Suppr超能文献

SHED 衍生的外泌体通过刺激巨噬细胞自噬促进 LPS 诱导的伤口愈合,减少瘙痒。

SHED-derived exosomes promote LPS-induced wound healing with less itching by stimulating macrophage autophagy.

机构信息

Hospital of Stomatology, Guanghua School of Stomatology, Sun Yat-Sen University, Guangdong Provincial Key Laboratory of Stomatology, 56 Lingyuanxi Road, Guangzhou, 510055, People's Republic of China.

出版信息

J Nanobiotechnology. 2022 May 21;20(1):239. doi: 10.1186/s12951-022-01446-1.

Abstract

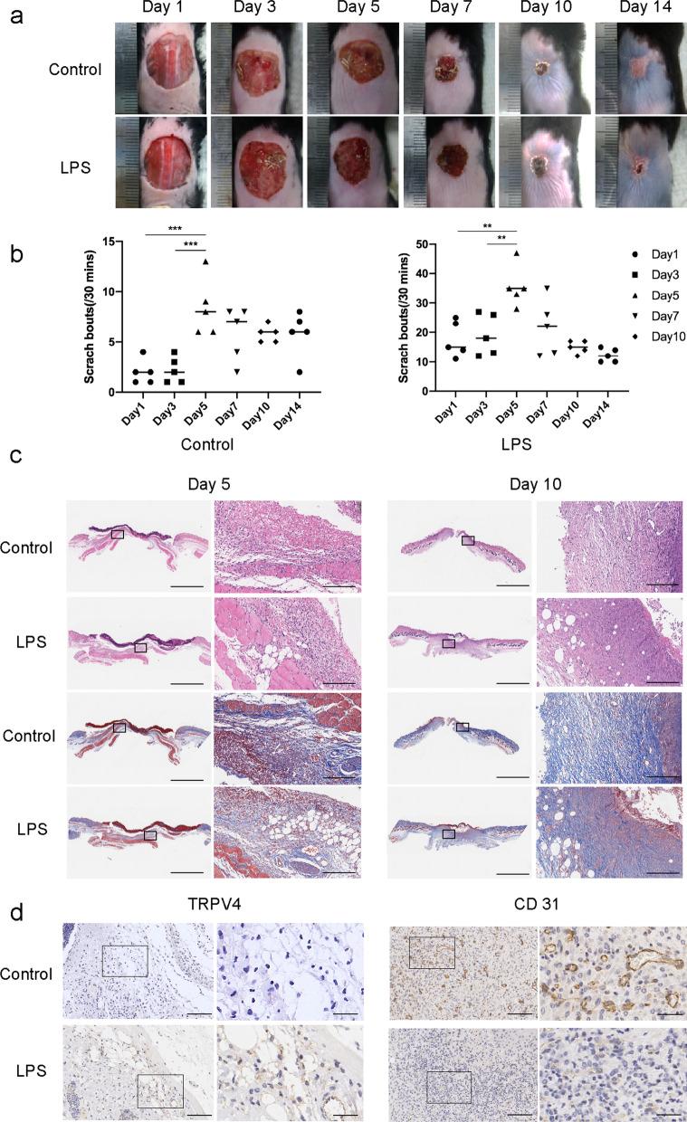
High-quality cutaneous wound healing is associated with rapid wound closure and a comfortable healing process. Currently, exosomes derived from mesenchymal stem cells displayed a prominent therapeutic effect on skin wound closure. But the therapeutic approaches for wound itching are very limited in clinical. Stem cells from human exfoliated deciduous teeth (SHED) may offer a unique exosome resource for cell-free therapeutics in potential clinical applications. Here, we investigated the common mechanisms underlying wound closure and unpleasant sensation of itching, focusing on the contribution of the SHED-derived exosome to immune response and wound itching during healing. The effects of SHED-derived exosomes on inflammatory wound healing were examined using lipopolysaccharide (LPS)-induced wounds in a mouse model. We found prolonged inflammation and distinct itch responses in skin wound tissue during LPS-induced wound healing. SHED-derived exosomes facilitated LPS-induced wound closure and relieved wound itching. Therefore, they are ideal for the treatment of wound healing. Macrophages in skin wound tissues are responsible for autophagy during wound healing. Macrophage autophagy also regulates cell proliferation, migration, and neuronal signal transduction in vitro. SHED-derived exosomes containing miR-1246 enhanced autophagy by regulating macrophage function through the AKT, ERK1/2, and STAT3 signaling pathways. Thus, SHED-derived exosomes promote wound healing with less itching in an LPS-induced wound model by stimulating macrophage autophagy, which has implications for the treatment of inflammatory wound healing.

摘要

高质量的皮肤伤口愈合与快速的伤口闭合和舒适的愈合过程有关。目前,间充质干细胞来源的外泌体对皮肤伤口闭合显示出显著的治疗效果。但在临床中,治疗伤口瘙痒的方法非常有限。人脱落乳牙来源的干细胞 (SHED) 可能为无细胞治疗提供独特的外泌体资源,具有潜在的临床应用价值。在这里,我们研究了伤口闭合和瘙痒不适感觉的共同机制,重点关注 SHED 来源的外泌体对愈合过程中免疫反应和伤口瘙痒的贡献。我们使用脂多糖 (LPS) 诱导的小鼠模型研究了 SHED 来源的外泌体对炎症性伤口愈合的影响。我们发现,在 LPS 诱导的伤口愈合过程中,皮肤伤口组织中存在持续的炎症和明显的瘙痒反应。SHED 来源的外泌体促进 LPS 诱导的伤口闭合并缓解伤口瘙痒。因此,它们是治疗伤口愈合的理想选择。皮肤伤口组织中的巨噬细胞负责伤口愈合过程中的自噬。体外巨噬细胞自噬还调节细胞增殖、迁移和神经元信号转导。SHED 来源的外泌体通过 AKT、ERK1/2 和 STAT3 信号通路调节巨噬细胞功能,从而含有 miR-1246 增强自噬。因此,SHED 来源的外泌体通过刺激巨噬细胞自噬促进 LPS 诱导的伤口模型中的伤口愈合,同时减少瘙痒,这对治疗炎症性伤口愈合具有重要意义。

https://cdn.ncbi.nlm.nih.gov/pmc/blobs/3bbc/9124392/9f99438ac59b/12951_2022_1446_Fig1_HTML.jpg

文献检索

告别复杂PubMed语法,用中文像聊天一样搜索,搜遍4000万医学文献。AI智能推荐,让科研检索更轻松。

立即免费搜索

文件翻译

保留排版,准确专业,支持PDF/Word/PPT等文件格式,支持 12+语言互译。

免费翻译文档

深度研究

AI帮你快速写综述,25分钟生成高质量综述,智能提取关键信息,辅助科研写作。

立即免费体验