• 文献检索
  • 文档翻译
  • 深度研究
  • 学术资讯
  • Suppr Zotero 插件Zotero 插件
  • 邀请有礼
  • 套餐&价格
  • 历史记录
应用&插件
Suppr Zotero 插件Zotero 插件浏览器插件Mac 客户端Windows 客户端微信小程序
定价
高级版会员购买积分包购买API积分包
服务
文献检索文档翻译深度研究API 文档MCP 服务
关于我们
关于 Suppr公司介绍联系我们用户协议隐私条款
关注我们

Suppr 超能文献

核心技术专利:CN118964589B侵权必究
粤ICP备2023148730 号-1Suppr @ 2026

文献检索

告别复杂PubMed语法,用中文像聊天一样搜索,搜遍4000万医学文献。AI智能推荐,让科研检索更轻松。

立即免费搜索

文件翻译

保留排版,准确专业,支持PDF/Word/PPT等文件格式,支持 12+语言互译。

免费翻译文档

深度研究

AI帮你快速写综述,25分钟生成高质量综述,智能提取关键信息,辅助科研写作。

立即免费体验

孤立性脾梗死:术后心房颤动的首发表现。

Isolated Splenic Infarction: An Initial Manifestation of Postoperative Atrial Fibrillation.

机构信息

Department of Internal Medicine, Jefferson Health-Abington, PA, USA.

Department of Pulmonary and Critical Care, Thomas Jefferson University, Philadelphia, PA, USA.

出版信息

J Investig Med High Impact Case Rep. 2022 Jan-Dec;10:23247096221103384. doi: 10.1177/23247096221103384.

DOI:10.1177/23247096221103384
PMID:35699230
原文链接:https://pmc.ncbi.nlm.nih.gov/articles/PMC9201299/
Abstract

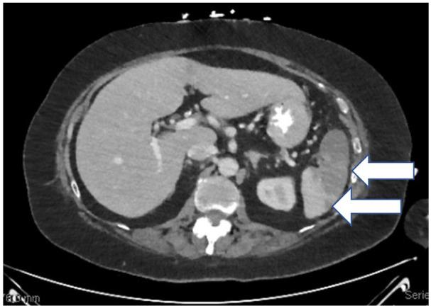
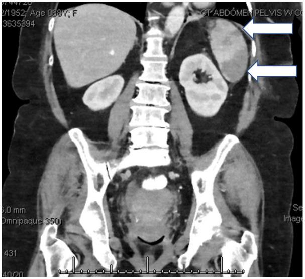
Splenic infarction is an uncommon cause of abdominal pain. In this article, we present a case of isolated splenic infarction presenting with severe abdominal pain, nausea, and with associated generalized weakness. Computed tomography (CT) abdomen and pelvis with contrast revealed multiple splenic infarctions of the entire lower pole with occlusion of the branch splenic arteries, while CT abdomen without contrast was unremarkable. Etiology was later revealed to be thromboembolism secondary to atrial fibrillation. It was managed with anticoagulation. To our knowledge, this is the second case of splenic infarction presenting as an initial manifestation of atrial fibrillation (AF), reported in the literature.

摘要

脾梗死是腹痛的一种不常见原因。本文报告了一例以严重腹痛、恶心和全身无力为表现的孤立性脾梗死。腹部和骨盆 CT 增强扫描显示整个下极有多处脾梗死,脾动脉分支闭塞,而腹部 CT 平扫未见异常。病因后来被确定为房颤继发的血栓栓塞。给予抗凝治疗。据我们所知,这是文献中报道的第二个以房颤(AF)首发表现的脾梗死病例。

https://cdn.ncbi.nlm.nih.gov/pmc/blobs/32e5/9201299/ebc4efaa9826/10.1177_23247096221103384-fig2.jpg
https://cdn.ncbi.nlm.nih.gov/pmc/blobs/32e5/9201299/cd9804489df1/10.1177_23247096221103384-fig1.jpg
https://cdn.ncbi.nlm.nih.gov/pmc/blobs/32e5/9201299/ebc4efaa9826/10.1177_23247096221103384-fig2.jpg
https://cdn.ncbi.nlm.nih.gov/pmc/blobs/32e5/9201299/cd9804489df1/10.1177_23247096221103384-fig1.jpg
https://cdn.ncbi.nlm.nih.gov/pmc/blobs/32e5/9201299/ebc4efaa9826/10.1177_23247096221103384-fig2.jpg

