Suppr超能文献

一步法和两步法 RT-qPCR 方法检测 SARS-CoV-2 的诊断效能。

Diagnostic power of one-step and two-step RT-qPCR methods to SARS‑CoV‑2 detection.

机构信息

Department of Virology, School of Medicine, Lorestan University of Medical Sciences, Khorramabad, Iran.

Hepatitis Research Center, Lorestan University of Medical Sciences, Khorramabad, Iran.

出版信息

BMC Infect Dis. 2022 May 31;22(1):505. doi: 10.1186/s12879-022-07478-0.

Abstract

BACKGROUND

Coronavirus-2019 (COVID-2019) is a novel coronavirus known as Acute Respiratory Syndrome (SARS-CoV-2). The premier standard test for SARS-CoV-2 diagnosis is a one-step RT-qPCR method, which requires specific probes and reagents. Therefore, detection on a large scale is expensive and cannot be very accurate.

METHODS

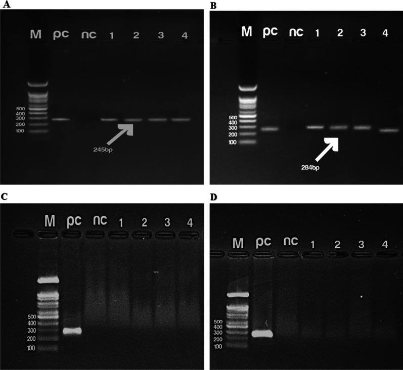
A cost-effective technique based on SYBR green was evaluated in the current study. The specific primers for S and N genes were designed, then performed the cross-reactivity test with other coronavirus and respiratory viruses positive samples. Moreover, the analytical sensitivity test was carried out with 8 dilutions (1:10). Lastly, the SARS-CoV-2 clinical samples (n = 210) were tested by these two methods, and receiver operating characteristic (ROC) analysis was performed to investigate the incremental diagnostic value of each gene in the study methods.

RESULTS

The two-step method detected up to 6th dilutions of the SARS-CoV-2 samples and did not show any amplification of the positive samples of other respiratory viruses. ROC analysis revealed a diagnostic ability of the two-step method for SARS-CoV-2 with an area under the ROC curve of ≥ 0.7 (P ˂ 0.05) and relatively high sensitivity and specificity. The combination of N and S genes increased the sensitivity up to 88%, specificity up to 86%, and area under the ROC curve up to 0.85 (95% confidence interval (95% CI) 0.72 to 0.93, P = 0.0461).

CONCLUSION

Our findings indicated that the two-step method has comparable sensitivity and specificity to the one-step method. Therefore, this method can be considered a potential diagnostic method for diagnosing and monitoring COVID-19 patients. It suggests that when the one-step RT-qPCR method is not available, the two-step RT-qPCR can be used to identify SARS-CoV-2.

摘要

背景

新型冠状病毒 2019(COVID-19)是一种被称为严重急性呼吸系统综合征(SARS-CoV-2)的新型冠状病毒。SARS-CoV-2 的主要标准诊断测试是一步式 RT-qPCR 方法,该方法需要特定的探针和试剂。因此,大规模检测既昂贵又不太准确。

方法

本研究评估了一种基于 SYBR 绿的具有成本效益的技术。设计了用于 S 和 N 基因的特异性引物,然后对其他冠状病毒和呼吸道病毒阳性样本进行了交叉反应测试。此外,还进行了 8 个稀释度(1:10)的分析灵敏度测试。最后,用这两种方法检测了 210 例 SARS-CoV-2 临床样本,并进行了接收者操作特性(ROC)分析,以研究研究方法中每个基因的增量诊断价值。

结果

两步法可检测到 SARS-CoV-2 样本的第 6 个稀释度,且未对其他呼吸道病毒的阳性样本进行任何扩增。ROC 分析显示,两步法检测 SARS-CoV-2 的诊断能力具有 ROC 曲线下面积≥0.7(P<0.05),且具有较高的灵敏度和特异性。N 和 S 基因的组合将灵敏度提高到 88%,特异性提高到 86%,ROC 曲线下面积提高到 0.85(95%置信区间 0.72 至 0.93,P=0.0461)。

结论

我们的研究结果表明,两步法与一步法具有可比的灵敏度和特异性。因此,该方法可被视为诊断和监测 COVID-19 患者的潜在诊断方法。这表明在无法使用一步式 RT-qPCR 方法时,可以使用两步式 RT-qPCR 来识别 SARS-CoV-2。

https://cdn.ncbi.nlm.nih.gov/pmc/blobs/7ee5/9153211/860f3ab1d04f/12879_2022_7478_Fig1_HTML.jpg

文献检索

告别复杂PubMed语法,用中文像聊天一样搜索,搜遍4000万医学文献。AI智能推荐,让科研检索更轻松。

立即免费搜索

文件翻译

保留排版,准确专业,支持PDF/Word/PPT等文件格式,支持 12+语言互译。

免费翻译文档

深度研究

AI帮你快速写综述,25分钟生成高质量综述,智能提取关键信息,辅助科研写作。

立即免费体验