• 文献检索
  • 文档翻译
  • 深度研究
  • 学术资讯
  • Suppr Zotero 插件Zotero 插件
  • 邀请有礼
  • 套餐&价格
  • 历史记录
应用&插件
Suppr Zotero 插件Zotero 插件浏览器插件Mac 客户端Windows 客户端微信小程序
定价
高级版会员购买积分包购买API积分包
服务
文献检索文档翻译深度研究API 文档MCP 服务
关于我们
关于 Suppr公司介绍联系我们用户协议隐私条款
关注我们

Suppr 超能文献

核心技术专利:CN118964589B侵权必究
粤ICP备2023148730 号-1Suppr @ 2026

文献检索

告别复杂PubMed语法,用中文像聊天一样搜索,搜遍4000万医学文献。AI智能推荐,让科研检索更轻松。

立即免费搜索

文件翻译

保留排版,准确专业,支持PDF/Word/PPT等文件格式,支持 12+语言互译。

免费翻译文档

深度研究

AI帮你快速写综述,25分钟生成高质量综述,智能提取关键信息,辅助科研写作。

立即免费体验

evolving strategies for management of desmoid tumor.

Evolving strategies for management of desmoid tumor.

机构信息

Duke Cancer Institute, Duke University Medical Center, Durham, North Carolina, USA.

Medical Oncology and Therapeutics Research, City of Hope Comprehensive Cancer Center, Duarte, California, USA.

出版信息

Cancer. 2022 Aug 15;128(16):3027-3040. doi: 10.1002/cncr.34332. Epub 2022 Jun 7.

DOI:10.1002/cncr.34332
PMID:35670122
原文链接:https://pmc.ncbi.nlm.nih.gov/articles/PMC9546183/
Abstract

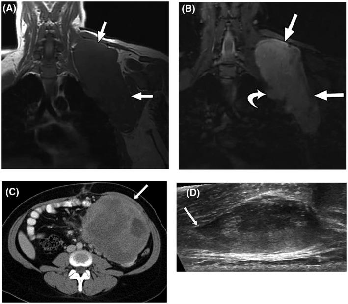
Desmoid tumors (DTs) are rare soft tissue mesenchymal neoplasms that may be associated with impairments, disfigurement, morbidity, and (rarely) mortality. DT disease course can be unpredictable. Most DTs are sporadic, harboring somatic mutations in the gene that encodes for β-catenin, whereas DTs occurring in patients with familial adenomatous polyposis have germline mutations in the APC gene, which encodes for a protein regulator of β-catenin. Pathology review by an expert soft tissue pathologist is critical in making a diagnosis. Magnetic resonance imaging is preferred for most anatomic locations. Surgery, once the standard of care for initial treatment of DT, is associated with a significant risk of recurrence as well as avoidable morbidity because spontaneous regressions are known to occur without treatment. Consequently, active surveillance in conjunction with pain management is now recommended for most patients. Systemic medical treatment of DT has evolved beyond the use of hormone therapy, which is no longer routinely recommended. Current options for medical management include tyrosine kinase inhibitors as well as more conventional cytotoxic chemotherapy (e.g., anthracycline-based or methotrexate-based regimens). A newer class of agents, γ-secretase inhibitors, appears promising, including in patients who fail other therapies, but confirmation in Phase 3 trials is needed. In summary, DTs present challenges to physicians in diagnosis and prognosis, as well as in determining treatment initiation, type, duration, and sequence. Accordingly, evaluation by a multidisciplinary team with expertise in DT and patient-tailored management are essential. As management strategies continue to evolve, further studies will help clarify these issues and optimize outcomes for patients.

