• 文献检索
  • 文档翻译
  • 深度研究
  • 学术资讯
  • Suppr Zotero 插件Zotero 插件
  • 邀请有礼
  • 套餐&价格
  • 历史记录
应用&插件
Suppr Zotero 插件Zotero 插件浏览器插件Mac 客户端Windows 客户端微信小程序
定价
高级版会员购买积分包购买API积分包
服务
文献检索文档翻译深度研究API 文档MCP 服务
关于我们
关于 Suppr公司介绍联系我们用户协议隐私条款
关注我们

Suppr 超能文献

核心技术专利:CN118964589B侵权必究
粤ICP备2023148730 号-1Suppr @ 2026

文献检索

告别复杂PubMed语法,用中文像聊天一样搜索,搜遍4000万医学文献。AI智能推荐,让科研检索更轻松。

立即免费搜索

文件翻译

保留排版,准确专业,支持PDF/Word/PPT等文件格式,支持 12+语言互译。

免费翻译文档

深度研究

AI帮你快速写综述,25分钟生成高质量综述,智能提取关键信息,辅助科研写作。

立即免费体验

评估自掺杂聚(5-硝基-2-邻氨基苯甲酸)作为阻垢剂以控制溶液中碳酸钙和硫酸钙沉淀的性能。

Assessment of self-doped poly (5-nitro-2-orthanilic acid) as a scaling inhibitor to control the precipitation of CaCO and CaSO in solution.

作者信息

Hassan Hammed H A M, Abd-El-Khalek Dalia E, Abdel Fattah Marwa

机构信息

Chemistry Department, Faculty of Science, Alexandria University, P.O. 2, Moharram Beck, Alexandria, Egypt.

National Institute of Oceanography and Fisheries, NIOF, Cairo, Egypt.

出版信息

Sci Rep. 2022 Jun 13;12(1):9722. doi: 10.1038/s41598-022-13564-9.

DOI:10.1038/s41598-022-13564-9
PMID:35697710
原文链接:https://pmc.ncbi.nlm.nih.gov/articles/PMC9192702/
Abstract

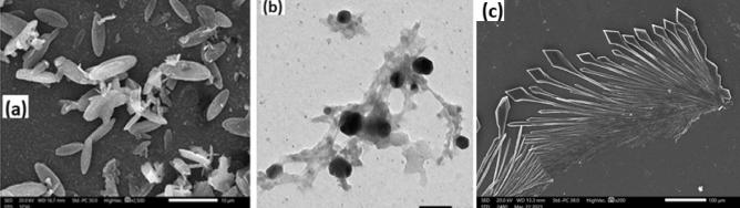
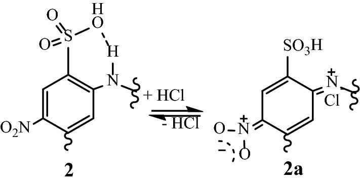
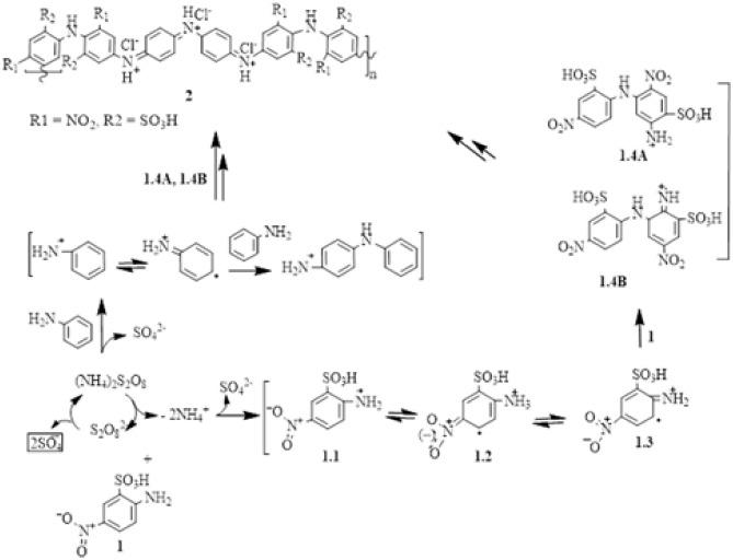
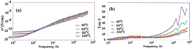
Self-doped- and nitro-polyanilines have become a widely used strategy to optimize the electronic and vibratory spectra of polymeric building blocks in various applications. We report the synthesis of poly (5-nitro-2-orthanilic acid) by an aniline-initiated oxidative polymerization reaction. The polymer is characterized by spectroscopic techniques, elemental shapes, cyclic voltammetry, electrical conductivity, and microscopic and thermal measurements. The hydrophilic and hydrophobic nature of the supports provided the formation of amphiphilicity as judged by SEM. Thermogravimetric measurements reveal thermal stability up to 500 °C and glass temperature (T) observed at 240 °C. Electrical conductivity decreases as the temperature rises at the different frequencies used, reflecting the semiconducting nature in the extrinsic range, which is characterized by high carriers and low mobility. The presence of these electron residues causes a decrease in efficiency and increases the thermal conductivity. Dielectric measurements have shown that permittivity decreases gradually at lower levels, mainly due to the transport of charging carriers, resulting in higher performance. The testing of the copolymer as a new scale blocker has resulted in moderate to fairly high performance. This effect is attributed to the change in polymer geometry using intramolecular H-bonding group -SOH and a chain polymer in an aqueous medium.

