Suppr超能文献

如何优化颅内海绵状血管畸形患儿的长期预后?单中心 61 例经验。

How can we optimize the long-term outcome in children with intracranial cavernous malformations? A single-center experience of 61 cases.

机构信息

Department of Neurosurgery, Medical University of Vienna, Vienna, Austria.

Department of Pediatrics and Adolescent Medicine, Medical University of Vienna, Vienna, Austria.

出版信息

Neurosurg Rev. 2022 Oct;45(5):3299-3313. doi: 10.1007/s10143-022-01823-2. Epub 2022 Jun 9.

Abstract

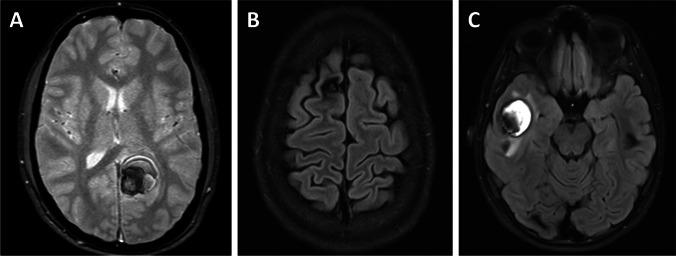
The objective is to provide a treatment algorithm for pediatric patients with intracranial cavernous malformations (CMs) based on our experience. Patients < 18 years of age who were treated either surgically or conservatively at the authors' institution between 1982 and 2019 were retrospectively evaluated. A total of 61 pediatric patients were treated at the authors' institution: 39 with lobar CMs; 18 with deep CMs, including 12 in the brainstem and 6 in the basal ganglia; and 4 with CMs in the cerebellar hemispheres. Forty-two patients underwent surgery, and 19 were treated conservatively. The median follow-up time was 65 months (1-356 months). In surgically treated patients, lesions were larger (2.4 cm vs 0.9 cm, p < 0.001). In patients with lobar CMs, seizures were more common (72% vs 21%, p = 0.003) in the surgery group than in conservatively managed patients. In deep CMs, modified Rankin scale (mRS) was higher (4 vs 1, p = 0.003) in the surgery group than in conservatively treated patients. At the time of last follow-up, no differences in Wieser outcome class I were seen (86% vs 67%) in lobar CMs, and mRS scores had aligned between the treatment groups in deep CMs (1 vs 0). We encountered no new permanent neurological deficit at time of last follow-up. We propose a treatment algorithm according to lesion location and size, burden of symptoms, epilepsy workup, and further clinical course during observation. A conservative management is safe in pediatric patients with asymptomatic CMs. Gross total resection should be the aim in patients with symptomatic lobar CMs. A less aggressive approach with subtotal resection, when required to prevent neurological compromise, sustainably improves neurological outcome in patients with deep CMs.

摘要

目的是根据我们的经验为颅内海绵状血管畸形(CM)的儿科患者提供治疗算法。对 1982 年至 2019 年在作者所在机构接受手术或保守治疗的<18 岁患者进行回顾性评估。在作者所在机构共治疗了 61 例儿科患者:39 例为额叶 CM;18 例为深部 CM,包括 12 例脑干和 6 例基底节;4 例为小脑半球 CM。42 例患者接受手术治疗,19 例接受保守治疗。中位随访时间为 65 个月(1-356 个月)。在接受手术治疗的患者中,病变较大(2.4cm 对 0.9cm,p<0.001)。在额叶 CM 患者中,手术组的癫痫发作更为常见(72%对 21%,p=0.003)。在深部 CM 中,手术组改良 Rankin 量表(mRS)评分较高(4 对 1,p=0.003)。在最后一次随访时,在额叶 CM 中未见 Wieser 结局分类 I 的差异(86%对 67%),而在深部 CM 中,两组的 mRS 评分已经一致(1 对 0)。在最后一次随访时,我们没有发现新的永久性神经功能缺损。根据病变位置和大小、症状负担、癫痫检查以及观察期间的进一步临床过程,我们提出了一种治疗算法。无症状 CM 的儿科患者保守治疗是安全的。有症状的额叶 CM 患者应行全切除。对于需要避免神经功能受损的患者,采取部分切除的较不激进方法可持续改善深部 CM 患者的神经功能结局。

https://cdn.ncbi.nlm.nih.gov/pmc/blobs/bf98/9492558/3dfbd6518c75/10143_2022_1823_Fig1_HTML.jpg

文献检索

告别复杂PubMed语法,用中文像聊天一样搜索,搜遍4000万医学文献。AI智能推荐,让科研检索更轻松。

立即免费搜索

文件翻译

保留排版,准确专业,支持PDF/Word/PPT等文件格式,支持 12+语言互译。

免费翻译文档

深度研究

AI帮你快速写综述,25分钟生成高质量综述,智能提取关键信息,辅助科研写作。

立即免费体验