摘要

硬纤维瘤(DTs)是一种罕见的软组织间叶性肿瘤,可能导致功能障碍、畸形、发病率(罕见情况下导致死亡率)升高。DT 的病程可能不可预测。大多数 DTs 是散发性的,存在编码β-连环蛋白的基因突变,而发生于家族性腺瘤性息肉病患者的 DTs 则存在 APC 基因突变,该基因编码β-连环蛋白的蛋白调节因子。由软组织病理专家进行病理审查对于做出诊断至关重要。磁共振成像(MRI)是大多数解剖部位的首选检查方法。手术曾是 DT 初始治疗的标准治疗方法,但与高复发风险和可避免的发病率相关,因为已知 DT 会自发消退而无需治疗。因此,目前建议大多数患者进行积极监测并结合疼痛管理。DT 的系统治疗已超出激素治疗的范围,目前不再常规推荐。目前用于医学治疗的选择包括酪氨酸激酶抑制剂以及更传统的细胞毒性化疗(例如,基于蒽环类药物或甲氨蝶呤的方案)。一类新型药物γ-分泌酶抑制剂似乎很有前景,包括在其他治疗失败的患者中,但仍需要 III 期临床试验的证实。总之,DT 给医生在诊断和预后方面以及在确定治疗的起始、类型、持续时间和顺序方面带来了挑战。因此,需要由在 DTs 方面具有专业知识的多学科团队进行评估并制定个体化的管理方案。随着管理策略的不断发展,进一步的研究将有助于阐明这些问题并优化患者的结局。

https://cdn.ncbi.nlm.nih.gov/pmc/blobs/49a4/9546183/17e4ffc5e36a/CNCR-128-3027-g004.jpg
https://cdn.ncbi.nlm.nih.gov/pmc/blobs/49a4/9546183/1010647702cd/CNCR-128-3027-g003.jpg
https://cdn.ncbi.nlm.nih.gov/pmc/blobs/49a4/9546183/8d37b649ce02/CNCR-128-3027-g002.jpg
https://cdn.ncbi.nlm.nih.gov/pmc/blobs/49a4/9546183/fa86ce226129/CNCR-128-3027-g001.jpg
https://cdn.ncbi.nlm.nih.gov/pmc/blobs/49a4/9546183/17e4ffc5e36a/CNCR-128-3027-g004.jpg
https://cdn.ncbi.nlm.nih.gov/pmc/blobs/49a4/9546183/1010647702cd/CNCR-128-3027-g003.jpg
https://cdn.ncbi.nlm.nih.gov/pmc/blobs/49a4/9546183/8d37b649ce02/CNCR-128-3027-g002.jpg
https://cdn.ncbi.nlm.nih.gov/pmc/blobs/49a4/9546183/fa86ce226129/CNCR-128-3027-g001.jpg
https://cdn.ncbi.nlm.nih.gov/pmc/blobs/49a4/9546183/17e4ffc5e36a/CNCR-128-3027-g004.jpg

相似文献

1
Evolving strategies for management of desmoid tumor. evolving strategies for management of desmoid tumor.
Cancer. 2022 Aug 15;128(16):3027-3040. doi: 10.1002/cncr.34332. Epub 2022 Jun 7.
2
Human microRNA expression in sporadic and FAP-associated desmoid tumors and correlation with beta-catenin mutations.散发性和家族性腺瘤性息肉病相关硬纤维瘤中人类微小RNA的表达及其与β-连环蛋白突变的相关性
Oncotarget. 2017 Jun 27;8(26):41866-41875. doi: 10.18632/oncotarget.16383.
3
Update on desmoid tumors.腹壁外纤维瘤病的最新进展
Ann Oncol. 2012 Mar;23(3):562-569. doi: 10.1093/annonc/mdr386. Epub 2011 Aug 22.
4
The Role of Pharmacotherapeutic Agents in Children with Desmoid Tumors.药物治疗在儿童硬纤维瘤中的作用。
Paediatr Drugs. 2022 Sep;24(5):433-445. doi: 10.1007/s40272-022-00526-x. Epub 2022 Jul 29.
5
Cutaneous desmoid-type fibromatosis: A rare case with molecular profiling.皮肤韧带样型纤维瘤病:一例罕见的分子特征分析病例
J Cutan Pathol. 2021 Sep;48(9):1185-1188. doi: 10.1111/cup.14058. Epub 2021 Jun 30.
6
[The desmoid problem].[韧带样瘤问题]
Chirurg. 2000 Aug;71(8):894-903. doi: 10.1007/s001040051153.
7
Evaluation of diagnostic algorithm and therapeutic interventions for intra-abdominal desmoid tumors.评估腹腔内韧带样瘤的诊断算法和治疗干预措施。
Surg Oncol. 2022 May;41:101724. doi: 10.1016/j.suronc.2022.101724. Epub 2022 Feb 19.
8
Multifocal occurrence of extra-abdominal desmoid type fibromatosis - A rare manifestation. A clinicopathological study of 6 sporadic cases and 1 hereditary case.腹外韧带样型纤维瘤病的多灶性发生——一种罕见表现。6例散发性病例和1例遗传性病例的临床病理研究
Ann Diagn Pathol. 2018 Aug;35:38-41. doi: 10.1016/j.anndiagpath.2018.04.001. Epub 2018 Apr 21.
9
Identification of Familial Adenomatous Polyposis carriers among children with desmoid tumours.家族性腺瘤性息肉病携带者在硬纤维瘤患儿中的鉴定。
Eur J Cancer. 2012 Aug;48(12):1867-74. doi: 10.1016/j.ejca.2012.01.004. Epub 2012 Feb 2.
10
Desmoid tumors located in the abdomen or associated with adenomatous polyposis: French intergroup clinical practice guidelines for diagnosis, treatment, and follow-up (SNFGE, FFCD, GERCOR, UNICANCER, SFCD, SFED, SFRO, ACHBT, SFR).腹部或与腺瘤性息肉病相关的韧带样纤维瘤:法国多学科专家组临床实践指南,用于诊断、治疗和随访(SNFGE、FFCD、GERCOR、UNICANCER、SFCD、SFED、SFRO、ACHBT、SFR)。
Dig Liver Dis. 2022 Jun;54(6):737-746. doi: 10.1016/j.dld.2022.03.004. Epub 2022 May 1.