摘要

自掺杂和硝基聚苯胺已成为优化各种应用中聚合物构建块的电子和振动光谱的一种广泛使用的策略。我们报道了通过苯胺引发的氧化聚合反应合成聚(5-硝基-2-邻氨基苯甲酸)。该聚合物通过光谱技术、元素形态、循环伏安法、电导率以及微观和热测量进行表征。通过扫描电子显微镜判断,载体的亲水和疏水性质导致了两亲性的形成。热重测量显示热稳定性高达500℃,玻璃化温度(T)在240℃时观察到。在不同使用频率下,电导率随温度升高而降低,反映了在外部范围内的半导体性质,其特征是高载流子和低迁移率。这些电子残留物的存在导致效率降低并增加热导率。介电测量表明,在较低水平下介电常数逐渐降低,主要是由于电荷载流子的传输,从而导致更高的性能。将该共聚物作为一种新型阻垢剂进行测试,结果显示出中等至相当高的性能。这种效果归因于在水性介质中使用分子内氢键基团-SOH和链状聚合物导致的聚合物几何形状的变化。

https://cdn.ncbi.nlm.nih.gov/pmc/blobs/2331/9192702/404b4f335d93/41598_2022_13564_Fig17_HTML.jpg
https://cdn.ncbi.nlm.nih.gov/pmc/blobs/2331/9192702/510c36cb4e91/41598_2022_13564_Fig1_HTML.jpg
https://cdn.ncbi.nlm.nih.gov/pmc/blobs/2331/9192702/955a7519f5f0/41598_2022_13564_Fig2_HTML.jpg
https://cdn.ncbi.nlm.nih.gov/pmc/blobs/2331/9192702/87df0639d013/41598_2022_13564_Fig3_HTML.jpg
https://cdn.ncbi.nlm.nih.gov/pmc/blobs/2331/9192702/f920f59064e7/41598_2022_13564_Fig4_HTML.jpg
https://cdn.ncbi.nlm.nih.gov/pmc/blobs/2331/9192702/72989195c59c/41598_2022_13564_Fig5_HTML.jpg
https://cdn.ncbi.nlm.nih.gov/pmc/blobs/2331/9192702/23ccf262a5e8/41598_2022_13564_Fig6_HTML.jpg
https://cdn.ncbi.nlm.nih.gov/pmc/blobs/2331/9192702/a8d55290daf4/41598_2022_13564_Fig7_HTML.jpg
https://cdn.ncbi.nlm.nih.gov/pmc/blobs/2331/9192702/ea4f8a4eb211/41598_2022_13564_Fig8_HTML.jpg
https://cdn.ncbi.nlm.nih.gov/pmc/blobs/2331/9192702/af2f57c1b333/41598_2022_13564_Fig9_HTML.jpg
https://cdn.ncbi.nlm.nih.gov/pmc/blobs/2331/9192702/67878c5a4a2a/41598_2022_13564_Fig10_HTML.jpg
https://cdn.ncbi.nlm.nih.gov/pmc/blobs/2331/9192702/d7f2e14de4b7/41598_2022_13564_Fig11_HTML.jpg
https://cdn.ncbi.nlm.nih.gov/pmc/blobs/2331/9192702/392d3e311b41/41598_2022_13564_Fig12_HTML.jpg
https://cdn.ncbi.nlm.nih.gov/pmc/blobs/2331/9192702/b1af235a467e/41598_2022_13564_Fig13_HTML.jpg
https://cdn.ncbi.nlm.nih.gov/pmc/blobs/2331/9192702/11bf644c944b/41598_2022_13564_Fig14_HTML.jpg
