• 文献检索
  • 文档翻译
  • 深度研究
  • 学术资讯
  • Suppr Zotero 插件Zotero 插件
  • 邀请有礼
  • 套餐&价格
  • 历史记录
应用&插件
Suppr Zotero 插件Zotero 插件浏览器插件Mac 客户端Windows 客户端微信小程序
定价
高级版会员购买积分包购买API积分包
服务
文献检索文档翻译深度研究API 文档MCP 服务
关于我们
关于 Suppr公司介绍联系我们用户协议隐私条款
关注我们

Suppr 超能文献

核心技术专利:CN118964589B侵权必究
粤ICP备2023148730 号-1Suppr @ 2026

文献检索

告别复杂PubMed语法,用中文像聊天一样搜索,搜遍4000万医学文献。AI智能推荐,让科研检索更轻松。

立即免费搜索

文件翻译

保留排版,准确专业,支持PDF/Word/PPT等文件格式,支持 12+语言互译。

免费翻译文档

深度研究

AI帮你快速写综述,25分钟生成高质量综述,智能提取关键信息,辅助科研写作。

立即免费体验

网状皮疹作为5-氮杂胞苷的一种不良反应

Reticular Skin Rash as an Adverse Effect of 5-Azacitidine.

作者信息

Verma Parul, Chandra Usha, Shukla Prakriti, Verma Shailendra P, Suvirya Swastika

机构信息

Department of Dermatology, Venereology and Leprosy, King George's Medical University, Lucknow, IND.

Department of Dermatology, Venereology and Leprosy, Lala Lajpat Rai Medical College, Meerut, IND.

出版信息

Cureus. 2022 Apr 18;14(4):e24228. doi: 10.7759/cureus.24228. eCollection 2022 Apr.

DOI:10.7759/cureus.24228
PMID:35602804
原文链接:https://pmc.ncbi.nlm.nih.gov/articles/PMC9117846/
Abstract

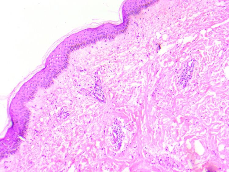
Azacitidine is a hypomethylating agent used for the treatment of patients with myelodysplastic syndrome (MDS). It has been approved by the Food and Drug Administration (FDA) and the European Medicines Agency for the treatment of MDS and is also indicated for the treatment of acute myeloid leukemia (AML). Injection site erythema, ecchymosis, and petechiae are some of the common cutaneous adverse reactions associated with azacitidine. This article describes a rare adverse cutaneous drug reaction with azacitidine in the form of a reticular generalized skin rash in a 28-year-old female with AML.

摘要

阿扎胞苷是一种用于治疗骨髓增生异常综合征(MDS)患者的去甲基化药物。它已获得美国食品药品监督管理局(FDA)和欧洲药品管理局批准用于治疗MDS,也被用于治疗急性髓系白血病(AML)。注射部位红斑、瘀斑和瘀点是与阿扎胞苷相关的一些常见皮肤不良反应。本文描述了一名28岁AML女性患者出现的罕见的阿扎胞苷所致皮肤药物不良反应,表现为全身性网状皮疹。

https://cdn.ncbi.nlm.nih.gov/pmc/blobs/f85a/9117846/cce52ff76a43/cureus-0014-00000024228-i02.jpg
https://cdn.ncbi.nlm.nih.gov/pmc/blobs/f85a/9117846/fcc04405a7fd/cureus-0014-00000024228-i01.jpg
https://cdn.ncbi.nlm.nih.gov/pmc/blobs/f85a/9117846/cce52ff76a43/cureus-0014-00000024228-i02.jpg
https://cdn.ncbi.nlm.nih.gov/pmc/blobs/f85a/9117846/fcc04405a7fd/cureus-0014-00000024228-i01.jpg
https://cdn.ncbi.nlm.nih.gov/pmc/blobs/f85a/9117846/cce52ff76a43/cureus-0014-00000024228-i02.jpg

