Suppr超能文献

一种用于同时定量测定小鼠血浆中齐墩果烷型和乌苏烷型三萜皂苷及其主要代谢产物对的超高效液相色谱-串联质谱法及其在比较药代动力学研究中的应用。

A UPLC-MS/MS method for simultaneous quantification of pairs of oleanene- and ursane-type triterpenoid saponins and their major metabolites in mice plasma and its application to a comparative pharmacokinetic study.

作者信息

Zhao Wenwen, Liu Zongyang, Guo Weiwei, Luo Kui, Yang Jie, Gao Wei, Wu Xia, Chen Xiaoqing

机构信息

School of Traditional Chinese Medicine, Beijing Key Lab of TCM Collateral Disease Theory Research, Capital Medical University Beijing 100069 China

Beijing Key Lab of TCM Collateral Disease Theory Research, Capital Medical University Beijing 100069 China.

出版信息

RSC Adv. 2018 Feb 26;8(16):8586-8595. doi: 10.1039/c8ra00739j. eCollection 2018 Feb 23.

Abstract

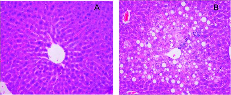
Ilexhainanoside D (IhD) and Ilexsaponin A (IsA) are a pair of oleanene- and ursane-type triterpenoid saponins, which are also the main bioactive pharmaceutical ingredients of Merr. with great potential to treat non-alcoholic fatty liver disease (NAFLD). The pharmacokinetics of four representative triterpenoids in mice were investigated in this study, which were IhD, IsA and their major metabolites 3β, 19α-dihydroxyolean-12-ene-24, 28-dioic acid (ID) and Ilexgenin A (IA). A sensitive and accurate UPLC-MS/MS method was developed and validated for the simultaneous quantitative determination of IhD, IsA, ID and IA in control and NAFLD mice plasma after oral administration of the total saponins of (the contents of IhD and IsA were 41.6% and 54.4%, respectively). The results revealed that the pharmacokinetic behaviors could be changed in NAFLD mice compared with control mice. The area under the plasma drug concentration-time curve and maximum plasma concentrations of IhD and IsA were greatly decreased in the NAFLD mice. However, the main residence time of ID and IA were greatly increased in the NAFLD mice. The results revealed that this method could be used to analyze two pairs of triterpenoid isomers in biological samples.

摘要

毛冬青皂苷D(IhD)和毛冬青皂苷A(IsA)是一对齐墩果烷型和乌苏烷型三萜皂苷,它们也是毛冬青的主要生物活性药用成分,在治疗非酒精性脂肪性肝病(NAFLD)方面具有巨大潜力。本研究考察了四种代表性三萜类化合物在小鼠体内的药代动力学,它们分别是IhD、IsA及其主要代谢产物3β,19α - 二羟基齐墩果 - 12 - 烯 - 24,28 - 二酸(ID)和毛冬青皂苷元A(IA)。建立了一种灵敏且准确的超高效液相色谱 - 串联质谱(UPLC - MS/MS)方法,并对其进行了验证,用于口服毛冬青总皂苷(IhD和IsA的含量分别为41.6%和54.4%)后对照小鼠和NAFLD小鼠血浆中IhD、IsA、ID和IA的同时定量测定。结果表明,与对照小鼠相比,NAFLD小鼠的药代动力学行为可能会发生变化。NAFLD小鼠中IhD和IsA的血浆药物浓度 - 时间曲线下面积和最大血浆浓度大幅降低。然而,NAFLD小鼠中ID和IA的主要驻留时间大幅增加。结果表明,该方法可用于分析生物样品中的两对三萜异构体。

https://cdn.ncbi.nlm.nih.gov/pmc/blobs/33db/9078533/cdcc3ff6a03e/c8ra00739j-f1.jpg

文献检索

告别复杂PubMed语法,用中文像聊天一样搜索,搜遍4000万医学文献。AI智能推荐,让科研检索更轻松。

立即免费搜索

文件翻译

保留排版,准确专业,支持PDF/Word/PPT等文件格式,支持 12+语言互译。

免费翻译文档

深度研究

AI帮你快速写综述,25分钟生成高质量综述,智能提取关键信息,辅助科研写作。

立即免费体验