Dr. Rolf M. Schwiete Research Unit for Osteoarthritis, Department of Orthopedics (Friedrichsheim), University Hospital Frankfurt, Goethe University, 60528 Frankfurt am Main, Germany.
Department of Orthopedics (Friedrichsheim), University Hospital Frankfurt, Goethe University, 60528 Frankfurt am Main, Germany.
Int J Mol Sci. 2022 Jun 2;23(11):6245. doi: 10.3390/ijms23116245.
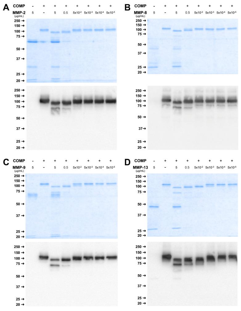
Matrix metalloproteinases (MMPs) play crucial roles in tissue homeostasis and pathologies by remodeling the extracellular matrix. Previous studies have demonstrated the biological activities of MMP-derived cleavage products. Furthermore, specific fragments can serve as biomarkers. Therefore, an in vitro cleavage assay to identify substrates and characterize cleavage patterns could provide important insight in disease-relevant mechanisms and the identification of novel biomarkers. In the pathogenesis of osteoarthritis (OA), MMP-2, -8, -9 and -13 are of vital importance. However, it is unclear which protease can cleave which matrix component. To address this question, we established an in vitro cleavage assay using recombinantly expressed MMPs and the two cartilage matrix components, COMP and thrombospondin-4. We found a time- and concentration-dependent degradation and an MMP-specific cleavage pattern for both proteins. Cleavage products can now be enriched and purified to investigate their biological activity. To verify the in vivo relevance, we compared the in vitro cleavage patterns with serum and synovial fluid from OA patients and could indeed detect fragments of similar size in the human samples. The cleavage assay can be adapted to other MMPs and substrates, making it a valuable tool for many research fields.
基质金属蛋白酶(MMPs)通过重塑细胞外基质在组织稳态和病理学中发挥关键作用。先前的研究已经证明了 MMP 衍生的切割产物的生物学活性。此外,特定的片段可以作为生物标志物。因此,一种体外切割分析方法可以识别底物并描述切割模式,从而为相关疾病机制和新型生物标志物的识别提供重要的见解。在骨关节炎(OA)的发病机制中,MMP-2、-8、-9 和 -13 至关重要。然而,目前尚不清楚哪种蛋白酶可以切割哪种基质成分。为了解决这个问题,我们使用重组表达的 MMP 和两种软骨基质成分 COMP 和血小板反应蛋白-4 建立了一种体外切割分析方法。我们发现两种蛋白都具有时间和浓度依赖性的降解和 MMP 特异性的切割模式。现在可以对切割产物进行富集和纯化,以研究它们的生物学活性。为了验证体内相关性,我们将体外切割模式与 OA 患者的血清和滑液进行了比较,确实可以在人样本中检测到大小相似的片段。该切割分析方法可以适应其他 MMP 和底物,使其成为许多研究领域的有价值的工具。