Aix Marseille Univ, APHM, INSERM, MMG, Hôpital la Timone, Service de Biologie Cellulaire, Marseille, France.
Nîmes Pathologie, Laboratoire d'Anatomopathologie, Nîmes, France.
Cytopathology. 2022 Sep;33(5):633-635. doi: 10.1111/cyt.13156. Epub 2022 Jun 24.
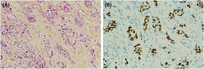
The transformation of lung adenocarcinoma to combined small cell lung cancer is a rare mechanism of acquired resistance to tyrosine kinase inhibitors. This case describes this mechanism in a pleural effusion of a young patient treated with osimertinib for 18 months.
肺腺癌向小细胞肺癌的转化是酪氨酸激酶抑制剂获得性耐药的一种罕见机制。本病例描述了 18 个月前接受奥希替尼治疗的年轻患者胸腔积液中出现这种机制的情况。