• 文献检索
  • 文档翻译
  • 深度研究
  • 学术资讯
  • Suppr Zotero 插件Zotero 插件
  • 邀请有礼
  • 套餐&价格
  • 历史记录
应用&插件
Suppr Zotero 插件Zotero 插件浏览器插件Mac 客户端Windows 客户端微信小程序
定价
高级版会员购买积分包购买API积分包
服务
文献检索文档翻译深度研究API 文档MCP 服务
关于我们
关于 Suppr公司介绍联系我们用户协议隐私条款
关注我们

Suppr 超能文献

核心技术专利:CN118964589B侵权必究
粤ICP备2023148730 号-1Suppr @ 2026

文献检索

告别复杂PubMed语法,用中文像聊天一样搜索,搜遍4000万医学文献。AI智能推荐,让科研检索更轻松。

立即免费搜索

文件翻译

保留排版,准确专业,支持PDF/Word/PPT等文件格式,支持 12+语言互译。

免费翻译文档

深度研究

AI帮你快速写综述,25分钟生成高质量综述,智能提取关键信息,辅助科研写作。

立即免费体验

散发型晚发性杆状体肌病的临床病理特征:抗α-辅肌动蛋白免疫染色的实际意义。

Clinicopathologic Profiles of Sporadic Late-Onset Nemaline Myopathy: Practical Importance of Anti-α-Actinin Immunostaining.

机构信息

From the Department of Neurology (B.Z., C.Z., L.L., Y.S., Y.Z., C.Y.), Qilu Hospital (Qingdao), Cheeloo College of Medicine, Shandong University; Research Institute of Neuromuscular and Neurodegenerative Diseases and Department of Neurology (T.D., D.Z., F.L., C.Y.), Qilu Hospital, Shandong University; Department of Medicine Experimental Center (X.M.), Qilu Hospital (Qingdao), Cheeloo College of Medicine, Shandong University; Key Laboratory of the Ministry of Education for Medicinal Resources and Natural Pharmaceutical Chemistry (Y.Y.), College of Life Sciences, Shanxi Normal University, Xi'an, China; Division of Neuropathology (J.-Q.L.), Department of Pathology and Molecular Medicine, McMaster University, Hamilton, Ontario, Canada; Mitochondrial Medicine Laboratory (C.Y.), Qilu Hospital (Qingdao); and Brain Science Research Institute (C.Y.), Shandong University, Jinan, China.

出版信息

Neurol Neuroimmunol Neuroinflamm. 2022 May 17;9(4). doi: 10.1212/NXI.0000000000001184. Print 2022 Jul.

DOI:10.1212/NXI.0000000000001184
PMID:35581006
原文链接:https://pmc.ncbi.nlm.nih.gov/articles/PMC9128036/
Abstract

BACKGROUND AND OBJECTIVES

Sporadic late-onset nemaline myopathy (SLONM) is a treatable or otherwise fatal myopathy. Diagnosis of SLONM is still challenging, and no therapeutic consensus has been achieved. Here, we reported the clinicopathologic features and long-term follow-up data of SLONM in a Chinese cohort.

METHODS

We performed a retrospective evaluation of clinical, pathologic, and treatment outcomes of 17 patients with SLONM diagnosed between March 1986 and April 2021 at our neuromuscular center. Immunohistochemistry (IHC) with antibodies against 5 Z-disc-associated proteins was performed in the muscle biopsies of SLONM to identify a potential pathologic marker in aid of diagnosis. In comparison, we also performed muscle IHC in patients with selective type II fiber atrophy (n = 22), neurogenic atrophy (n = 22), mitochondrial myopathy (n = 5), immune-mediated necrotizing myopathy (n = 5), and normal controls (n = 5).

RESULTS

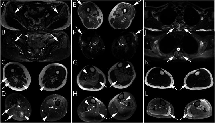
Most of the patients exhibited asymmetric limb muscles weakness (71%, 12/17) and neck extensor weakness (53%, 9/17). Immunofixation electrophoresis was performed in 11 patients, and 4 of them were identified with monoclonal gammopathy of undetermined significance (MGUS). EMG from 16 patients demonstrated a myopathic pattern with spontaneous activities in 69% (11/16) of them. Muscle MRI showed preferential involvement of paraspinal, gluteus minimus and medius, semimembranosus, and soleus muscles. Suspected nemaline bodies on modified Gomori trichrome were confirmed by IHC using anti-α-actinin antibody (100%, 17/17), anti-myotilin antibody (94%, 16/17), anti-desmin antibody (94%, 16/17), anti-α-B crystallin antibody (65%, 11/17), and anti-telethonin antibody (18%, 3/17) with various positive rates. Notably, anti-α-actinin IHC showed the highest percentage of strongly positive staining (77%, 13/17), being the only one without negative results. Moderate improvement following autologous stem cell transplantation (ASCT) was noted in 3/4 patients with MGUS; favorable outcomes were also achieved in 6/7 patients without MGUS, including 3 patients with complete recovery who were given a combined treatment of prednisone and another immunosuppressant.