引用本文的文献

1
Surgical Resection and Abdominal Wall Reconstruction of a Rapidly Progressive Desmoid Tumor: A Case Report.快速进展性硬纤维瘤的手术切除与腹壁重建:一例报告
Cureus. 2025 Jun 13;17(6):e85911. doi: 10.7759/cureus.85911. eCollection 2025 Jun.
2
Exploring Clinical Studies and the FDA Adverse Event Reporting System (FAERS) Database for nirogacestat-related Adverse Events.探索关于尼洛西他相关不良事件的临床研究及美国食品药品监督管理局不良事件报告系统(FAERS)数据库。
Ther Innov Regul Sci. 2025 Jul 10. doi: 10.1007/s43441-025-00834-7.
3
Evaluating Management of Extra-Abdominal Desmoid Fibromatosis: A Retrospective Analysis of Treatments, Outcomes and Recurrence Patterns.

本文引用的文献

1
Transarterial Chemoembolization with Doxorubicin Eluting Beads for Extra-Abdominal Desmoid Tumors: Initial Experience.经肝动脉内阿霉素洗脱微球化疗栓塞术治疗腹外型韧带样纤维瘤:初步经验。
Cardiovasc Intervent Radiol. 2022 Aug;45(8):1141-1151. doi: 10.1007/s00270-022-03149-4. Epub 2022 Apr 19.
2
Clinical outcomes of medical treatments for progressive desmoid tumors following active surveillance: a systematic review.主动监测后进行医学治疗的侵袭性硬纤维瘤的临床结果:一项系统综述
Musculoskelet Surg. 2023 Mar;107(1):7-18. doi: 10.1007/s12306-022-00738-x. Epub 2022 Feb 12.
3
The epidemiology of desmoid tumors in Denmark.
评估腹外硬纤维瘤病的管理:治疗、结果和复发模式的回顾性分析
Curr Oncol. 2025 May 30;32(6):320. doi: 10.3390/curroncol32060320.
4
Clinico-radiological outcomes of desmoid type-fibromatosis after discontinuing the sorafenib treatment in responders - early results from the SORASTOP study.索拉非尼治疗反应者停用索拉非尼后韧带样型纤维瘤病的临床放射学结局——SORASTOP研究的早期结果
Ecancermedicalscience. 2025 May 27;19:1915. doi: 10.3332/ecancer.2025.1915. eCollection 2025.
5
A giant sporadic intra-abdominal desmoid tumor resection: a rare case report.巨大散发性腹腔内硬纤维瘤切除术:1例罕见病例报告
Int J Surg Case Rep. 2025 Jun;131:111423. doi: 10.1016/j.ijscr.2025.111423. Epub 2025 May 9.
6
Exploring the Potential of Optical Genome Mapping in the Diagnosis and Prognosis of Soft Tissue and Bone Tumors.探索光学基因组图谱在软组织和骨肿瘤诊断及预后评估中的潜力。
Int J Mol Sci. 2025 Mar 20;26(6):2820. doi: 10.3390/ijms26062820.
7
De Novo Plasmacytoma at the Site of Previous Anterior Cervical Fusion.既往颈椎前路融合部位的新发浆细胞瘤
Neurosurg Pract. 2023 Dec 7;5(1):e00074. doi: 10.1227/neuprac.0000000000000074. eCollection 2024 Mar.
