• 文献检索
  • 文档翻译
  • 深度研究
  • 学术资讯
  • Suppr Zotero 插件Zotero 插件
  • 邀请有礼
  • 套餐&价格
  • 历史记录
应用&插件
Suppr Zotero 插件Zotero 插件浏览器插件Mac 客户端Windows 客户端微信小程序
定价
高级版会员购买积分包购买API积分包
服务
文献检索文档翻译深度研究API 文档MCP 服务
关于我们
关于 Suppr公司介绍联系我们用户协议隐私条款
关注我们

Suppr 超能文献

核心技术专利:CN118964589B侵权必究
粤ICP备2023148730 号-1Suppr @ 2026

文献检索

告别复杂PubMed语法,用中文像聊天一样搜索,搜遍4000万医学文献。AI智能推荐,让科研检索更轻松。

立即免费搜索

文件翻译

保留排版,准确专业,支持PDF/Word/PPT等文件格式,支持 12+语言互译。

免费翻译文档

深度研究

AI帮你快速写综述,25分钟生成高质量综述,智能提取关键信息,辅助科研写作。

立即免费体验

发现一种针对血液系统恶性肿瘤的新型磷酸肌醇3-激酶γ(PI3Kγ)抑制剂及其PI3Kγ特异性结合机制的理论研究

Discovery of a novel phosphoinositide 3-kinase gamma (PI3Kγ) inhibitor against hematologic malignancies and theoretical studies on its PI3Kγ-specific binding mechanisms.

作者信息

Zhu Jingyu, Ke Ke, Xu Lei, Jin Jian

机构信息

School of Pharmaceutical Sciences, Jiangnan University Wuxi Jiangsu 214122 China

Institute of Bioinformatics and Medical Engineering, School of Electrical and Information Engineering, Jiangsu University of Technology Changzhou 213001 China.

出版信息

RSC Adv. 2019 Jun 28;9(35):20207-20215. doi: 10.1039/c9ra02649e. eCollection 2019 Jun 25.

DOI:10.1039/c9ra02649e
PMID:35546906
原文链接:https://pmc.ncbi.nlm.nih.gov/articles/PMC9087882/
Abstract

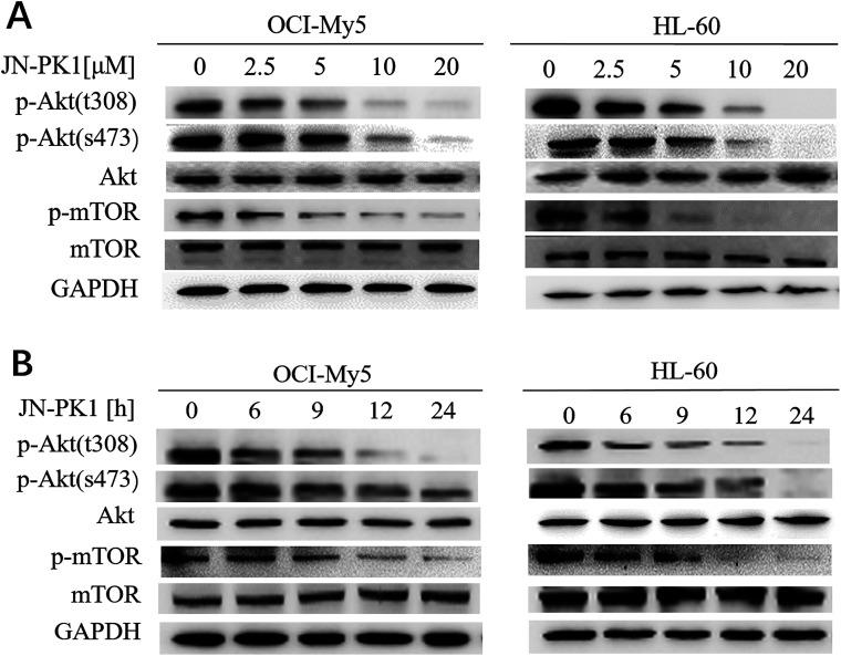
Class IB phosphoinositide 3-kinase gamma (PI3Kγ) is vital for regulating intracellular signaling pathways and has become an attractive drug target for the treatment of malignant tumors. In the present study, one potent PI3Kγ inhibitor (JN-PK1) with a novel scaffold against hematologic malignancies was identified based on a series of biological experiments, and then the selective mechanism of PI3Kγ inhibition was explored by a systematic computational method. JN-PK1 shows an effective antiproliferative activity on several cancer cell lines, especially blood cancer cells. Cell-free enzymatic studies demonstrated that JN-PK1 specifically inhibits PI3Kγ at low micromolar concentrations without affecting other isoforms of PI3K. In the cellular context, JN-PK1 potently inhibits PI3K/Akt/mTOR signaling pathway in a time- and concentration-dependent manner, which leads to the apoptosis of cancer cells. Further, the specific binding mode of JN-PK1 with PI3Kγ was illustrated by molecular docking, and the selective inhibition mechanism of PI3Kγ by JN-PK1 was revealed by molecular dynamics simulation. Finally, some key residues of PI3Kγ required for specificity and activity were identified. Taken together, JN-PK1 may be developed as a promising therapeutic agent for the treatment of hematologic malignancies.

