Dvorak Pavel, Knybel Lukas, Dudas Denis, Benyskova Pavla, Cvek Jakub
Department of Oncology, University Hospital Ostrava, Ostrava, Czechia.
Department of Radiation Protection, General University Hospital Prague, Praha, Czechia.
Front Cardiovasc Med. 2022 May 2;9:870127. doi: 10.3389/fcvm.2022.870127. eCollection 2022.
Stereotactic arrhythmia radioablation (STAR) has been suggested as a promising therapeutic alternative in cases of failed catheter ablation for recurrent ventricular tachycardias in patients with structural heart disease. Cyberknife robotic radiosurgery system utilizing target tracking technology is one of the available STAR treatment platforms. Tracking using implantable cardioverter-defibrillator lead tip as target surrogate marker is affected by the deformation of marker-target geometry. A simple method to account for the deformation in the target definition process is proposed.
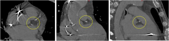
Radiotherapy planning CT series include scans at expiration and inspiration breath hold, and three free-breathing scans. All secondary series are triple registered to the primary CT: 6D/spine + 3D translation/marker + 3D translation/target surrogate-a heterogeneous structure around the left main coronary artery. The 3D translation difference between the last two registrations reflects the deformation between the marker and the target (surrogate) for the respective respiratory phase. Maximum translation differences in each direction form an anisotropic geometry deformation margin (GDM) to expand the initial single-phase clinical target volume (CTV) to create an internal target volume (ITV) in the dynamic coordinates of the marker. Alternative GDM-based target volumes were created for seven recent STAR patients and compared to the original treated planning target volumes (PTVs) as well as to analogical volumes created using deformable image registration (DIR) by MIM and Velocity software. Intra- and inter-observer variabilities of the triple registration process were tested as components of the final ITV to PTV margin.
A margin of 2 mm has been found to cover the image registration observer variability. GDM-based target volumes are larger and shifted toward the inspiration phase relative to the original clinical volumes based on a 3-mm isotropic margin without deformation consideration. GDM-based targets are similar (mean DICE similarity coefficient range 0.80-0.87) to their equivalents based on the DIR of the primary target volume delineated by dedicated software.
The proposed GDM method is a simple way to account for marker-target deformation-related uncertainty for tracking with Cyberknife and better control of the risk of target underdose. The principle applies to general radiotherapy as well.
对于患有结构性心脏病的复发性室性心动过速患者,导管消融失败时,立体定向心律失常射频消融术(STAR)被认为是一种有前景的治疗选择。利用目标跟踪技术的射波刀机器人放射外科系统是现有的STAR治疗平台之一。使用植入式心脏复律除颤器导线尖端作为目标替代标志物进行跟踪会受到标志物 - 目标几何形状变形的影响。本文提出了一种在目标定义过程中考虑变形的简单方法。
放射治疗计划CT系列包括呼气和吸气屏气扫描以及三次自由呼吸扫描。所有二级系列都与初级CT进行三次配准:6D/脊柱 + 3D平移/标志物 + 3D平移/目标替代物(左主冠状动脉周围的异质结构)。最后两次配准之间的3D平移差异反映了各个呼吸阶段标志物与目标(替代物)之间的变形。每个方向上的最大平移差异形成一个各向异性的几何变形边界(GDM),以扩展初始单相临床靶体积(CTV),从而在标志物的动态坐标中创建内部靶体积(ITV)。为最近的7例STAR患者创建了基于GDM的替代靶体积,并将其与原始治疗计划靶体积(PTV)以及使用MIM和Velocity软件通过可变形图像配准(DIR)创建的类似体积进行比较。将三次配准过程的观察者内和观察者间变异性作为最终ITV到PTV边界的组成部分进行测试。
已发现2mm的边界可覆盖图像配准观察者变异性。基于GDM的靶体积更大,并且相对于基于未考虑变形的3mm各向同性边界的原始临床体积向吸气阶段偏移。基于GDM的靶标与其通过专用软件勾勒的初级靶体积的DIR等效物相似(平均DICE相似系数范围为0.80 - 0.87)。
所提出的GDM方法是一种简单的方法,可用于考虑与射波刀跟踪相关的标志物 - 目标变形相关的不确定性,并更好地控制靶区剂量不足的风险。该原理也适用于一般放射治疗。