Arish Mohd, Naz Farha
JH-Institute of Molecular Medicine, Jamia Hamdard, New Delhi, India.
Centre of Interdisciplinary Research in Basic Science (CIRBSc), Jamia Millia Islamia, New Delhi, India.
Curr Res Immunol. 2022 Jun 3;3:110-117. doi: 10.1016/j.crimmu.2022.05.004. eCollection 2022.
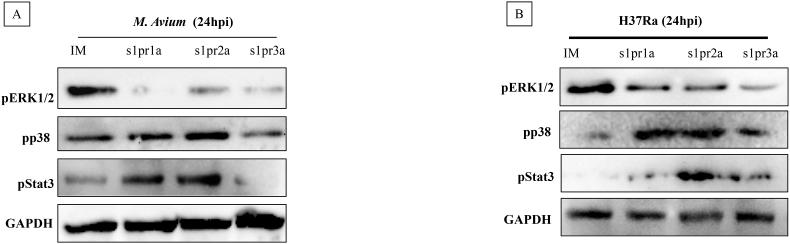
() the causative agent for tuberculosis has been accredited for a high rate of morbidity and mortality worldwide. The rise in MDR and XDR cases has further created new obstacles in achieving the "End TB Strategy", which is aimed for 2035. In this article, we have demonstrated the potential of sphingosine-1-phosphate (S1P) analogs in providing an anti-mycobacterial effector response by altering macrophage polarity into M1. Among S1PR1 and S1PR3 analogs, S1PR2 analogs proficiently favor selective polarization of infected human macrophages into M1 phenotypes, marked by increased expression of M1 markers and decreased M2 markers. Furthermore, S1PR1-3 analogs treated macrophages were also able to decrease the secretion of anti-inflammatory cytokine IL-10 and can induce NO secretion in infected macrophages. Lastly, only S1PR2-3 analogs were able to restrict the growth of mycobacteria in human macrophages. Taken together our study reflects the potential of S1PR2-3 analogs in providing host defenses following mycobacterial infection by favoring M1 macrophage polarization.
结核分枝杆菌作为结核病的病原体,在全球范围内导致了高发病率和死亡率。耐多药和广泛耐药病例的增加,进一步给旨在2035年实现的“终止结核病战略”带来了新的障碍。在本文中,我们展示了1-磷酸鞘氨醇(S1P)类似物通过将巨噬细胞极性转变为M1型,从而提供抗分枝杆菌效应反应的潜力。在S1PR1和S1PR3类似物中,S1PR2类似物能有效地促进受感染的人类巨噬细胞选择性极化成为M1表型,其特征是M1标志物表达增加,M2标志物表达减少。此外,经S1PR1-3类似物处理的巨噬细胞还能够减少抗炎细胞因子IL-10的分泌,并能诱导受感染巨噬细胞分泌一氧化氮(NO)。最后,只有S1PR2-3类似物能够限制分枝杆菌在人类巨噬细胞中的生长。综上所述,我们的研究反映了S1PR2-3类似物通过促进M1巨噬细胞极化,在分枝杆菌感染后提供宿主防御的潜力。