DISCUSSION

SLONM is a treatable myopathy with ASCT or traditional immunotherapy, especially when combined with steroids and immunosuppressants. Anti-α-actinin immunostaining is the most reliable pathologic marker to identify rod-bearing fibers, and it should be performed routinely in adult patients with undiagnosed nonnecrotic myopathies.

摘要

背景与目的

散发性晚发性杆状体肌病(SLONM)是一种可治疗或致命的肌病。SLONM 的诊断仍然具有挑战性,并且尚未达成治疗共识。在此,我们报告了在中国队列中诊断的 17 例 SLONM 的临床病理特征和长期随访数据。

方法

我们对 1986 年 3 月至 2021 年 4 月在我们的神经肌肉中心诊断的 17 例 SLONM 患者的临床、病理和治疗结果进行了回顾性评估。对 SLONM 的肌肉活检进行了 5 种 Z 盘相关蛋白的免疫组化(IHC)检测,以鉴定潜在的病理标志物以辅助诊断。相比之下,我们还对选择性 II 型纤维萎缩(n=22)、神经源性萎缩(n=22)、线粒体肌病(n=5)、免疫介导的坏死性肌病(n=5)和正常对照组(n=5)的患者进行了肌肉 IHC。

结果

大多数患者表现为不对称性肢体肌肉无力(71%,12/17)和颈部伸肌无力(53%,9/17)。11 例患者进行了免疫固定电泳,其中 4 例被确定为意义未明的单克隆丙种球蛋白血症(MGUS)。16 例患者的肌电图显示肌病模式,其中 69%(11/16)有自发性活动。肌肉 MRI 显示脊柱旁、臀小肌和中肌、半膜肌和比目鱼肌优先受累。改良 Gomori 三色染色上可疑的杆状体用抗α-肌动蛋白抗体(100%,17/17)、抗肌球蛋白抗体(94%,16/17)、抗结蛋白抗体(94%,16/17)、抗α-B 晶体蛋白抗体(65%,11/17)和抗 telethonin 抗体(18%,3/17)进行免疫组化确认,阳性率各不相同。值得注意的是,抗α-肌动蛋白 IHC 显示出最高比例的强阳性染色(77%,13/17),是唯一没有阴性结果的染色。4 例 MGUS 患者中有 3 例接受自体干细胞移植(ASCT)后有中度改善;7 例无 MGUS 患者中也取得了良好的结果,包括 3 例完全恢复的患者,他们接受了泼尼松和另一种免疫抑制剂的联合治疗。

讨论

SLONM 是一种可治疗的肌病,可采用 ASCT 或传统免疫治疗,尤其是与皮质类固醇和免疫抑制剂联合使用时。抗α-肌动蛋白免疫染色是鉴定杆状纤维最可靠的病理标志物,应常规用于诊断不明的非坏死性肌病的成年患者。

https://cdn.ncbi.nlm.nih.gov/pmc/blobs/d7d0/9128036/5faa335bfe42/NEURIMMINFL2021039609f4.jpg
https://cdn.ncbi.nlm.nih.gov/pmc/blobs/d7d0/9128036/0bd5edd8f445/NEURIMMINFL2021039609f1.jpg
https://cdn.ncbi.nlm.nih.gov/pmc/blobs/d7d0/9128036/ab9dbd22b707/NEURIMMINFL2021039609f2.jpg
https://cdn.ncbi.nlm.nih.gov/pmc/blobs/d7d0/9128036/0422c1f81360/NEURIMMINFL2021039609f3.jpg
https://cdn.ncbi.nlm.nih.gov/pmc/blobs/d7d0/9128036/5faa335bfe42/NEURIMMINFL2021039609f4.jpg
https://cdn.ncbi.nlm.nih.gov/pmc/blobs/d7d0/9128036/0bd5edd8f445/NEURIMMINFL2021039609f1.jpg
https://cdn.ncbi.nlm.nih.gov/pmc/blobs/d7d0/9128036/ab9dbd22b707/NEURIMMINFL2021039609f2.jpg
https://cdn.ncbi.nlm.nih.gov/pmc/blobs/d7d0/9128036/0422c1f81360/NEURIMMINFL2021039609f3.jpg
https://cdn.ncbi.nlm.nih.gov/pmc/blobs/d7d0/9128036/5faa335bfe42/NEURIMMINFL2021039609f4.jpg