摘要

I类B型磷酸肌醇3激酶γ(PI3Kγ)对调节细胞内信号通路至关重要,已成为治疗恶性肿瘤的一个有吸引力的药物靶点。在本研究中,基于一系列生物学实验鉴定出一种针对血液系统恶性肿瘤的具有新型骨架的强效PI3Kγ抑制剂(JN-PK1),然后通过系统的计算方法探索PI3Kγ抑制的选择性机制。JN-PK1对几种癌细胞系,尤其是血液癌细胞显示出有效的抗增殖活性。无细胞酶学研究表明,JN-PK1在低微摩尔浓度下特异性抑制PI3Kγ,而不影响PI3K的其他亚型。在细胞环境中,JN-PK1以时间和浓度依赖性方式有效抑制PI3K/Akt/mTOR信号通路,这导致癌细胞凋亡。此外,通过分子对接阐明了JN-PK1与PI3Kγ的特异性结合模式,并通过分子动力学模拟揭示了JN-PK1对PI3Kγ的选择性抑制机制。最后,确定了PI3Kγ特异性和活性所需的一些关键残基。综上所述,JN-PK1可能被开发成为治疗血液系统恶性肿瘤的一种有前景的治疗药物。

https://cdn.ncbi.nlm.nih.gov/pmc/blobs/aac8/9087882/1379c7695964/c9ra02649e-f5.jpg
https://cdn.ncbi.nlm.nih.gov/pmc/blobs/aac8/9087882/8e7b86194523/c9ra02649e-f1.jpg
https://cdn.ncbi.nlm.nih.gov/pmc/blobs/aac8/9087882/0ab63c10d16a/c9ra02649e-f2.jpg
https://cdn.ncbi.nlm.nih.gov/pmc/blobs/aac8/9087882/c49521d54823/c9ra02649e-f3.jpg
https://cdn.ncbi.nlm.nih.gov/pmc/blobs/aac8/9087882/e02d60816ceb/c9ra02649e-f4.jpg
https://cdn.ncbi.nlm.nih.gov/pmc/blobs/aac8/9087882/1379c7695964/c9ra02649e-f5.jpg
https://cdn.ncbi.nlm.nih.gov/pmc/blobs/aac8/9087882/8e7b86194523/c9ra02649e-f1.jpg
https://cdn.ncbi.nlm.nih.gov/pmc/blobs/aac8/9087882/0ab63c10d16a/c9ra02649e-f2.jpg
https://cdn.ncbi.nlm.nih.gov/pmc/blobs/aac8/9087882/c49521d54823/c9ra02649e-f3.jpg
https://cdn.ncbi.nlm.nih.gov/pmc/blobs/aac8/9087882/e02d60816ceb/c9ra02649e-f4.jpg
https://cdn.ncbi.nlm.nih.gov/pmc/blobs/aac8/9087882/1379c7695964/c9ra02649e-f5.jpg