相似文献

1
Reticular Skin Rash as an Adverse Effect of 5-Azacitidine.网状皮疹作为5-氮杂胞苷的一种不良反应
Cureus. 2022 Apr 18;14(4):e24228. doi: 10.7759/cureus.24228. eCollection 2022 Apr.
2
Cutaneous adverse events induced by azacitidine in myelodysplastic syndrome patients: Case reports and a lesson from published work review.阿扎胞苷诱导骨髓增生异常综合征患者皮肤不良反应:病例报告及文献复习的启示。
J Dermatol. 2020 Apr;47(4):363-368. doi: 10.1111/1346-8138.15264. Epub 2020 Feb 13.
3
Single-center pediatric experience with venetoclax and azacitidine as treatment for myelodysplastic syndrome and acute myeloid leukemia.单中心儿科应用维奈托克联合阿扎胞苷治疗骨髓增生异常综合征和急性髓系白血病的经验。
Pediatr Blood Cancer. 2020 Oct;67(10):e28398. doi: 10.1002/pbc.28398. Epub 2020 Jul 31.
4
Azacitidine: A Review in Myelodysplastic Syndromes and Acute Myeloid Leukaemia.阿扎胞苷:在骨髓增生异常综合征和急性髓系白血病中的综述。
Drugs. 2016 May;76(8):889-900. doi: 10.1007/s40265-016-0585-0.
5
The efficacy and adverse events of venetoclax in combination with hypomethylating agents treatment for patients with acute myeloid leukemia and myelodysplastic syndrome: a systematic review and meta-analysis.venetoclax 联合低甲基化药物治疗急性髓系白血病和骨髓增生异常综合征患者的疗效和不良事件:系统评价和荟萃分析。
Hematology. 2020 Dec;25(1):414-423. doi: 10.1080/16078454.2020.1843752.
6
Real Life Data on Efficacy and Safety of Azacitidine Therapy for Myelodysplastic Syndrome, Chronic Myelomonocytic Leukemia and Acute Myeloid Leukemia.真实世界中阿扎胞苷治疗骨髓增生异常综合征、慢性粒单核细胞白血病和急性髓系白血病的疗效和安全性数据。
Pathol Oncol Res. 2019 Jul;25(3):1175-1180. doi: 10.1007/s12253-018-00574-0. Epub 2019 Jan 6.
7
Azacitidine: a review of its use in the management of myelodysplastic syndromes/acute myeloid leukaemia.阿扎胞苷:在骨髓增生异常综合征/急性髓系白血病治疗中的应用评价。
Drugs. 2012 May 28;72(8):1111-36. doi: 10.2165/11209430-000000000-00000.
8
Feasibility of allogeneic stem-cell transplantation after azacitidine bridge in higher-risk myelodysplastic syndromes and low blast count acute myeloid leukemia: results of the BMT-AZA prospective study.阿扎胞苷桥接后行异基因造血干细胞移植治疗高危骨髓增生异常综合征和低原始细胞数急性髓系白血病的可行性:BMT-AZA 前瞻性研究结果。
Ann Oncol. 2017 Jul 1;28(7):1547-1553. doi: 10.1093/annonc/mdx154.
9
The development and clinical use of oral hypomethylating agents in acute myeloid leukemia and myelodysplastic syndromes: dawn of the total oral therapy era.口服低甲基化剂在急性髓系白血病和骨髓增生异常综合征中的研发和临床应用:全口服治疗时代的曙光。
Expert Rev Anticancer Ther. 2021 Sep;21(9):989-1002. doi: 10.1080/14737140.2021.1918002. Epub 2021 Apr 28.
10
Safety and efficacy of azacitidine in elderly patients with intermediate to high-risk myelodysplastic syndromes.阿扎胞苷治疗中高危骨髓增生异常综合征老年患者的安全性和有效性
Ther Adv Hematol. 2017 Jan;8(1):21-27. doi: 10.1177/2040620716674677. Epub 2016 Oct 20.

引用本文的文献

1
Multi-Organ Adverse Reaction to Two Hypomethylating Agents: A Challenge in High-Risk Myelodysplastic Syndrome Treatment.两种去甲基化药物引起的多器官不良反应:高危骨髓增生异常综合征治疗中的一项挑战
Hematol Rep. 2025 May 30;17(3):29. doi: 10.3390/hematolrep17030029.
2
An Atypical Presentation of Sweet's Syndrome in a Patient With Neutropenia: A Case Report.中性粒细胞减少患者Sweet综合征的非典型表现:一例报告
Cureus. 2025 Feb 14;17(2):e79023. doi: 10.7759/cureus.79023. eCollection 2025 Feb.
3
Promoter Methylation Is Vital for the Anticancer Activity of Withaferin A.

本文引用的文献

1
Azacitidine-induced pyoderma gangrenosum at injection sites in a patient with myelodysplastic syndrome.一名骨髓增生异常综合征患者注射部位出现阿扎胞苷诱导的坏疽性脓皮病。
Curr Oncol. 2018 Feb;25(1):e103-e105. doi: 10.3747/co.25.3779. Epub 2018 Feb 28.
2
Severe phototoxic reaction secondary to subcutaneous 5-azacitidine.皮下注射5-氮杂胞苷继发的严重光毒性反应。
J Oncol Pharm Pract. 2017 Sep;23(6):473-475. doi: 10.1177/1078155216660185. Epub 2016 Jul 22.
3
Myelodysplastic Syndromes and Acute Myeloid Leukemia in the Elderly.老年人的骨髓增生异常综合征和急性髓系白血病
启动子甲基化对于白英醇A的抗癌活性至关重要。
Int J Mol Sci. 2025 Jan 30;26(3):1210. doi: 10.3390/ijms26031210.
4
Dermatologic complications in transplantation and cellular therapy for acute leukemia.急性白血病移植和细胞治疗的皮肤并发症。
Best Pract Res Clin Haematol. 2023 Jun;36(2):101464. doi: 10.1016/j.beha.2023.101464. Epub 2023 Apr 6.
Clin Geriatr Med. 2016 Feb;32(1):155-73. doi: 10.1016/j.cger.2015.08.010.
4
Injection-site reaction following 5-azacitidine injection.5-氮杂胞苷注射后的注射部位反应。
Ann Dermatol. 2014 Oct;26(5):669-70. doi: 10.5021/ad.2014.26.5.669. Epub 2014 Sep 26.
5
Case of azacitidine-induced maculopapular erythematous eruption.阿扎胞苷诱发斑丘疹性红斑疹病例。
J Dermatol. 2013 Aug;40(8):680-1. doi: 10.1111/1346-8138.12181. Epub 2013 Jun 5.
6
Generalized skin reactions in patients with MDS and CMML treated with azacitidine: Effective management with concomitant prednisolone.接受阿扎胞苷治疗的骨髓增生异常综合征和慢性粒-单核细胞白血病患者的全身性皮肤反应:联合使用泼尼松龙的有效管理。
Leuk Res. 2012 Sep;36(9):e211-3. doi: 10.1016/j.leukres.2012.04.029. Epub 2012 May 22.
7
Azacitidine-associated Sweet's syndrome.阿扎胞苷相关性Sweet 综合征。
Am J Health Syst Pharm. 2012 May 15;69(10):869-71. doi: 10.2146/ajhp110523.
8
A method for estimating the probability of adverse drug reactions.一种估算药物不良反应概率的方法。
Clin Pharmacol Ther. 1981 Aug;30(2):239-45. doi: 10.1038/clpt.1981.154.