Suppr超能文献

奥希替尼联合安罗替尼挽救治疗晚期肺腺癌伴软脑膜转移:一例报告

Salvage therapy of osimertinib plus anlotinib in advanced lung adenocarcinoma with leptomeningeal metastasis: A case report.

作者信息

Wu Kai, Fu Yifan, Gao Ziyuan, Jiang Junhong

机构信息

Department of Pulmonary and Critical Care Medicine, Dushu Lake Hospital Affiliated to Soochow University, Suzhou, China.

Department of Pulmonary and Critical Care Medicine, The First Affiliated Hospital of Soochow University, Suzhou, China.

出版信息

Respir Med Case Rep. 2022 Jun 6;38:101682. doi: 10.1016/j.rmcr.2022.101682. eCollection 2022.

Abstract

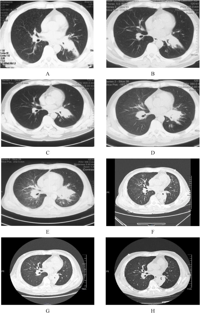
Leptomeningeal metastasis (LM) is one of the most serious complications of advanced non-small cell lung cancer (NSCLC) and lacks standard treatment. Patients with LM often have a poor prognosis. Here, we report a 51-year-old man diagnosed as advanced lung adenocarcinoma and gene sequencing indicated no sensitive driver gene mutation. Pemetrexed and cisplatin plus bevacizumab was administered as first-line therapy. He received pembrolizumab plus nab-paclitaxel as second-line therapy and developed neurological symptoms soon. Later, he was diagnosed LM by cerebrospinal fluid (CSF) cytology and gene sequencing of lung tissue rebiopsy demonstrated epidermal growth factor receptor (EGFR) sensitive mutation. The patient received high-dose (160mg) osimertinib therapy but still could not tolerate severe neurological symptoms and developed cardiac adverse event. After that, standard-dose (80mg) osimertinib plus anlotinib was administered and this treatment regimen resulted in the alleviation of neurological symptoms. As the recent follow up, the curative effect was evaluated stable disease (SD) and the patient gained a progression-free survival (PFS) of more than 15 months. We report this successful salvage therapy of osimertinib plus anlotinib in an advanced lung adenocarcinoma patient who developed LM after failure on previous treatment until EGFR mutation was confirmed through rebiopsy.

摘要

软脑膜转移(LM)是晚期非小细胞肺癌(NSCLC)最严重的并发症之一,且缺乏标准治疗方法。LM患者的预后通常较差。在此,我们报告一名51岁男性,被诊断为晚期肺腺癌,基因测序显示无敏感驱动基因突变。培美曲塞和顺铂联合贝伐单抗作为一线治疗方案。他接受帕博利珠单抗联合白蛋白结合型紫杉醇作为二线治疗,很快出现了神经症状。后来,通过脑脊液(CSF)细胞学检查诊断为LM,肺组织再次活检的基因测序显示表皮生长因子受体(EGFR)敏感突变。该患者接受了高剂量(160mg)奥希替尼治疗,但仍无法耐受严重的神经症状,并出现了心脏不良事件。此后,给予标准剂量(80mg)奥希替尼联合安罗替尼治疗,该治疗方案使神经症状得到缓解。作为近期随访,疗效评估为疾病稳定(SD),患者获得了超过15个月的无进展生存期(PFS)。我们报告了在一名晚期肺腺癌患者中奥希替尼联合安罗替尼的成功挽救治疗,该患者在先前治疗失败后发生LM,直至通过再次活检确认EGFR突变。

https://cdn.ncbi.nlm.nih.gov/pmc/blobs/edec/9189884/dae1ccddd108/gr1.jpg

文献AI研究员

20分钟写一篇综述,助力文献阅读效率提升50倍。

立即体验

用中文搜PubMed

大模型驱动的PubMed中文搜索引擎

马上搜索

文档翻译

学术文献翻译模型,支持多种主流文档格式。

立即体验