8
Nirogacestat-the pathway to approval of the first treatment for desmoid tumors, a rare disease.尼洛妥昔单抗——治疗韧带样型纤维瘤病(一种罕见疾病)的首款疗法获批之路。
Ther Adv Rare Dis. 2025 Feb 11;6:26330040251317546. doi: 10.1177/26330040251317546. eCollection 2025 Jan-Dec.
9
An intra-abdominal desmoid tumour: Case report.一例腹内硬纤维瘤:病例报告。
Int J Surg Case Rep. 2025 Feb;127:110897. doi: 10.1016/j.ijscr.2025.110897. Epub 2025 Jan 15.
10
Desmoid Fibromatosis Involving the Retropharyngeal and Danger Spaces: A Case Report.累及咽后间隙和危险间隙的韧带样型纤维瘤病:病例报告
Cureus. 2024 Dec 18;16(12):e75969. doi: 10.7759/cureus.75969. eCollection 2024 Dec.
丹麦硬纤维瘤的流行病学。
Cancer Epidemiol. 2022 Apr;77:102114. doi: 10.1016/j.canep.2022.102114. Epub 2022 Feb 1.
4
Activity of the Gamma Secretase Inhibitor AL101 in Desmoid Tumors: A Case Report of 2 Adult Cases.伽马分泌酶抑制剂 AL101 在硬纤维瘤中的活性:2 例成人病例报告。
Curr Oncol. 2021 Sep 21;28(5):3659-3667. doi: 10.3390/curroncol28050312.
5
The safety and ablation efficacy of ultrasound-guided high-intensity focused ultrasound ablation for desmoid tumors.超声引导高强度聚焦超声消融治疗硬纤维瘤的安全性和消融效果。
Int J Hyperthermia. 2021 Sep;38(2):89-95. doi: 10.1080/02656736.2021.1894359.
6
Extra-abdominal desmoid tumor fibromatosis: a multicenter EMSOS study.腹外型硬纤维瘤/纤维瘤病:一项多中心 EMSOS 研究。
BMC Cancer. 2021 Apr 20;21(1):437. doi: 10.1186/s12885-021-08189-6.
7
Rationale for the use of tyrosine kinase inhibitors in the treatment of paediatric desmoid-type fibromatosis.酪氨酸激酶抑制剂治疗儿科硬纤维瘤型纤维组织细胞瘤的原理。
Br J Cancer. 2021 May;124(10):1637-1646. doi: 10.1038/s41416-021-01320-1. Epub 2021 Mar 15.
8
Development, Validation, and Visualization of A Web-Based Nomogram for Predicting the Recurrence-Free Survival Rate of Patients With Desmoid Tumors.用于预测韧带样型纤维瘤病患者无复发生存率的基于网络的列线图的开发、验证及可视化
Front Oncol. 2021 Feb 25;11:634648. doi: 10.3389/fonc.2021.634648. eCollection 2021.
9
Gamma Secretase Inhibitors in Cancer: A Current Perspective on Clinical Performance.γ-分泌酶抑制剂在癌症中的应用:临床疗效的最新观点。
Oncologist. 2021 Apr;26(4):e608-e621. doi: 10.1002/onco.13627. Epub 2021 Jan 2.
10
Management of aggressive fibromatosis.侵袭性纤维瘤病的管理
Oncol Lett. 2021 Jan;21(1):43. doi: 10.3892/ol.2020.12304. Epub 2020 Nov 17.