https://cdn.ncbi.nlm.nih.gov/pmc/blobs/2331/9192702/3263b8826b97/41598_2022_13564_Fig15_HTML.jpg
https://cdn.ncbi.nlm.nih.gov/pmc/blobs/2331/9192702/496f0c0ff39b/41598_2022_13564_Fig16_HTML.jpg
https://cdn.ncbi.nlm.nih.gov/pmc/blobs/2331/9192702/404b4f335d93/41598_2022_13564_Fig17_HTML.jpg
https://cdn.ncbi.nlm.nih.gov/pmc/blobs/2331/9192702/510c36cb4e91/41598_2022_13564_Fig1_HTML.jpg
https://cdn.ncbi.nlm.nih.gov/pmc/blobs/2331/9192702/955a7519f5f0/41598_2022_13564_Fig2_HTML.jpg
https://cdn.ncbi.nlm.nih.gov/pmc/blobs/2331/9192702/87df0639d013/41598_2022_13564_Fig3_HTML.jpg
https://cdn.ncbi.nlm.nih.gov/pmc/blobs/2331/9192702/f920f59064e7/41598_2022_13564_Fig4_HTML.jpg
https://cdn.ncbi.nlm.nih.gov/pmc/blobs/2331/9192702/72989195c59c/41598_2022_13564_Fig5_HTML.jpg
https://cdn.ncbi.nlm.nih.gov/pmc/blobs/2331/9192702/23ccf262a5e8/41598_2022_13564_Fig6_HTML.jpg
https://cdn.ncbi.nlm.nih.gov/pmc/blobs/2331/9192702/a8d55290daf4/41598_2022_13564_Fig7_HTML.jpg
https://cdn.ncbi.nlm.nih.gov/pmc/blobs/2331/9192702/ea4f8a4eb211/41598_2022_13564_Fig8_HTML.jpg
https://cdn.ncbi.nlm.nih.gov/pmc/blobs/2331/9192702/af2f57c1b333/41598_2022_13564_Fig9_HTML.jpg
https://cdn.ncbi.nlm.nih.gov/pmc/blobs/2331/9192702/67878c5a4a2a/41598_2022_13564_Fig10_HTML.jpg
https://cdn.ncbi.nlm.nih.gov/pmc/blobs/2331/9192702/d7f2e14de4b7/41598_2022_13564_Fig11_HTML.jpg
https://cdn.ncbi.nlm.nih.gov/pmc/blobs/2331/9192702/392d3e311b41/41598_2022_13564_Fig12_HTML.jpg
https://cdn.ncbi.nlm.nih.gov/pmc/blobs/2331/9192702/b1af235a467e/41598_2022_13564_Fig13_HTML.jpg
https://cdn.ncbi.nlm.nih.gov/pmc/blobs/2331/9192702/11bf644c944b/41598_2022_13564_Fig14_HTML.jpg
https://cdn.ncbi.nlm.nih.gov/pmc/blobs/2331/9192702/3263b8826b97/41598_2022_13564_Fig15_HTML.jpg
https://cdn.ncbi.nlm.nih.gov/pmc/blobs/2331/9192702/496f0c0ff39b/41598_2022_13564_Fig16_HTML.jpg
https://cdn.ncbi.nlm.nih.gov/pmc/blobs/2331/9192702/404b4f335d93/41598_2022_13564_Fig17_HTML.jpg

