方向
Br J Cancer. 2025 Jun;132(10):869-887. doi: 10.1038/s41416-025-02969-8. Epub 2025 Mar 8.
4
Identification of differentially expressed tumour-related genes regulated by UHRF1-driven DNA methylation.鉴定 UHRF1 驱动的 DNA 甲基化调控的差异表达肿瘤相关基因。
Sci Rep. 2024 Aug 7;14(1):18371. doi: 10.1038/s41598-024-69110-2.
5
The Role of DNA Methylation in Gastrointestinal Disease: An Expanded Review of Malignant and Nonmalignant Gastrointestinal Diseases.DNA甲基化在胃肠道疾病中的作用:对恶性和非恶性胃肠道疾病的扩展综述
Gastroenterology. 2025 Feb;168(2):245-266. doi: 10.1053/j.gastro.2024.07.001. Epub 2024 Jul 4.
6
Implications of ZNF334 gene in lymph node metastasis of lung SCC: potential bypassing of cellular senescence.ZNF334 基因对肺鳞癌淋巴结转移的影响:潜在的绕过细胞衰老。
J Transl Med. 2024 Apr 18;22(1):372. doi: 10.1186/s12967-024-05115-9.
7
Targeted DNA demethylation of the ZNF334 promoter inhibits colorectal cancer growth.靶向 ZNF334 启动子的 DNA 去甲基化抑制结直肠癌生长。
Cell Death Dis. 2023 Mar 25;14(3):210. doi: 10.1038/s41419-023-05743-x.
8
DNA methylation in cell plasticity and malignant transformation in liver diseases.DNA 甲基化在肝疾病中的细胞可塑性和恶性转化中的作用。
Pharmacol Ther. 2023 Jan;241:108334. doi: 10.1016/j.pharmthera.2022.108334. Epub 2022 Dec 17.
9
DRAGON: Determining Regulatory Associations using Graphical models on multi-Omic Networks.DRAGON:基于多组学网络的图形模型确定调控关系。
Nucleic Acids Res. 2023 Feb 22;51(3):e15. doi: 10.1093/nar/gkac1157.
Int J Mol Sci. 2020 Nov 24;21(23):8894. doi: 10.3390/ijms21238894.
4
DNA Methylation Profiling of Human Hepatocarcinogenesis.人类肝癌发生的 DNA 甲基化分析。
Hepatology. 2021 Jul;74(1):183-199. doi: 10.1002/hep.31659. Epub 2021 Jun 15.
5
Current developments of targeting the p53 signaling pathway for cancer treatment.针对癌症治疗的 p53 信号通路的最新进展。
Pharmacol Ther. 2021 Apr;220:107720. doi: 10.1016/j.pharmthera.2020.107720. Epub 2020 Oct 29.
6
Targeting p53 for the treatment of cancer.以p53为靶点治疗癌症。
Semin Cancer Biol. 2022 Feb;79:58-67. doi: 10.1016/j.semcancer.2020.07.005. Epub 2020 Jul 31.
7
p53: 800 million years of evolution and 40 years of discovery.p53:8 亿年的进化与 40 年的发现。
Nat Rev Cancer. 2020 Aug;20(8):471-480. doi: 10.1038/s41568-020-0262-1. Epub 2020 May 13.
8
Mortality, morbidity, and risk factors in China and its provinces, 1990-2017: a systematic analysis for the Global Burden of Disease Study 2017.死亡率、发病率和风险因素在中国及其省份,1990-2017 年:2017 年全球疾病负担研究的系统分析。
Lancet. 2019 Sep 28;394(10204):1145-1158. doi: 10.1016/S0140-6736(19)30427-1. Epub 2019 Jun 24.
9
Epigenetics of hepatocellular carcinoma.肝细胞癌的表观遗传学
Clin Transl Med. 2019 May 6;8(1):13. doi: 10.1186/s40169-019-0230-0.
10
Aberrant enhancer hypomethylation contributes to hepatic carcinogenesis through global transcriptional reprogramming.异常增强子低甲基化通过全局转录重编程促进肝癌发生。
Nat Commun. 2019 Jan 18;10(1):335. doi: 10.1038/s41467-018-08245-z.