相似文献

1
Discovery of a novel phosphoinositide 3-kinase gamma (PI3Kγ) inhibitor against hematologic malignancies and theoretical studies on its PI3Kγ-specific binding mechanisms.发现一种针对血液系统恶性肿瘤的新型磷酸肌醇3-激酶γ(PI3Kγ)抑制剂及其PI3Kγ特异性结合机制的理论研究
RSC Adv. 2019 Jun 28;9(35):20207-20215. doi: 10.1039/c9ra02649e. eCollection 2019 Jun 25.
2
Discovery of novel selective PI3Kγ inhibitors through combining machine learning-based virtual screening with multiple protein structures and bio-evaluation.通过将基于机器学习的虚拟筛选与多种蛋白质结构和生物评估相结合,发现新型选择性 PI3Kγ 抑制剂。
J Adv Res. 2021 Apr 20;36:1-13. doi: 10.1016/j.jare.2021.04.007. eCollection 2022 Feb.
3
Investigation into the anti-airway inflammatory role of the PI3Kγ inhibitor JN-PK1: An in vitro and in vivo study.研究 PI3Kγ 抑制剂 JN-PK1 的抗气道炎症作用:一项体外和体内研究。
Int Immunopharmacol. 2022 Oct;111:109102. doi: 10.1016/j.intimp.2022.109102. Epub 2022 Aug 11.
4
Developing a Naïve Bayesian Classification Model with PI3Kγ structural features for virtual screening against PI3Kγ: Combining molecular docking and pharmacophore based on multiple PI3Kγ conformations.基于多种 PI3Kγ 构象,利用分子对接和基于药效团的方法,结合 PI3Kγ 结构特征,开发用于虚拟筛选 PI3Kγ 的朴素贝叶斯分类模型。
Eur J Med Chem. 2022 Dec 15;244:114824. doi: 10.1016/j.ejmech.2022.114824. Epub 2022 Oct 4.
5
Rational Design of Novel Phosphoinositide 3-Kinase Gamma (PI3Kγ) Selective Inhibitors: A Computational Investigation Integrating 3D-QSAR, Molecular Docking and Molecular Dynamics Simulation.新型磷酸肌醇3-激酶γ(PI3Kγ)选择性抑制剂的合理设计:结合三维定量构效关系、分子对接和分子动力学模拟的计算研究
Chem Biodivers. 2019 Jul;16(7):e1900105. doi: 10.1002/cbdv.201900105. Epub 2019 Jun 21.
6
Computational study reveals substituted benzimidazole derivatives' binding selectivity to PI3Kδ and PI3Kγ.计算研究揭示取代苯并咪唑衍生物对 PI3Kδ 和 PI3Kγ 的结合选择性。
J Mol Model. 2022 Apr 19;28(5):123. doi: 10.1007/s00894-022-05096-w.
7
Targeting phosphatidylinositol 3-kinase gamma (PI3Kγ): Discovery and development of its selective inhibitors.靶向磷脂酰肌醇 3-激酶 γ(PI3Kγ):选择性抑制剂的发现和开发。
Med Res Rev. 2021 May;41(3):1599-1621. doi: 10.1002/med.21770. Epub 2020 Dec 10.
8
In-silico & In-vitro Identification of Structure-Activity Relationship Pattern of Serpentine & Gallic Acid Targeting PI3Kγ as Potential Anticancer Target.计算机模拟与体外鉴定蛇纹石和没食子酸靶向 PI3Kγ的结构-活性关系模式作为潜在的抗癌靶点。
Curr Cancer Drug Targets. 2017;17(8):722-734. doi: 10.2174/1568009617666170330152617.
9
Phosphoinositide 3-Kinase Gamma Inhibition Protects From Anthracycline Cardiotoxicity and Reduces Tumor Growth.磷酸肌醇 3-激酶 γ 抑制可预防蒽环类药物的心脏毒性并减少肿瘤生长。
Circulation. 2018 Aug 14;138(7):696-711. doi: 10.1161/CIRCULATIONAHA.117.030352.
10
Insight into the selective mechanism of phosphoinositide 3-kinase γ with benzothiazole and thiazolopiperidine γ-specific inhibitors by in silico approaches.通过计算机模拟方法深入了解苯并噻唑和噻唑并哌啶 γ 特异性抑制剂与磷酸肌醇 3-激酶 γ 的选择性机制。
Chem Biol Drug Des. 2019 May;93(5):818-831. doi: 10.1111/cbdd.13469. Epub 2019 Jan 11.

引用本文的文献

1
Enhancing PI3Kγ inhibitor discovery: a machine learning-based virtual screening approach integrating pharmacophores, docking, and molecular descriptors.增强PI3Kγ抑制剂的发现:一种基于机器学习的虚拟筛选方法,整合药效团、对接和分子描述符。
Mol Divers. 2025 May 13. doi: 10.1007/s11030-025-11216-4.
2
Regulation of B-Cell Receptor Signaling and Its Therapeutic Relevance in Aggressive B-Cell Lymphomas.B细胞受体信号传导的调控及其在侵袭性B细胞淋巴瘤中的治疗意义
Cancers (Basel). 2022 Feb 9;14(4):860. doi: 10.3390/cancers14040860.
3
Discovery of novel selective PI3Kγ inhibitors through combining machine learning-based virtual screening with multiple protein structures and bio-evaluation.

