• 文献检索
  • 文档翻译
  • 深度研究
  • 学术资讯
  • Suppr Zotero 插件Zotero 插件
  • 邀请有礼
  • 套餐&价格
  • 历史记录
应用&插件
Suppr Zotero 插件Zotero 插件浏览器插件Mac 客户端Windows 客户端微信小程序
定价
高级版会员购买积分包购买API积分包
服务
文献检索文档翻译深度研究API 文档MCP 服务
关于我们
关于 Suppr公司介绍联系我们用户协议隐私条款
关注我们

Suppr 超能文献

核心技术专利:CN118964589B侵权必究
粤ICP备2023148730 号-1Suppr @ 2026

文献检索

告别复杂PubMed语法,用中文像聊天一样搜索,搜遍4000万医学文献。AI智能推荐,让科研检索更轻松。

立即免费搜索

文件翻译

保留排版,准确专业,支持PDF/Word/PPT等文件格式,支持 12+语言互译。

免费翻译文档

深度研究

AI帮你快速写综述,25分钟生成高质量综述,智能提取关键信息,辅助科研写作。

立即免费体验

食管癌合并2型克里格勒-纳贾尔综合征患者的围手术期管理:一例报告

Perioperative Management of Patient with Esophageal Carcinoma and Crigler-Najjar Syndrome Type 2: A Case Report.

作者信息

Ma Dehua, Chen Fang, Chen Xiaoyun, Chen Yu

机构信息

Department of Chest Surgery, Taizhou Hospital of Zhejiang Province Affiliated to Wenzhou Medical University, Linhai, China.

出版信息

Front Surg. 2022 Apr 27;9:889753. doi: 10.3389/fsurg.2022.889753. eCollection 2022.

DOI:10.3389/fsurg.2022.889753
PMID:35574557
原文链接:https://pmc.ncbi.nlm.nih.gov/articles/PMC9093071/
Abstract

BACKGROUND

Crigler-Najjar syndrome type 2 (CNS-II) is a rare genetic disease that is associated with a lack of uridine diphosphate-glucuronosyltransferase. Esophageal carcinoma is the sixth most common cause of cancer-related death worldwide, for which surgery is the most effective treatment. Reports on patients with both conditions requiring surgery are limited and The impact of hyperbilirubinemia caused by CNS-II on the perioperative period is unknown. Previous studies have found that patients with Crigler-Najjar syndrome have an increased risk of gallstones and related complications, which also poses corresponding challenges to the treatment. Herein, we present a patient with CNS-II who underwent successful thoracoscopic surgery for esophageal carcinoma.

CASE SUMMARY

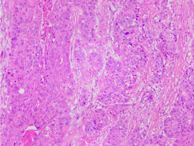
A 65-year-old male presented to our hospital with a choking sensation after eating. A physical examination showed yellowing of the sclera and skin. The patient manifested persistent jaundice since birth and had visited many hospitals, but the cause remained undiagnosed. We performed genetic testing, which confirmed CNS-II. Gastroscopy indicated esophageal carcinoma. A multidisciplinary team discussion was carried out to determine the appropriate treatment and perioperative management for this patient. The results show that surgical resection was the most appropriate approach. Finally, the patient underwent thoracoscopic surgery for esophageal carcinoma without complications.

CONCLUSION

Esophageal carcinoma in patients with Crigler-Najjar syndrome is a rare case, and perioperative management is key in the treatment process. It is necessary to pay close attention to the changes of the disease to prevent complications.

摘要

背景

2型克里格勒-纳贾尔综合征(CNS-II)是一种罕见的遗传性疾病,与尿苷二磷酸葡萄糖醛酸转移酶缺乏有关。食管癌是全球第六大常见的癌症相关死亡原因,手术是其最有效的治疗方法。关于同时患有这两种疾病且需要手术治疗的患者的报道有限,CNS-II引起的高胆红素血症对围手术期的影响尚不清楚。先前的研究发现,克里格勒-纳贾尔综合征患者患胆结石及相关并发症的风险增加,这也给治疗带来了相应的挑战。在此,我们报告一例患有CNS-II的患者成功接受了食管癌胸腔镜手术。

