Suppr超能文献

伊尔库茨克地区牛的黑腿病

Blackleg in Cattle in the Irkutsk Region.

作者信息

Blokhin Andrei A, Toropova Nadezhda N, Burova Olga A, Iashin Ivan V, Zakharova Olga I

机构信息

Federal Research Center for Virology and Microbiology, Branch in Nizhny Novgorod, Nizhny Novgorod, Russia.

出版信息

Front Vet Sci. 2022 May 12;9:872386. doi: 10.3389/fvets.2022.872386. eCollection 2022.

Abstract

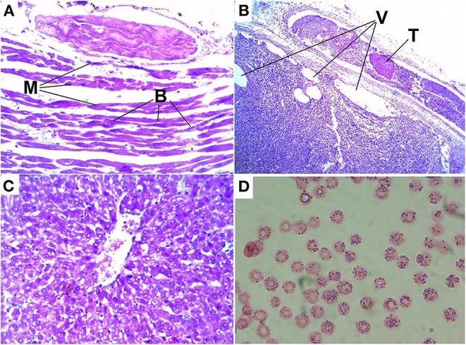
Blackleg is an acute, toxic, infectious, non-contagious disease of domestic and wild ruminants that occurs while the animals are pastured. This article describes an outbreak of blackleg on a farm in Siberia (Russia) in 2019. We provide a detailed description of the cases based on the results of comprehensive diagnostic and epidemiological investigations. For description of case and evaluation, we used the following methods: owner observations, descriptive epidemiology, clinical diagnostics, pathological examination and bacteriology. The distinctive features (in addition to the characteristic features) were as follows: the outbreak of the disease occurred in early spring when there was abundant snow cover and under unfavorable living conditions of animals and traumas; the disease appeared in both vaccinated and unvaccinated cattle; the characteristic clinical signs were low-grade fever, the absence of crepitus, and the presence of haematomas containing erythrocytes with basophilic granularity; thrombs in vessel and vacuolization in tissue of the adrenal gland. This paper aimed to present classical and new clinical and pathology changes in cattle with blackleg in winter conditions of Russian Siberia.

摘要

黑腿病是家养和野生反刍动物的一种急性、毒性、传染性、非接触性疾病,在动物放牧时发生。本文描述了2019年俄罗斯西伯利亚一个农场爆发的黑腿病疫情。我们根据全面的诊断和流行病学调查结果,对病例进行了详细描述。为了描述病例和进行评估,我们采用了以下方法:畜主观察、描述性流行病学、临床诊断、病理检查和细菌学。除了特征性表现外,其独特特征如下:疾病爆发于早春,当时积雪深厚,动物生活条件不利且存在创伤;接种疫苗和未接种疫苗的牛均出现该病;特征性临床症状为低热、无捻发音,存在含有嗜碱性颗粒红细胞的血肿;血管内血栓形成以及肾上腺组织空泡化。本文旨在呈现俄罗斯西伯利亚冬季条件下患黑腿病牛的经典和新的临床及病理变化。

https://cdn.ncbi.nlm.nih.gov/pmc/blobs/06e1/9133737/2caaf32c83de/fvets-09-872386-g0001.jpg

文献检索

告别复杂PubMed语法,用中文像聊天一样搜索,搜遍4000万医学文献。AI智能推荐,让科研检索更轻松。

立即免费搜索

文件翻译

保留排版,准确专业,支持PDF/Word/PPT等文件格式,支持 12+语言互译。

免费翻译文档

深度研究

AI帮你快速写综述,25分钟生成高质量综述,智能提取关键信息,辅助科研写作。

立即免费体验