Suppr超能文献

一例血清抗肾小球基底膜阳性但肾小球基底膜免疫荧光染色无线性表现的新月体性肾小球肾炎病例报告

A Case Report of Crescentic Glomerulonephritis With Positive Serum Anti-glomerular Basement Membrane Without Linear Glomerular Basement Membrane Immunofluorescent Staining.

作者信息

Faisal Mohannad, Shams Abdullah, Archichige Suresh, Hamdi Ahmed, Akhtar Mohammed

机构信息

Internal Medicine, Hamad Medical Corporation, Doha, QAT.

internal Medicine, Hamad Medical Corporation, Doha, QAT.

出版信息

Cureus. 2022 May 10;14(5):e24879. doi: 10.7759/cureus.24879. eCollection 2022 May.

Abstract

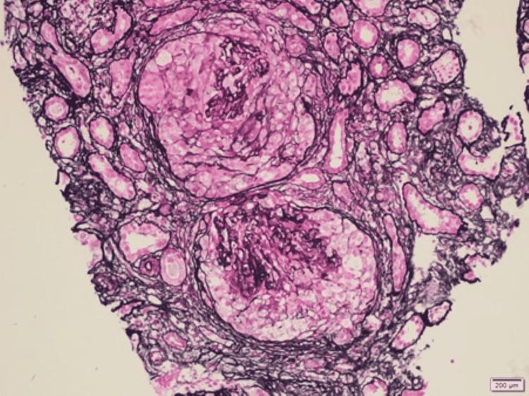
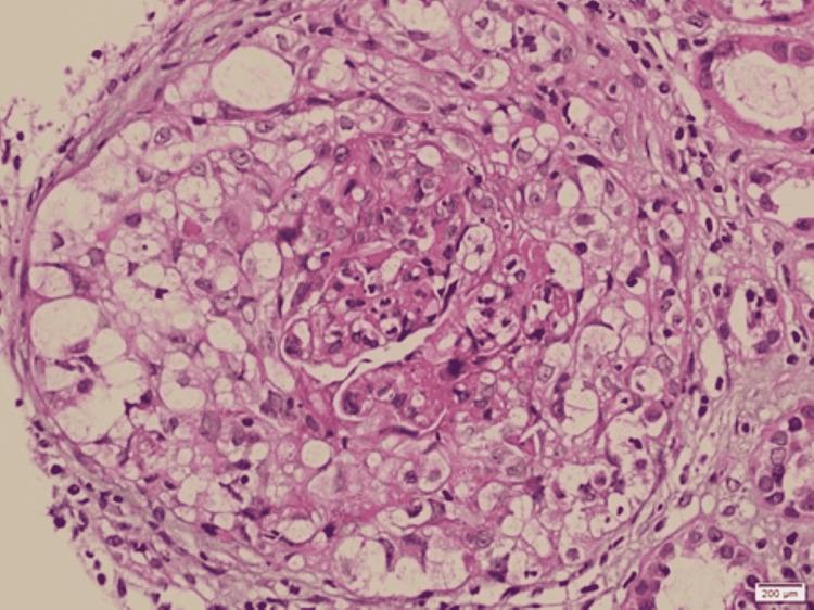
Anti-glomerular basement membrane (anti-GBM) disease is an autoimmune disorder characterized by the production of circulating immunoglobulin G (IgG) antibodies that affect the kidneys and lungs, mainly in the form of rapidly progressive crescentic glomerulonephritis and pulmonary hemorrhage. Typically diagnosed on tissue biopsy, findings mainly include glomerular crescent formation, bright linear staining of GBM for IgG on direct immunofluorescence (IF), and the serologic presence of circulating anti-GBM antibodies. Variation in the laboratory results, where histological findings of linear IgG IF staining were present in the absence of circulating anti-GBM antibodies, have recently led to the use of the term "atypical anti-GBM disease," which usually has a distinct benign clinical outcome as compared to typical anti-GBM disease. We report a case of a middle-aged woman who presented with renal failure without lung involvement. Upon further investigation, the patient was found to have strongly positive serum anti-GBM antibodies, but the tissue biopsy did not show typical findings of the anti-GBM disease. The patient showed modest improvement after multiple sessions of plasmapheresis and steroids, with stabilization of her renal parameters after the initial response. In our case, we will address the possibilities of the discrepancies between the serological and histopathological findings.

摘要

抗肾小球基底膜(anti-GBM)病是一种自身免疫性疾病,其特征是产生循环免疫球蛋白G(IgG)抗体,主要以快速进展性新月体性肾小球肾炎和肺出血的形式影响肾脏和肺。通常通过组织活检进行诊断,主要发现包括肾小球新月体形成、直接免疫荧光(IF)下GBM对IgG的明亮线性染色以及循环抗GBM抗体的血清学存在。实验室结果存在差异,即在线性IgG IF染色的组织学发现存在时却没有循环抗GBM抗体,这最近导致了“非典型抗GBM病”这一术语的使用,与典型抗GBM病相比,其通常具有明显不同的良性临床结局。我们报告一例中年女性病例,该患者出现肾衰竭但无肺部受累。进一步检查发现,患者血清抗GBM抗体呈强阳性,但组织活检未显示抗GBM病的典型表现。经过多次血浆置换和类固醇治疗后,患者病情有适度改善,初始反应后肾脏参数稳定。在我们的病例中,我们将探讨血清学和组织病理学结果之间差异的可能性。

https://cdn.ncbi.nlm.nih.gov/pmc/blobs/7637/9179943/ae7b50cabf55/cureus-0014-00000024879-i01.jpg

文献AI研究员

20分钟写一篇综述,助力文献阅读效率提升50倍。

立即体验

用中文搜PubMed

大模型驱动的PubMed中文搜索引擎

马上搜索

文档翻译

学术文献翻译模型,支持多种主流文档格式。

立即体验