Suppr超能文献

关于一例肘部的误导性钙化肿块:软组织骨软骨瘤:病例报告。

About a misleading calcified mass of the elbow: Soft tissue osteochondroma: A case report.

作者信息

Ammar Ameni, Abcha Oussama, Berriri Marouene, Sassi Samia, Smida Mahmoud

机构信息

Traumatology department, KASSAB Institute, Manouba 2010, Tunisia.

Traumatology department, KASSAB Institute, Manouba 2010, Tunisia.

出版信息

Int J Surg Case Rep. 2022 Jun;95:107261. doi: 10.1016/j.ijscr.2022.107261. Epub 2022 Jun 1.

Abstract

INTRODUCTION

Soft tissue osteochondromas are rare lesions, with a misleading radiology, that can present diagnostic dilemma.

CASE PRESENTATION

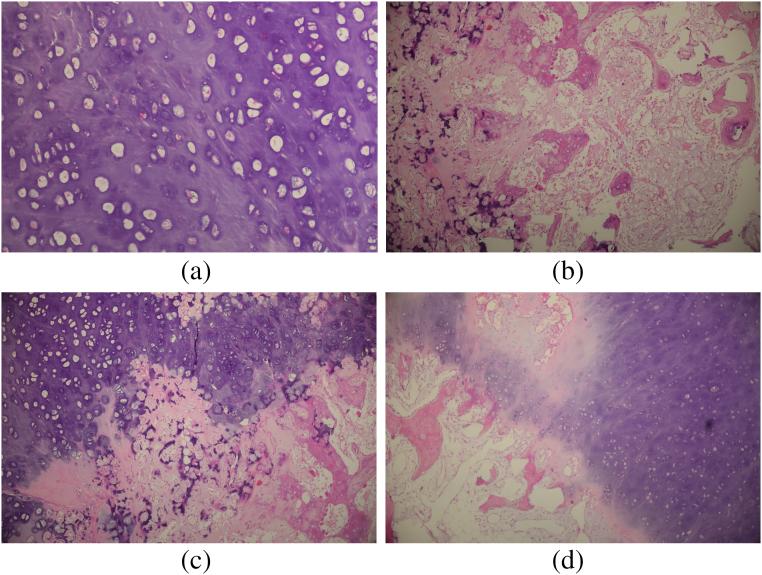
We report the case of 16-year-old girl who presented an anterior swelling in his left elbow, slightly painful on palpation, with no signs of inflammation. Elbow mobility was normal. Standard radiographs showed a globular calcified mass. CT scan revealed a well-defined lobulated soft tissue mass with extensive flaky calcification. Magnetic resonance imaging (MRI) showed lobulated and intermuscular non-enhancing mass. The lesion had a low heterogeneous signal on T1 images, and a high heterogeneous signal on T2 FAT-SAT images, with low signal areas suggesting calcifications. There was no continuity to the adjacent ulna and radius. The patient first underwent image-guided core needle biopsy and histological examination concluded to chondroma. The tumour was then resected by anterior approach and the final histological diagnosis was osteochondroma of soft tissue.

DISCUSSION

A diagnosis of extraskeletal osteochondroma should be considered when an ossified mass is localized in the soft tissue particularly on the elbow. Excision is the treatment of choice when the function is reduced and the nature of the tumour remain uncertain.

CONCLUSION

Orthopedic surgeons should know about elbow localization of osteochondromas to help in accurate diagnosis and management of the tumour, to avoid overtreatment.

摘要

引言

软组织骨软骨瘤是罕见病变,其放射学表现具有误导性,可导致诊断困境。

病例报告

我们报告一例16岁女孩,其左肘部出现前部肿胀,触诊时有轻微疼痛,无炎症迹象。肘部活动正常。标准X线片显示一个球形钙化肿块。CT扫描显示一个边界清晰的分叶状软组织肿块,伴有广泛的片状钙化。磁共振成像(MRI)显示分叶状且位于肌肉间的无强化肿块。该病变在T1图像上呈低信号不均匀,在T2脂肪抑制(FAT - SAT)图像上呈高信号不均匀,低信号区域提示钙化。与相邻的尺骨和桡骨无连续性。患者首先接受了影像引导下的粗针活检,组织学检查诊断为软骨瘤。随后通过前路手术切除肿瘤,最终组织学诊断为软组织骨软骨瘤。

讨论

当一个骨化肿块位于软组织尤其是肘部时,应考虑诊断为骨外骨软骨瘤。当功能下降且肿瘤性质仍不确定时,手术切除是首选治疗方法。

结论

骨科医生应了解骨软骨瘤在肘部的定位,以帮助准确诊断和处理肿瘤,避免过度治疗。

https://cdn.ncbi.nlm.nih.gov/pmc/blobs/1f99/9168604/7d5deb42a44c/gr1.jpg

文献AI研究员

20分钟写一篇综述,助力文献阅读效率提升50倍。

立即体验

用中文搜PubMed

大模型驱动的PubMed中文搜索引擎

马上搜索

文档翻译

学术文献翻译模型,支持多种主流文档格式。

立即体验