相似文献

1
Clinicopathologic Profiles of Sporadic Late-Onset Nemaline Myopathy: Practical Importance of Anti-α-Actinin Immunostaining.散发型晚发性杆状体肌病的临床病理特征:抗α-辅肌动蛋白免疫染色的实际意义。
Neurol Neuroimmunol Neuroinflamm. 2022 May 17;9(4). doi: 10.1212/NXI.0000000000001184. Print 2022 Jul.
2
Inflammatory features in sporadic late-onset nemaline myopathy are independent from monoclonal gammopathy.散发性晚发性杆状体肌病的炎症特征与单克隆丙种球蛋白无关。
Brain Pathol. 2021 May;31(3):e12962. doi: 10.1111/bpa.12962.
3
Sporadic late-onset nemaline myopathy: clinico-pathological characteristics and review of 76 cases.散发性迟发性杆状体肌病:76例临床病理特征及文献复习
Orphanet J Rare Dis. 2017 May 11;12(1):86. doi: 10.1186/s13023-017-0640-2.
4
[Two cases of sporadic late onset nemaline myopathy effectively treated with immunotherapy].[两例散发性晚发型杆状体肌病经免疫治疗有效]
Rinsho Shinkeigaku. 2016 Sep 29;56(9):605-11. doi: 10.5692/clinicalneurol.cn-000893. Epub 2016 Aug 31.
5
Sporadic Late-Onset Nemaline Myopathy: Current Landscape.散发性迟发性杆状体肌病:现状。
Curr Neurol Neurosci Rep. 2023 Nov;23(11):777-784. doi: 10.1007/s11910-023-01311-0. Epub 2023 Oct 19.
6
Sporadic late-onset nemaline myopathy: clinical, pathology and imaging findings in a single center cohort.散发性迟发性杆状体肌病:单中心队列的临床、病理和影像学发现。
J Neurol. 2018 Mar;265(3):542-551. doi: 10.1007/s00415-018-8741-y. Epub 2018 Jan 22.
7
A case of sporadic late-onset nemaline myopathy with monoclonal gammopathy of undetermined significance: long-term observation of neurological symptoms after autologous stem-cell transplantation.散发型晚发性杆状体肌病伴意义未明的单克隆丙种球蛋白血症 1 例:自体造血干细胞移植后神经症状的长期观察。
Nagoya J Med Sci. 2021 Aug;83(3):641-647. doi: 10.18999/nagjms.83.3.641.
8
Sporadic late-onset nemaline myopathy with monoclonal gammopathy of undetermined significance (SLONM-MGUS): An alternative treatment using cyclophosphamide-thalidomide-dexamethasone (CTD) regimen.散发型迟发性肌病伴意义未明的单克隆丙种球蛋白血症(SLONM-MGUS):使用环磷酰胺-沙利度胺-地塞米松(CTD)方案的一种替代治疗方法。
Neuromuscul Disord. 2018 Jul;28(7):610-613. doi: 10.1016/j.nmd.2018.04.011. Epub 2018 May 16.
9
Sporadic late-onset nemaline myopathy with monoclonal gammopathy of undetermined significance.散发性迟发性杆状体肌病伴意义未明的单克隆丙种球蛋白病。
Curr Opin Neurol. 2017 Oct;30(5):457-463. doi: 10.1097/WCO.0000000000000477.
10
Sporadic late-onset nemaline myopathy with monoclonal gammopathy of undetermined significance: Report of four patients.散发型迟发性杆状体肌病伴意义未明的单克隆丙种球蛋白血症:4 例报告。
Neuromuscul Disord. 2021 Jan;31(1):29-34. doi: 10.1016/j.nmd.2020.11.004. Epub 2020 Nov 12.

引用本文的文献

1
Vacuolar myopathy with monoclonal gammopathy and stiffness (VAMMGAS).伴有单克隆丙种球蛋白病和僵硬的空泡性肌病(VAMMGAS)
Eur J Neurol. 2025 Jan;32(1):e70026. doi: 10.1111/ene.70026.
2
Late-onset myopathy responsive to immunomodulatory treatment: sporadic late-onset nemaline myopathy without nemaline rods?对免疫调节治疗有反应的迟发性肌病:无杆状体的散发性迟发性杆状体肌病?
BMJ Neurol Open. 2024 Nov 14;6(2):e000892. doi: 10.1136/bmjno-2024-000892. eCollection 2024.
3
Sporadic Late-onset Nemaline Myopathy Associated with Sjögren's Syndrome.

