Suppr超能文献

胃癌中肿瘤浸润淋巴细胞、爱泼斯坦-巴尔病毒与感染之间的关系。

The relationship between tumour infiltrating lymphocytes, Epstein-Barr virus and infection in gastric cancer.

作者信息

Castañeda Carlos, Castillo Miluska, Bernabe Luis, Suarez Nancy, Fassan Matteo, Sanchez Joselyn, Tello Katherine, Alatrista Raul, Chavez Ivan, Ruiz Eloy, Bazan Yaqueline, Barreda Fernando, Valdivia Daniel, Meng Wei, Chakravarti Arnab, Sanchez Juvenal, Taxa Luis, Montenegro Paola

机构信息

Facultad de Ciencias de la Salud, Universidad Cientifica del Sur, Lima 15067, Peru.

Departamento de Oncologia Medica, Instituto Nacional de Enfermedades Neoplasicas, Lima 15038, Peru.

出版信息

Ecancermedicalscience. 2022 Mar 1;16:1362. doi: 10.3332/ecancer.2022.1362. eCollection 2022.

Abstract

OBJECTIVE

Epstein-Barr virus (EBV) and (HP) infections have been extensively recognised as gastric cancer (GC) triggers, and recent publications suggest they could behave as predictive markers for immune-modulating therapies. Tumour-infiltrating lymphocytes (TILs) have also been identified as a predictive biomarker for immunotherapy in different malignancies. This study aimed to investigate the association between EBV and HP infection with TIL levels in GC.

METHODS

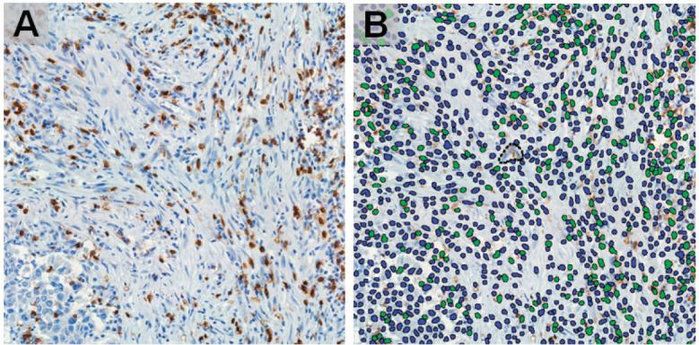
TIL evaluation in haematoxylin-eosin was performed by a pathologist and density of CD3, CD8 and CD163 positive (immunohistochemistry staining) immune cells was calculated with the use of digital pathology software. EBV infection was detected by hybridisation (ISH) and by quantitative polymerase chain reaction (qPCR). Methylation status of EBV-related genes was detected by PCR and a methylome analysis was performed by the Illumina Infinium MethylationEPIC BeadChip. HP status was detected by qPCR.

RESULTS

We included 98 resected GC Peruvian cases in our evaluation. Median TIL percentage was 30. The proportion of EBV+ detected by ISH was 24.1%, of EBV+ detected by qPCR was 41.8%, while 70% showed methylation of EBV-related genes, and 58.21% of cases were HP+. Younger age ( = 0.024), early stages ( = 0.001), HP+ ( = 0.036) and low CD8 density ( = 0.046) were associated with longer overall survival (OS). High TIL level was associated with intestinal subtype ( < 0.001), with grade 2 ( < 0.001), with EBV qPCR+ ( = 0.001), and with methylation of EBV-related genes ( = 0.007). Cases with high TIL level and cases that are EBV positive share eight genes with similarly methylated status in the metabolomic analysis. High CD8 density was associated with EBV PCR+ ( = 0.012) and HP- (0.005).

CONCLUSION

Lower CD8 density and HP+ predict longer OS. High TIL level is associated with EBV+ and methylation of EBV-related genes, while lower CD8 density is associated with HP+ GC.

摘要

目的

爱泼斯坦 - 巴尔病毒(EBV)和幽门螺杆菌(HP)感染已被广泛认为是胃癌(GC)的触发因素,最近的出版物表明它们可能作为免疫调节治疗的预测标志物。肿瘤浸润淋巴细胞(TILs)也已被确定为不同恶性肿瘤免疫治疗的预测生物标志物。本研究旨在探讨GC中EBV和HP感染与TIL水平之间的关联。

方法

由病理学家对苏木精 - 伊红染色的TIL进行评估,并使用数字病理软件计算CD3、CD8和CD163阳性(免疫组织化学染色)免疫细胞的密度。通过原位杂交(ISH)和定量聚合酶链反应(qPCR)检测EBV感染。通过PCR检测EBV相关基因的甲基化状态,并使用Illumina Infinium MethylationEPIC BeadChip进行甲基化组分析。通过qPCR检测HP状态。

结果

我们在评估中纳入了98例秘鲁GC切除病例。TIL百分比中位数为30。ISH检测到的EBV +比例为24.1%,qPCR检测到的EBV +比例为41.8%,而70%显示EBV相关基因甲基化,58.21%的病例为HP +。较年轻的年龄(P = 0.024)、早期阶段(P = 0.001)、HP +(P = 0.036)和低CD8密度(P = 0.046)与更长的总生存期(OS)相关。高TIL水平与肠型(P < 0.001)、2级(P < 0.001)、EBV qPCR +(P = 0.001)以及EBV相关基因甲基化(P = 0.007)相关。在代谢组分析中,高TIL水平的病例和EBV阳性的病例共享8个甲基化状态相似的基因。高CD8密度与EBV PCR +(P = 0.012)和HP -(P = 0.005)相关。

结论

较低的CD8密度和HP +预示着更长的OS。高TIL水平与EBV +和EBV相关基因甲基化相关,而较低的CD8密度与HP + GC相关。

https://cdn.ncbi.nlm.nih.gov/pmc/blobs/3028/9085163/5ac073421e0e/can-16-1362fig1.jpg

文献AI研究员

20分钟写一篇综述,助力文献阅读效率提升50倍。

立即体验

用中文搜PubMed

大模型驱动的PubMed中文搜索引擎

马上搜索

文档翻译

学术文献翻译模型,支持多种主流文档格式。

立即体验