Suppr超能文献

影像引导下肌肉骨骼注射的并发症。

Complications in image-guided musculoskeletal injections.

机构信息

Department of Radiology, National Orthopaedic Hospital Cappagh, Finglas, Dublin 11, Republic of Ireland.

出版信息

Skeletal Radiol. 2022 Nov;51(11):2097-2104. doi: 10.1007/s00256-022-04076-8. Epub 2022 May 27.

Abstract

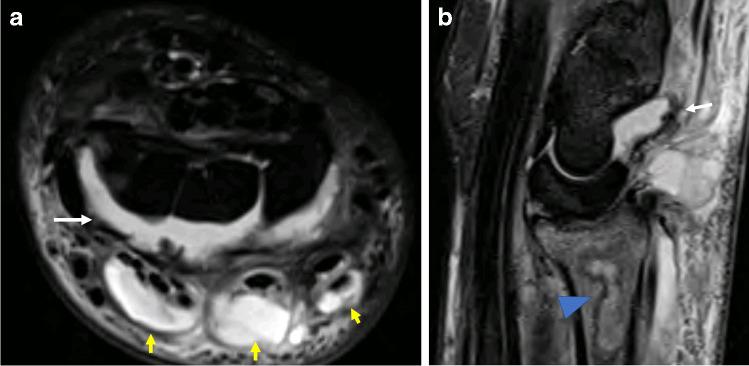
Complications in musculoskeletal interventions are rare and where they do occur tend to be minor, and often short-lived or self-limiting. Nonetheless, the potential for significant complications exists, and a thorough understanding of both the mechanisms which contribute and the manner in which they may clinically present is of critical importance for all musculoskeletal radiologists involved in performing procedures, both to mitigate against the occurrence of complications and to aid rapid recognition. The purpose of this review is to analyse the relevant literature to establish the frequency with which complications occur following musculoskeletal intervention. Furthermore, we highlight some of the more commonly discussed and feared complications in musculoskeletal intervention, such as the risk of infection, potential deleterious articular consequences including accelerated joint destruction and the poorly understood and often underestimated systemic effects of locally injected corticosteroids. We also consider both extremely rare but emergent scenarios such as anaphylactic reactions to medications, and much more common but less significant complications such as post-procedural pain. We suggest that meticulous attention to detail including strict adherence to aseptic technique and precise needle placement may reduce the frequency with which complications occur.

摘要

肌肉骨骼介入治疗的并发症很少见,而且往往是轻微的,并且通常是短暂的或自限性的。尽管如此,仍然存在发生重大并发症的可能性,因此,对于所有参与手术的肌肉骨骼放射科医生来说,深入了解导致并发症的机制以及它们可能在临床上表现的方式至关重要,这既可以减轻并发症的发生,也有助于快速识别。本综述的目的是分析相关文献,以确定肌肉骨骼介入治疗后并发症发生的频率。此外,我们还强调了一些在肌肉骨骼介入治疗中更常讨论和担心的并发症,例如感染的风险、潜在的有害关节后果,包括加速关节破坏,以及局部注射皮质类固醇的理解不佳且常常被低估的全身影响。我们还考虑了两种极其罕见但紧急的情况,如对药物的过敏反应,以及更常见但不太严重的并发症,如术后疼痛。我们建议,细致入微的注意细节,包括严格遵守无菌技术和精确的针位放置,可能会降低并发症发生的频率。

https://cdn.ncbi.nlm.nih.gov/pmc/blobs/6657/9463191/988f2dae3db6/256_2022_4076_Fig1_HTML.jpg

文献AI研究员

20分钟写一篇综述,助力文献阅读效率提升50倍。

立即体验

用中文搜PubMed

大模型驱动的PubMed中文搜索引擎

马上搜索

文档翻译

学术文献翻译模型,支持多种主流文档格式。

立即体验