Suppr超能文献

唇黏膜印迹细胞学与共聚焦显微镜检查与唇腺活检及临床可疑原发性干燥综合征分类标准的比较。

Impression Cytology and Confocal Microscopy of Lip Mucosa Compared With Labial Gland Biopsy and Classification Criteria In Patients With Clinically Suspected Primary Sjögren's Syndrome.

机构信息

Department of Ophthalmology, Peking University Third Hospital, Beijing, China.

Beijing Key Laboratory of Restoration of Damaged Ocular Nerve, Peking University Third Hospital, Beijing, China.

出版信息

Front Immunol. 2022 May 2;13:829320. doi: 10.3389/fimmu.2022.829320. eCollection 2022.

Abstract

PURPOSE

The study assessed the validity of impression cytology (IC) and confocal microscopy (IVCM) of lip mucosa compared with labial gland biopsy, anti-Sjögren's syndrome A (SSA)/Ro antibody status, and classification criteria in suspected primary Sjögren's syndrome (pSS) patients.

METHODS

Clinically suspected pSS patients (n = 201) were enrolled consecutively and were divided into pSS (n = 56) and control (n = 145, only with dryness) groups according to the American College of Rheumatology-European League Against Rheumatism (ACR-EULAR) criteria. All patients underwent lip mucosa IC (inflammatory cell density) and IVCM (epithelium/intrinsic layer thickness and labial gland density/diameter) analyses. The associations between IC/IVCM parameters and clinical/laboratory results were analyzed.

RESULTS

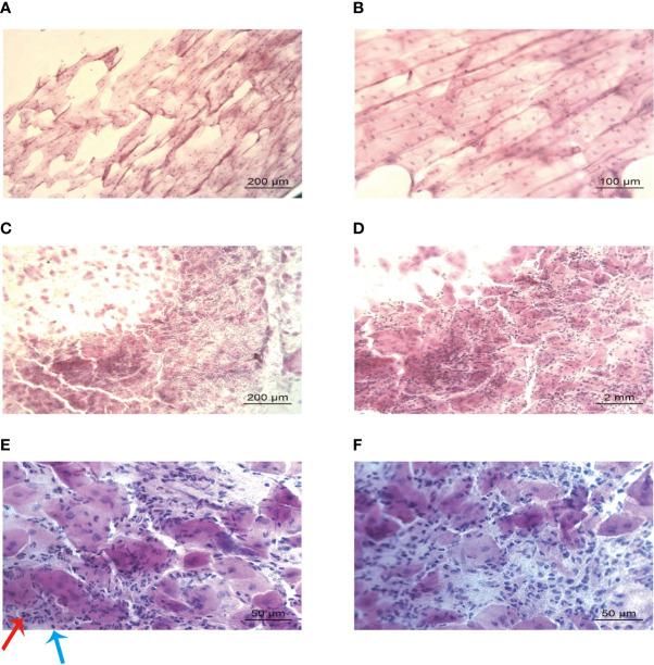
The absolute agreement between positive lip mucosal IC (≥50 cells/4 mm) and the ACR-EULAR criteria (94.5%)/labial gland biopsy (95.5%) was good, with sensitivities of 82.1 and 85.2%, respectively, and a specificity of 99.3%. Compared with controls, IVCM revealed significant lip mucosal atrophy and glandular decreases in the pSS group (all = 0.000). The sensitivities for diagnosing pSS corresponding to a lamina propria thickness ≤128 μm and a gland diameter ≤114 μm were 85.7 and 89.3%; the specificities were 90.3 and 95.9%, respectively. A combination of positive IC/IVCM and anti-SSA/Ro antibody results showed a high predictive value for diagnosing pSS.

CONCLUSIONS

IC and IVCM could detect distinctive cellular and morphological changes in the lip mucosa of patients with pSS. These noninvasive and easy-to-perform examinations may be an alternative to labial gland biopsy for diagnosing pSS.

摘要

目的

本研究评估了唇黏膜印片细胞学(IC)和共聚焦显微镜(IVCM)与唇腺活检、抗 Sjögren 综合征 A(SSA)/Ro 抗体状态以及疑似原发性 Sjögren 综合征(pSS)患者分类标准的相关性。

方法

连续纳入临床疑似 pSS 患者(n=201),根据美国风湿病学会-欧洲抗风湿病联盟(ACR-EULAR)标准将其分为 pSS 组(n=56)和对照组(n=145,仅有干燥症状)。所有患者均接受唇黏膜 IC(炎症细胞密度)和 IVCM(上皮/固有层厚度和唇腺密度/直径)分析。分析 IC/IVCM 参数与临床/实验室结果之间的相关性。

结果

阳性唇黏膜 IC(≥50 个细胞/4mm)与 ACR-EULAR 标准(94.5%)/唇腺活检(95.5%)的绝对一致性较好,其敏感性分别为 82.1%和 85.2%,特异性为 99.3%。与对照组相比,pSS 组 IVCM 显示明显的唇黏膜萎缩和腺体减少(均 P<0.000)。当固有层厚度≤128μm和腺体直径≤114μm 时,诊断 pSS 的敏感性分别为 85.7%和 89.3%;特异性分别为 90.3%和 95.9%。阳性 IC/IVCM 与抗 SSA/Ro 抗体结果的联合具有较高的诊断 pSS 价值。

结论

IC 和 IVCM 可检测到 pSS 患者唇黏膜的独特细胞和形态学变化。这些非侵入性且易于进行的检查可能是唇腺活检诊断 pSS 的替代方法。

https://cdn.ncbi.nlm.nih.gov/pmc/blobs/9f63/9108247/64695ea4e527/fimmu-13-829320-g001.jpg

文献检索

告别复杂PubMed语法,用中文像聊天一样搜索,搜遍4000万医学文献。AI智能推荐,让科研检索更轻松。

立即免费搜索

文件翻译

保留排版,准确专业,支持PDF/Word/PPT等文件格式,支持 12+语言互译。

免费翻译文档

深度研究

AI帮你快速写综述,25分钟生成高质量综述,智能提取关键信息,辅助科研写作。

立即免费体验