Suppr超能文献

生殖道上行感染接种生殖支原体的豚尾猴。

Ascending Reproductive Tract Infection in Pig-Tailed Macaques Inoculated with Mycoplasma genitalium.

机构信息

Department of Medicine, Division of Allergy and Infectious Diseases, University of Washingtongrid.34477.33, Seattle, Washington, USA.

Department of Obstetrics and Gynecology, University of Washingtongrid.34477.33, Seattle, Washington, USA.

出版信息

Infect Immun. 2022 Jun 16;90(6):e0013122. doi: 10.1128/iai.00131-22. Epub 2022 May 18.

Abstract

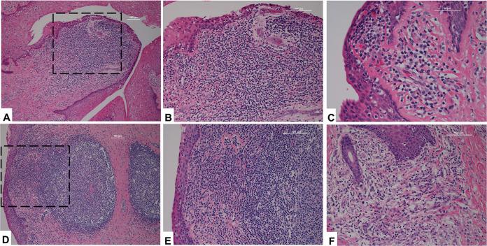
Mycoplasma genitalium is a sexually transmitted bacterial pathogen that causes urogenital disease in men and women. M. genitalium infections can persist for months to years and can ascend to the upper reproductive tract in women where it is associated with serious sequelae including pelvic inflammatory disease, tubal factor infertility, and preterm birth. An animal model is needed to understand immune evasion strategies that allow persistence, mechanisms of ascending infection, and factors associated with clearance. In earlier studies, we determined that pig-tailed macaques are susceptible to cervical infection; however, not all primates were successfully infected, persistence varied between animals, and ascension to the upper reproductive tract was not observed after 4 or 8 weeks of follow-up. Building on our previous findings, we refined our inoculation methods to increase infection rates, extended observation to 18 weeks, and comprehensively sampled the upper reproductive tract to detect ascending infection. With these improvements, we established infection in all (3/3) primates inoculated with M. genitalium and demonstrated lower tract persistence for 16 to 18 weeks. Ascension to the upper reproductive tract at endpoint was observed in two out of three primates. All three primates developed serum and local antibodies reacting primarily to the MgpB and MgpC adherence proteins. Elevated genital polymorphonuclear leukocytes (PMNs) and inflammatory cytokines and chemokines, erythema of the ectocervix in one primate, and histologic evidence of vaginitis and endocervicitis in two primates suggest a mild to moderate inflammatory response to infection. This model will be valuable to understand the natural history of M. genitalium infection including mechanisms of persistence, immune evasion, and ascension to the upper reproductive tract.

摘要

生殖道支原体是一种性传播的细菌病原体,可导致男性和女性泌尿生殖系统疾病。生殖道支原体感染可持续数月至数年,并可向上生殖道蔓延,在女性中与严重的后遗症相关,包括盆腔炎、输卵管性不孕和早产。需要建立动物模型来了解允许持续存在的免疫逃避策略、上行感染的机制以及与清除相关的因素。在早期研究中,我们确定了长尾猕猴易受宫颈感染;然而,并非所有灵长类动物都成功感染,动物之间的持续时间存在差异,并且在 4 或 8 周的随访后没有观察到向上生殖道的蔓延。在我们之前的研究结果的基础上,我们改进了接种方法以提高感染率,将观察时间延长至 18 周,并全面采样上生殖道以检测上行感染。通过这些改进,我们成功感染了所有(3/3)接种生殖道支原体的灵长类动物,并在 16 至 18 周时证明了下生殖道的持续存在。在三分之二的灵长类动物中观察到了上行感染到上生殖道。所有三只灵长类动物都产生了血清和局部抗体,主要针对 MgpB 和 MgpC 黏附蛋白。生殖道多形核白细胞(PMN)和炎症细胞因子和趋化因子升高,一只灵长类动物的外宫颈红斑,以及两只灵长类动物的阴道炎和宫颈炎的组织学证据表明,感染引起了轻度至中度炎症反应。该模型将有助于了解生殖道支原体感染的自然史,包括持续存在、免疫逃避和向上生殖道蔓延的机制。

https://cdn.ncbi.nlm.nih.gov/pmc/blobs/e9ba/9202418/afdbc3080815/iai.00131-22-f001.jpg

文献AI研究员

20分钟写一篇综述,助力文献阅读效率提升50倍。

立即体验

用中文搜PubMed

大模型驱动的PubMed中文搜索引擎

马上搜索

文档翻译

学术文献翻译模型,支持多种主流文档格式。

立即体验