本文引用的文献

1
Update on Intravenous Immunoglobulin in Neurology: Modulating Neuro-autoimmunity, Evolving Factors on Efficacy and Dosing and Challenges on Stopping Chronic IVIg Therapy.神经病学中静脉注射免疫球蛋白的最新进展:调节神经自身免疫、疗效和剂量的变化因素以及停止慢性 IVIg 治疗的挑战。
Neurotherapeutics. 2021 Oct;18(4):2397-2418. doi: 10.1007/s13311-021-01108-4. Epub 2021 Nov 11.
2
Inflammatory features in sporadic late-onset nemaline myopathy are independent from monoclonal gammopathy.散发性晚发性杆状体肌病的炎症特征与单克隆丙种球蛋白无关。
Brain Pathol. 2021 May;31(3):e12962. doi: 10.1111/bpa.12962.
3
Noteworthy Cardiovascular Involvement with Sporadic Late-onset Nemaline Myopathy.
与干燥综合征相关的散发性迟发性杆状体肌病
Intern Med. 2024 Oct 1;63(19):2683-2687. doi: 10.2169/internalmedicine.3092-23. Epub 2024 Mar 4.
4
Molecular signatures of inherited and acquired sporadic late onset nemaline myopathies.遗传性和获得性散发性迟发性杆状体肌病的分子特征。
Acta Neuropathol Commun. 2023 Jan 26;11(1):20. doi: 10.1186/s40478-023-01518-9.
5
Case Report: Prenatal Diagnosis of Nemaline Myopathy.病例报告:胎儿期诊断杆状体肌病
Front Pediatr. 2022 Jul 19;10:937668. doi: 10.3389/fped.2022.937668. eCollection 2022.
散发性晚发性杆状体肌病的显著心血管受累。
Intern Med. 2021 Jul 15;60(14):2327-2332. doi: 10.2169/internalmedicine.6068-20. Epub 2021 Feb 22.
4
What is the best treatment approach for sporadic late-onset nemaline myopathy associated with "monoclonal gammopathy of neurological significance"?与“具有神经学意义的单克隆丙种球蛋白病”相关的散发性迟发性杆状体肌病的最佳治疗方法是什么?
Int J Cancer. 2021 Jun 1;148(11):2638-2639. doi: 10.1002/ijc.33491. Epub 2021 Feb 12.
5
Sporadic late-onset nemaline myopathy: a case report of a treatable cause of cardiac failure.散发性迟发性杆状体肌病:一例心力衰竭可治疗病因的病例报告。
Eur Heart J Case Rep. 2020 Dec 22;5(1):ytaa480. doi: 10.1093/ehjcr/ytaa480. eCollection 2021 Jan.
6
Chemotherapy-based approach is the preferred treatment for sporadic late-onset nemaline myopathy with a monoclonal protein.基于化疗的方法是治疗伴有单克隆蛋白的散发性迟发性杆状体肌病的首选方法。
Int J Cancer. 2021 Jun 1;148(11):2807-2814. doi: 10.1002/ijc.33483. Epub 2021 Feb 12.
7
Sporadic late-onset nemaline myopathy with monoclonal gammopathy of undetermined significance: Report of four patients.散发型迟发性杆状体肌病伴意义未明的单克隆丙种球蛋白血症:4 例报告。
Neuromuscul Disord. 2021 Jan;31(1):29-34. doi: 10.1016/j.nmd.2020.11.004. Epub 2020 Nov 12.
8
Sporadic late onset nemaline myopathy with monoclonal gammopathy of undetermined significance: two cases with long term stability.散发型迟发性杆状体肌病合并意义未明的单克隆丙种球蛋白病:两例长期病情稳定的病例
Eur J Transl Myol. 2020 Sep 16;30(3):9225. doi: 10.4081/ejtm.2020.9225. eCollection 2020 Sep 30.
9
Nemaline myopathies: a current view.先天性肌营养不良症:现状观点。
J Muscle Res Cell Motil. 2019 Jun;40(2):111-126. doi: 10.1007/s10974-019-09519-9. Epub 2019 Jun 21.
10
Sporadic late-onset nemaline myopathy: Clinical spectrum, survival, and treatment outcomes.散发性晚发性杆状体肌病:临床谱、生存和治疗结果。
Neurology. 2019 Jul 16;93(3):e298-e305. doi: 10.1212/WNL.0000000000007777. Epub 2019 Jun 5.