病例摘要

一名65岁男性因进食后有哽咽感前来我院就诊。体格检查发现巩膜和皮肤发黄。该患者自出生以来一直表现为持续性黄疸,曾就诊于多家医院,但病因仍未确诊。我们进行了基因检测,确诊为CNS-II。胃镜检查显示为食管癌。组织了多学科团队讨论,以确定该患者的合适治疗方法和围手术期管理。结果表明手术切除是最合适的方法。最后,该患者接受了食管癌胸腔镜手术,未出现并发症。

结论

克里格勒-纳贾尔综合征患者并发食管癌是一种罕见病例,围手术期管理是治疗过程中的关键。密切关注病情变化以预防并发症很有必要。

https://cdn.ncbi.nlm.nih.gov/pmc/blobs/e515/9093071/1939537ad0f3/fsurg-09-889753-g005.jpg
https://cdn.ncbi.nlm.nih.gov/pmc/blobs/e515/9093071/3669f048e2c3/fsurg-09-889753-g001.jpg
https://cdn.ncbi.nlm.nih.gov/pmc/blobs/e515/9093071/0e072c7c870c/fsurg-09-889753-g002.jpg
https://cdn.ncbi.nlm.nih.gov/pmc/blobs/e515/9093071/3de99a5224dd/fsurg-09-889753-g003.jpg
https://cdn.ncbi.nlm.nih.gov/pmc/blobs/e515/9093071/da03134dd30e/fsurg-09-889753-g004.jpg
https://cdn.ncbi.nlm.nih.gov/pmc/blobs/e515/9093071/1939537ad0f3/fsurg-09-889753-g005.jpg
https://cdn.ncbi.nlm.nih.gov/pmc/blobs/e515/9093071/3669f048e2c3/fsurg-09-889753-g001.jpg
https://cdn.ncbi.nlm.nih.gov/pmc/blobs/e515/9093071/0e072c7c870c/fsurg-09-889753-g002.jpg
https://cdn.ncbi.nlm.nih.gov/pmc/blobs/e515/9093071/3de99a5224dd/fsurg-09-889753-g003.jpg
https://cdn.ncbi.nlm.nih.gov/pmc/blobs/e515/9093071/da03134dd30e/fsurg-09-889753-g004.jpg
https://cdn.ncbi.nlm.nih.gov/pmc/blobs/e515/9093071/1939537ad0f3/fsurg-09-889753-g005.jpg

相似文献

1
Perioperative Management of Patient with Esophageal Carcinoma and Crigler-Najjar Syndrome Type 2: A Case Report.食管癌合并2型克里格勒-纳贾尔综合征患者的围手术期管理:一例报告
Front Surg. 2022 Apr 27;9:889753. doi: 10.3389/fsurg.2022.889753. eCollection 2022.
2
[Type I Crigler Najjar syndrome in Tunisia: a study of 30 cases].突尼斯的I型克里格勒-纳贾尔综合征:30例病例研究
Tunis Med. 2010 Oct;88(10):707-9.
3
Liver Transplantation in a Child With Crigler-Najjar Syndrome Type I: A Case Report With Review of the Literature.1型克里格勒-纳贾尔综合征患儿的肝移植:病例报告并文献复习
Cureus. 2023 Jul 18;15(7):e42064. doi: 10.7759/cureus.42064. eCollection 2023 Jul.
4
[Gilbert disease and type I and II Crigler-Najjar syndrome due to mutations in the same UGT1A1 gene locus].[由于同一UGT1A1基因座突变导致的吉尔伯特病及Ⅰ型和Ⅱ型克里格勒-纳贾尔综合征]
Med Klin (Munich). 2002 Sep 15;97(9):528-32. doi: 10.1007/s00063-002-1180-6.
5
Crigler-Najjar Syndrome Type II Diagnosed in a Patient with Jaundice Since Birth.一名自出生即患有黄疸的患者被诊断为II型克里格勒-纳贾尔综合征。
J Coll Physicians Surg Pak. 2018 Oct;28(10):806-808.
6
A rare case of Crigler-Najjar syndrome type 2: A case report and literature review.2型克里格勒-纳贾尔综合征罕见病例:病例报告及文献综述
Clin Case Rep. 2023 Nov 13;11(11):e8176. doi: 10.1002/ccr3.8176. eCollection 2023 Nov.
7
Case report: A rare case of pyruvate kinase deficiency and Crigler-Najjar syndrome type II with a novel pathogenic variant of and mutation.病例报告:一例罕见的丙酮酸激酶缺乏症合并II型克里格勒-纳贾尔综合征,伴有一种新的致病变体及突变。
Front Genet. 2023 Aug 21;14:1229271. doi: 10.3389/fgene.2023.1229271. eCollection 2023.
8
Type II Crigler-Najjar syndrome: a case report and literature review.II型克里格勒-纳贾尔综合征:一例病例报告及文献综述。
Front Med (Lausanne). 2024 May 9;11:1354514. doi: 10.3389/fmed.2024.1354514. eCollection 2024.
9
Disease burden of Crigler-Najjar syndrome: Systematic review and future perspectives.克里格勒-纳贾尔综合征的疾病负担:系统评价与未来展望。
J Gastroenterol Hepatol. 2020 Apr;35(4):530-543. doi: 10.1111/jgh.14853. Epub 2019 Oct 24.
10
A Rare Case Report of Crigler Najjar Syndrome Type II.一例罕见的II型克里格勒-纳贾尔综合征病例报告。
Cureus. 2021 Jan 12;13(1):e12669. doi: 10.7759/cureus.12669.

