Suppr超能文献

右侧颞叶胶质瘤对言语感知和生成任务中左右半球神经加工的影响。

The Effect of Right Temporal Lobe Gliomas on Left and Right Hemisphere Neural Processing During Speech Perception and Production Tasks.

作者信息

Yamamoto Adam Kenji, Sanjuán Ana, Pope Rebecca, Parker Jones Oiwi, Hope Thomas M H, Prejawa Susan, Oberhuber Marion, Mancini Laura, Ekert Justyna O, Garjardo-Vidal Andrea, Creasey Megan, Yousry Tarek A, Green David W, Price Cathy J

机构信息

Neuroradiological Academic Unit, Department of Brain Repair and Rehabilitation, UCL Queen Square Institute of Neurology, University College London, London, United Kingdom.

Lysholm Department of Neuroradiology, National Hospital for Neurology and Neurosurgery, London, United Kingdom.

出版信息

Front Hum Neurosci. 2022 May 16;16:803163. doi: 10.3389/fnhum.2022.803163. eCollection 2022.

Abstract

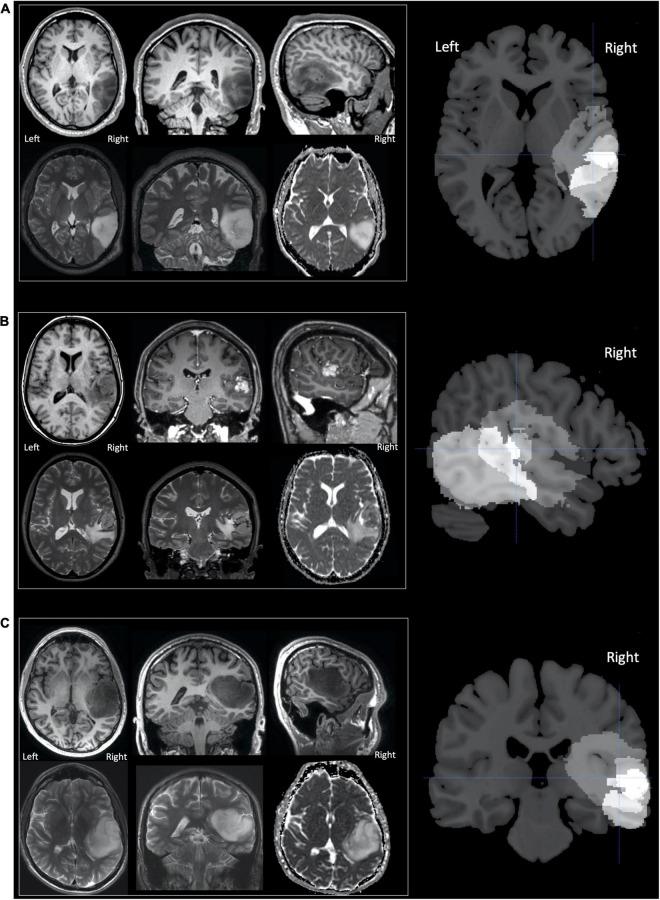
Using fMRI, we investigated how right temporal lobe gliomas affecting the posterior superior temporal sulcus alter neural processing observed during speech perception and production tasks. Behavioural language testing showed that three pre-operative neurosurgical patients with grade 2, grade 3 or grade 4 tumours had the same pattern of mild language impairment in the domains of object naming and written word comprehension. When matching heard words for semantic relatedness (a speech perception task), these patients showed under-activation in the tumour infiltrated right superior temporal lobe compared to 61 neurotypical participants and 16 patients with tumours that preserved the right postero-superior temporal lobe, with enhanced activation within the (tumour-free) contralateral left superior temporal lobe. In contrast, when correctly naming objects (a speech production task), the patients with right postero-superior temporal lobe tumours showed higher activation than both control groups in the same right postero-superior temporal lobe region that was under-activated during auditory semantic matching. The task dependent pattern of under-activation during the auditory speech task and over-activation during object naming was also observed in eight stroke patients with right hemisphere infarcts that affected the right postero-superior temporal lobe compared to eight stroke patients with right hemisphere infarcts that spared it. These task-specific and site-specific cross-pathology effects highlight the importance of the right temporal lobe for language processing and motivate further study of how right temporal lobe tumours affect language performance and neural reorganisation. These findings may have important implications for surgical management of these patients, as knowledge of the regions showing functional reorganisation may help to avoid their inadvertent damage during neurosurgery.

摘要

我们使用功能磁共振成像(fMRI)研究了影响颞上沟后部的右侧颞叶胶质瘤如何改变在言语感知和产生任务中观察到的神经处理过程。行为语言测试表明,三名术前患有2级、3级或4级肿瘤的神经外科患者在物体命名和书面文字理解领域具有相同模式的轻度语言障碍。在进行语义相关性的听词匹配(一项言语感知任务)时,与61名神经典型参与者和16名保留右侧颞上后叶的肿瘤患者相比,这些患者在肿瘤浸润的右侧颞上叶表现出激活不足,而在对侧(无肿瘤的)左侧颞上叶则有增强激活。相比之下,在正确命名物体(一项言语产生任务)时,患有右侧颞上后叶肿瘤的患者在听觉语义匹配期间激活不足的同一右侧颞上后叶区域的激活程度高于两个对照组。与八名右侧半球梗死未累及右侧颞上后叶的中风患者相比,在八名右侧半球梗死累及右侧颞上后叶的中风患者中也观察到了听觉言语任务期间激活不足和物体命名期间激活过度的任务依赖性模式。这些特定任务和特定部位的跨病理效应突出了右侧颞叶在语言处理中的重要性,并促使进一步研究右侧颞叶肿瘤如何影响语言表现和神经重组。这些发现可能对这些患者的手术管理具有重要意义,因为了解显示功能重组的区域可能有助于避免在神经外科手术中意外损伤这些区域。

https://cdn.ncbi.nlm.nih.gov/pmc/blobs/8ea8/9148966/86c5c9b2b8e4/fnhum-16-803163-g001.jpg

文献检索

告别复杂PubMed语法,用中文像聊天一样搜索,搜遍4000万医学文献。AI智能推荐,让科研检索更轻松。

立即免费搜索

文件翻译

保留排版,准确专业,支持PDF/Word/PPT等文件格式,支持 12+语言互译。

免费翻译文档

深度研究

AI帮你快速写综述,25分钟生成高质量综述,智能提取关键信息,辅助科研写作。

立即免费体验