相似文献

1
Isolated Splenic Infarction: An Initial Manifestation of Postoperative Atrial Fibrillation.孤立性脾梗死:术后心房颤动的首发表现。
J Investig Med High Impact Case Rep. 2022 Jan-Dec;10:23247096221103384. doi: 10.1177/23247096221103384.
2
Acute renal and splenic infarctions as the initial manifestations of atrial fibrillation.急性肾梗死和脾梗死作为心房颤动的初始表现。
Lancet. 2019 May 4;393(10183):1856. doi: 10.1016/S0140-6736(19)30839-6.
3
Splenic and renal infarctions complicating atrial fibrillation.并发心房颤动的脾梗死和肾梗死
Mt Sinai J Med. 1997 Sep-Oct;64(4-5):342-9.
4
Splenic infarct presenting as acute abdominal pain in an older patient.老年患者中以急性腹痛为表现的脾梗死。
J Emerg Med. 1996 May-Jun;14(3):319-22. doi: 10.1016/0736-4679(96)00026-1.
5
[A splenic infarct due to cardiac thromboembolism in the course of nonrheumatic atrial fibrillation].[非风湿性心房颤动病程中因心脏血栓栓塞导致的脾梗死]
Ital Heart J Suppl. 2000 Feb;1(2):274-5.
6
[A 63 year old male with abdominal pain and atrial fibrillation].一名63岁男性,伴有腹痛和心房颤动
Gac Med Mex. 2010 Jul-Aug;146(4):289-90.
7
[A rare cause of acute abdomen: splenic infarction. Case report and review of the literature].[急性腹痛的罕见病因:脾梗死。病例报告及文献复习]
G Chir. 2010 Aug-Sep;31(8-9):397-9.
8
Acute Splenic Infarction at an Academic General Hospital Over 10 Years: Presentation, Etiology, and Outcome.一家学术型综合医院10年间的急性脾梗死:临床表现、病因及转归
Medicine (Baltimore). 2015 Sep;94(36):e1363. doi: 10.1097/MD.0000000000001363.
9
Risk assessment and prognostic analysis of patients with splenic infarction in emergency department: a multicenter retrospective study.急诊科脾梗死患者的风险评估和预后分析:一项多中心回顾性研究。
Sci Rep. 2021 Nov 2;11(1):21423. doi: 10.1038/s41598-021-00897-0.
10
Hypertrophic cardiomyopathy with mid-ventricular obstruction and splenic infarction associated with paroxysmal atrial fibrillation: a case report.肥厚型心肌病伴心室中部梗阻及脾梗死合并阵发性心房颤动:一例报告
J Cardiol. 1999 Nov;34(5):273-7.

引用本文的文献

1
Case report: Splenic infarction secondary to asymptomatic atrial fibrillation, necessitating splenectomy.病例报告:无症状性心房颤动继发脾梗死,需行脾切除术。
Int J Surg Case Rep. 2025 Jan;126:110756. doi: 10.1016/j.ijscr.2024.110756. Epub 2024 Dec 17.

本文引用的文献

1
Anticoagulant Therapy Is Associated With Decreased Long-Term Mortality in Splenic Infarction Patients: A Multicenter Study.抗凝治疗与脾梗死患者长期死亡率降低相关:一项多中心研究
Front Med (Lausanne). 2021 Nov 29;8:778198. doi: 10.3389/fmed.2021.778198. eCollection 2021.
2
Risk assessment and prognostic analysis of patients with splenic infarction in emergency department: a multicenter retrospective study.急诊科脾梗死患者的风险评估和预后分析:一项多中心回顾性研究。
Sci Rep. 2021 Nov 2;11(1):21423. doi: 10.1038/s41598-021-00897-0.
3
Splenic infarction and infectious diseases in Korea.
韩国的脾梗死与传染性疾病。
BMC Infect Dis. 2020 Dec 2;20(1):915. doi: 10.1186/s12879-020-05645-9.
4
Polycythemia vera and essential thrombocythemia: 2021 update on diagnosis, risk-stratification and management.真性红细胞增多症和原发性血小板增多症:2021 年诊断、风险分层和治疗更新。
Am J Hematol. 2020 Dec;95(12):1599-1613. doi: 10.1002/ajh.26008. Epub 2020 Oct 23.
5
Assessment of Clinical Conditions Associated With Splenic Infarction in Adult Patients.成人患者脾梗死相关临床情况评估。
JAMA Intern Med. 2020 Aug 1;180(8):1125-1128. doi: 10.1001/jamainternmed.2020.2168.
6
Acute renal and splenic infarctions as the initial manifestations of atrial fibrillation.急性肾梗死和脾梗死作为心房颤动的初始表现。
Lancet. 2019 May 4;393(10183):1856. doi: 10.1016/S0140-6736(19)30839-6.
7
A practical approach to infarction of the spleen as a rare manifestation of multiple common diseases.以一种实用的方法来处理脾脏梗死,这是多种常见疾病的罕见表现。
Ann Med. 2018 Sep;50(6):494-500. doi: 10.1080/07853890.2018.1492148. Epub 2018 Jul 31.
8
Molecular testing for JAK2, MPL, and CALR in myeloproliferative neoplasms.对骨髓增殖性肿瘤中的 JAK2、MPL 和 CALR 进行分子检测。
Am J Hematol. 2016 Dec;91(12):1277-1280. doi: 10.1002/ajh.24578.
9
Acute nontraumatic splenic infarctions at a tertiary-care center: causes and predisposing factors in 123 patients.一家三级医疗中心的急性非创伤性脾梗死:123例患者的病因及诱发因素
Emerg Radiol. 2016 Apr;23(2):155-60. doi: 10.1007/s10140-016-1376-3. Epub 2016 Jan 21.
10
Acute Splenic Infarction at an Academic General Hospital Over 10 Years: Presentation, Etiology, and Outcome.一家学术型综合医院10年间的急性脾梗死:临床表现、病因及转归
Medicine (Baltimore). 2015 Sep;94(36):e1363. doi: 10.1097/MD.0000000000001363.