本文引用的文献

1
Combined Spinal and TAP Blocks for Laparoscopic Cholecystectomy for a Patient with Crigler-Najjar Type 2: A Case Report.
Niger J Clin Pract. 2020 Dec;23(12):1772-1775. doi: 10.4103/njcp.njcp_19_20.
2
Hybrid esophagectomy.杂交食管切除术
J Thorac Dis. 2019 Apr;11(Suppl 5):S723-S727. doi: 10.21037/jtd.2018.12.92.
3
Case report: multiple UGT1A1 gene variants in a patient with Crigler-Najjar syndrome.病例报告:克里格勒-纳贾尔综合征患者的多个 UGT1A1 基因突变。
BMC Pediatr. 2018 Oct 3;18(1):317. doi: 10.1186/s12887-018-1285-6.
4
Crigler-Najjar Syndrome Type II Diagnosed in a Patient with Jaundice Since Birth.一名自出生即患有黄疸的患者被诊断为II型克里格勒-纳贾尔综合征。
J Coll Physicians Surg Pak. 2018 Oct;28(10):806-808.
5
Acute cholangitis in an old patient with Crigler-Najjar syndrome type II - a case report.老年II型克里格勒-纳贾尔综合征患者的急性胆管炎——病例报告
BMC Gastroenterol. 2016 Mar 11;16:33. doi: 10.1186/s12876-016-0449-9.
6
Hereditary hyperbilirubinemias.遗传性高胆红素血症
Srp Arh Celok Lek. 2014 Mar-Apr;142(3-4):257-60. doi: 10.2298/sarh1404257r.
7
Gilbert and Crigler Najjar syndromes: an update of the UDP-glucuronosyltransferase 1A1 (UGT1A1) gene mutation database.吉尔伯特综合征和克里格勒-纳贾尔综合征:尿苷二磷酸葡萄糖醛酸基转移酶 1A1(UGT1A1)基因突变数据库的更新。
Blood Cells Mol Dis. 2013 Apr;50(4):273-80. doi: 10.1016/j.bcmd.2013.01.003. Epub 2013 Feb 9.
8
Impact of UGT1A1 gene variants on total bilirubin levels in Gilbert syndrome patients and in healthy subjects.UGT1A1 基因变异对 Gilbert 综合征患者和健康受试者总胆红素水平的影响。
Blood Cells Mol Dis. 2012 Mar 15;48(3):166-72. doi: 10.1016/j.bcmd.2012.01.004. Epub 2012 Feb 9.
9
Hyperbilirubinemia syndromes (Gilbert-Meulengracht, Crigler-Najjar, Dubin-Johnson, and Rotor syndrome).高胆红素血症综合征(吉尔伯特-梅利翁格拉夫、克里格勒-纳贾尔、杜宾-约翰逊和罗特综合征)。
Best Pract Res Clin Gastroenterol. 2010 Oct;24(5):555-71. doi: 10.1016/j.bpg.2010.07.007.
10
Association of polymorphisms in four bilirubin metabolism genes with serum bilirubin in three Asian populations.三个亚洲人群中四个胆红素代谢基因多态性与血清胆红素的关联
Hum Mutat. 2009 Apr;30(4):609-15. doi: 10.1002/humu.20895.