Suppr超能文献

非洛地平加重的广泛性炎性牙龈过度生长患者的口腔修复:病例报告

Oral Rehabilitation of a Patient With Generalized Inflammatory Gingival Overgrowth Exacerbated by Felodipine: A Case Report.

作者信息

Wan Jamil Wan Ahmad Faiz, Al-Rawas Matheel, Abd Ghani Huwaina, Alawi Rabihah, Johari Yanti

机构信息

Unit of Restorative Dentistry, Dental Health District Office of Kuala Krai, Kelantan, MYS.

Prosthodontic Unit, Hospital Universiti Sains Malaysia, Kelantan, MYS.

出版信息

Cureus. 2022 Apr 21;14(4):e24332. doi: 10.7759/cureus.24332. eCollection 2022 Apr.

Abstract

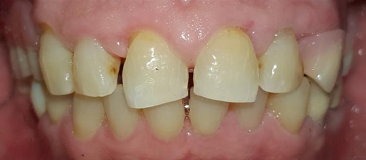
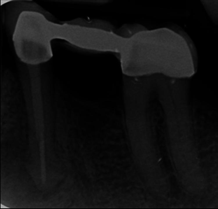
Gingival enlargement may manifest as a side effect of medications (calcium channel blockers, anticonvulsants, or immunosuppressants) and may be associated with inflammation, malignancy, or genetic inheritance. This condition has a significant impact on a patient's quality of life and affects their oral health status. This case report describes the management of a 68-year-old gentleman who presented with generalized gingival enlargement and chronic periapical abscess originating from tooth 34, which served as an abutment for a fixed partial prosthesis. The patient's medical history revealed that felodipine, an antihypertensive medication, was prescribed to him. A comprehensive treatment plan was developed to improve the patient's quality of life.

摘要

牙龈增生可能表现为药物(钙通道阻滞剂、抗惊厥药或免疫抑制剂)的副作用,也可能与炎症、恶性肿瘤或遗传因素有关。这种情况对患者的生活质量有重大影响,并会影响他们的口腔健康状况。本病例报告描述了一位68岁男性患者的治疗过程,该患者出现了广泛性牙龈增生以及源自34号牙的慢性根尖周脓肿,34号牙是固定局部义齿的基牙。患者的病史显示,他正在服用降压药非洛地平。制定了一个全面的治疗计划以改善患者的生活质量。

https://cdn.ncbi.nlm.nih.gov/pmc/blobs/1c5e/9123398/181882db5b1f/cureus-0014-00000024332-i01.jpg

文献AI研究员

20分钟写一篇综述,助力文献阅读效率提升50倍。

立即体验

用中文搜PubMed

大模型驱动的PubMed中文搜索引擎

马上搜索

文档翻译

学术文献翻译模型,支持多种主流文档格式。

立即体验