Suppr超能文献

近期感染新型冠状病毒肺炎患者出现自发性局限性双侧血气胸

Spontaneous Loculated Bilateral Hydropneumothoraces in a Patient with Recent COVID-19 Infection.

作者信息

Lowe Jacques, Kaptur Bradley, Baltaji Ali, Rosenblat Daniel, Kumar James, Paul Vishesh

机构信息

Carle Illinois College of Medicine, University of Illinois Urbana-Champaign, Champaign, IL, USA.

Department of Internal Medicine, Carle Foundation Hospital, Urbana, IL, USA.

出版信息

Case Rep Med. 2022 May 26;2022:3284857. doi: 10.1155/2022/3284857. eCollection 2022.

Abstract

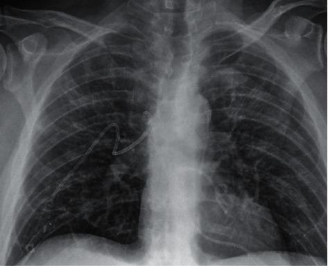
A 53-year-old male presented to the emergency room with chest pain, shortness of breath, and back pain. He had recently recovered from COVID-19 infection and returned home on room air. Chest imaging showed bilateral hydropneumothoraces that were not present on the imaging performed during his prior admission three weeks ago. The patient was treated with bilateral chest tube drainage and oxygen support and responded well to treatment. This case represents a unique occurrence of spontaneous loculated bilateral hydropneumothoraces in the context of recent clinical recovery from COVID-19 infection requiring inpatient treatment. This case highlights the importance of an awareness of a potential sequela of COVID-19 that may occur even after presumed clinical recovery.

摘要

一名53岁男性因胸痛、呼吸急促和背痛被送往急诊室。他最近从新冠病毒感染中康复,回家后仅呼吸室内空气。胸部影像学检查显示双侧液气胸,而三周前他上次住院时的影像学检查中并未出现这种情况。患者接受了双侧胸腔闭式引流和氧气支持治疗,治疗反应良好。该病例代表了在新冠病毒感染近期临床康复背景下发生的一种独特的自发性局限性双侧液气胸情况,需要住院治疗。该病例凸显了即使在假定临床康复后仍需意识到新冠病毒可能出现潜在后遗症的重要性。

https://cdn.ncbi.nlm.nih.gov/pmc/blobs/45a3/9162840/81d564150a45/CRIM2022-3284857.001.jpg

文献AI研究员

20分钟写一篇综述,助力文献阅读效率提升50倍。

立即体验

用中文搜PubMed

大模型驱动的PubMed中文搜索引擎

马上搜索

文档翻译

学术文献翻译模型,支持多种主流文档格式。

立即体验