本文引用的文献

1
Optimization of Gaussian surface calculations and extension to solvent-accessible surface areas.高斯表面计算的优化及向溶剂可及表面积的扩展。
J Comput Chem. 1999 May;20(7):688-703. doi: 10.1002/(SICI)1096-987X(199905)20:7<688::AID-JCC4>3.0.CO;2-F.
2
Insight into the selective mechanism of phosphoinositide 3-kinase γ with benzothiazole and thiazolopiperidine γ-specific inhibitors by in silico approaches.通过计算机模拟方法深入了解苯并噻唑和噻唑并哌啶 γ 特异性抑制剂与磷酸肌醇 3-激酶 γ 的选择性机制。
Chem Biol Drug Des. 2019 May;93(5):818-831. doi: 10.1111/cbdd.13469. Epub 2019 Jan 11.
3
Duvelisib: First Global Approval.
通过将基于机器学习的虚拟筛选与多种蛋白质结构和生物评估相结合,发现新型选择性 PI3Kγ 抑制剂。
J Adv Res. 2021 Apr 20;36:1-13. doi: 10.1016/j.jare.2021.04.007. eCollection 2022 Feb.
4
Theoretical Exploring Selective-Binding Mechanisms of JAK3 by 3D-QSAR, Molecular Dynamics Simulation and Free Energy Calculation.通过三维定量构效关系、分子动力学模拟和自由能计算对JAK3的选择性结合机制进行理论探索。
Front Mol Biosci. 2020 May 27;7:83. doi: 10.3389/fmolb.2020.00083. eCollection 2020.
度维利塞布:全球首次获批。
Drugs. 2018 Nov;78(17):1847-1853. doi: 10.1007/s40265-018-1013-4.
4
Phosphoinositide 3-Kinase Gamma Inhibition Protects From Anthracycline Cardiotoxicity and Reduces Tumor Growth.磷酸肌醇 3-激酶 γ 抑制可预防蒽环类药物的心脏毒性并减少肿瘤生长。
Circulation. 2018 Aug 14;138(7):696-711. doi: 10.1161/CIRCULATIONAHA.117.030352.
5
PI3K signaling in cancer: beyond AKT.癌症中的PI3K信号传导:超越AKT
Curr Opin Cell Biol. 2017 Apr;45:62-71. doi: 10.1016/j.ceb.2017.02.007. Epub 2017 Mar 24.
6
Theoretical studies on the selective mechanisms of GSK3β and CDK2 by molecular dynamics simulations and free energy calculations.通过分子动力学模拟和自由能计算对GSK3β和CDK2选择性机制的理论研究。
Chem Biol Drug Des. 2017 Jun;89(6):846-855. doi: 10.1111/cbdd.12907. Epub 2016 Dec 7.
7
Overcoming resistance to checkpoint blockade therapy by targeting PI3Kγ in myeloid cells.通过靶向骨髓细胞中的PI3Kγ克服对检查点阻断疗法的耐药性。
Nature. 2016 Nov 17;539(7629):443-447. doi: 10.1038/nature20554. Epub 2016 Nov 9.
8
PI3Kγ is a molecular switch that controls immune suppression.磷脂酰肌醇-3激酶γ(PI3Kγ)是一种控制免疫抑制的分子开关。
Nature. 2016 Nov 17;539(7629):437-442. doi: 10.1038/nature19834. Epub 2016 Sep 19.
9
Macrophage PI3Kγ Drives Pancreatic Ductal Adenocarcinoma Progression.巨噬细胞PI3Kγ驱动胰腺导管腺癌进展。
Cancer Discov. 2016 Aug;6(8):870-85. doi: 10.1158/2159-8290.CD-15-1346. Epub 2016 May 13.
10
Potency and pharmacokinetics of broad spectrum and isoform-specific p110γ and δ inhibitors in cancers.
J Recept Signal Transduct Res. 2016;36(1):26-36. doi: 10.3109/10799893.2014.1003658. Epub 2015 Oct 13.