相似文献

1
Assessment of self-doped poly (5-nitro-2-orthanilic acid) as a scaling inhibitor to control the precipitation of CaCO and CaSO in solution.评估自掺杂聚(5-硝基-2-邻氨基苯甲酸)作为阻垢剂以控制溶液中碳酸钙和硫酸钙沉淀的性能。
Sci Rep. 2022 Jun 13;12(1):9722. doi: 10.1038/s41598-022-13564-9.
2
Synthesis of electroconducting narrowly distributed nanoparticles and nanocomposite films of orthanilic acid/aniline copolymers.邻氨基苯甲酸/苯胺共聚物的导电窄分布纳米颗粒及纳米复合膜的合成。
J Comb Chem. 2006 Mar-Apr;8(2):174-83. doi: 10.1021/cc050126y.
3
Processable dodecylbenzene sulfonic acid (DBSA) doped poly(N-vinyl carbazole)-poly(pyrrole) for optoelectronic applications.用于光电应用的可加工十二烷基苯磺酸(DBSA)掺杂聚(N-乙烯基咔唑)-聚(吡咯)。
Des Monomers Polym. 2016 Dec 27;20(1):368-377. doi: 10.1080/15685551.2016.1271086. eCollection 2017.
4
A New Polystyrene-Poly(vinylpyridinium) Ionic Copolymer Dopant for n-Type All-Polymer Thermoelectrics with High and Stable Conductivity Relative to the Seebeck Coefficient giving High Power Factor.一种新型聚苯乙烯-聚(乙烯基吡啶鎓)离子共聚物掺杂剂,用于n型全聚合物热电器件,相对于塞贝克系数具有高且稳定的电导率,从而具有高功率因子。
Adv Mater. 2022 Jul;34(27):e2201062. doi: 10.1002/adma.202201062. Epub 2022 May 29.
5
Erratum: Preparation of Poly(pentafluorophenyl acrylate) Functionalized SiO2 Beads for Protein Purification.勘误:用于蛋白质纯化的聚(丙烯酸五氟苯酯)功能化二氧化硅微珠的制备
J Vis Exp. 2019 Apr 30(146). doi: 10.3791/6328.
6
Chemical Oxidative Polymerization of 2-Aminothiazole in Aqueous Solution: Synthesis, Characterization and Kinetics Study.2-氨基噻唑在水溶液中的化学氧化聚合:合成、表征及动力学研究
Polymers (Basel). 2016 Nov 23;8(11):407. doi: 10.3390/polym8110407.
7
Synthesis of a Smart Conductive Block Copolymer Responsive to Heat and Near Infrared Light.一种对热和近红外光响应的智能导电嵌段共聚物的合成。
Polymers (Basel). 2019 Oct 24;11(11):1744. doi: 10.3390/polym11111744.
8
Thermal conductivity of poly(3,4-ethylenedioxythiophene) films engineered by oxidative chemical vapor deposition (oCVD).通过氧化化学气相沉积(oCVD)制备的聚(3,4-乙撑二氧噻吩)薄膜的热导率。
RSC Adv. 2018 May 25;8(35):19348-19352. doi: 10.1039/c8ra03302a.
9
Comparative Investigation of the Thermoresponsive Behavior of Two Diblock Copolymers Comprising PNIPAM and PMDEGA Blocks.含聚N-异丙基丙烯酰胺(PNIPAM)和N,N'-二甲基乙二胺(PMDEGA)嵌段的两种二嵌段共聚物热响应行为的对比研究
J Phys Chem B. 2018 Mar 8;122(9):2655-2668. doi: 10.1021/acs.jpcb.7b09647. Epub 2018 Feb 21.
10
High temperature stable conjugated polyazomethines containing naphthalene moiety: Synthesis, characterization, optical, electrical and thermal properties.含萘基的高温稳定共轭聚甲亚胺:合成、表征、光学、电学和热性能
Spectrochim Acta A Mol Biomol Spectrosc. 2021 Feb 5;246:118989. doi: 10.1016/j.saa.2020.118989. Epub 2020 Sep 26.

引用本文的文献

1
Poly (aniline-co-aniline-2,5-disulfonic acid) / L-ascorbic acid / Ag@SiO / polysafranin nanocomposite: synthesis, characterization and anomalous electrical behaviour.聚(苯胺 - 共 - 苯胺 - 2,5 - 二磺酸)/ L - 抗坏血酸 / Ag@SiO / 藏红精纳米复合材料:合成、表征及异常电学行为
BMC Chem. 2024 Apr 20;18(1):79. doi: 10.1186/s13065-024-01174-7.

本文引用的文献

1
Effect of structural factors on the physicochemical properties of functionalized polyanilines.结构因素对功能化聚苯胺物理化学性质的影响。
RSC Adv. 2020 Feb 19;10(13):7468-7491. doi: 10.1039/c9ra08644g. eCollection 2020 Feb 18.
2
New application of brown sea algae as an alternative to phosphorous-containing antiscalant.褐藻作为含磷阻垢剂替代品的新应用。
Environ Technol. 2022 Jan;43(4):595-604. doi: 10.1080/09593330.2020.1797898. Epub 2020 Aug 1.
3
Rational design and electrical study of conducting bionanocomposites hydrogel based on chitosan and silver nanoparticles.
基于壳聚糖和银纳米粒子的导电生物纳米复合水凝胶的合理设计与电学研究。
Int J Biol Macromol. 2019 Nov 1;140:886-894. doi: 10.1016/j.ijbiomac.2019.08.199. Epub 2019 Aug 23.
4
Differently substituted sulfonated polyanilines: the role of polymer compositions in electron transfer with pyrroloquinoline quinone-dependent glucose dehydrogenase.不同取代的磺化聚苯胺:聚合物组成在与吡咯并喹啉醌依赖葡萄糖脱氢酶的电子转移中的作用。
Acta Biomater. 2013 Sep;9(9):8290-8. doi: 10.1016/j.actbio.2013.06.008. Epub 2013 Jun 15.
5
Broad spectrum antimicrobial activity of functionalized polyanilines.功能化聚苯胺的广谱抗菌活性。
Acta Biomater. 2011 Dec;7(12):4204-9. doi: 10.1016/j.actbio.2011.07.018. Epub 2011 Jul 24.