• 文献检索
  • 文档翻译
  • 深度研究
  • 学术资讯
  • Suppr Zotero 插件Zotero 插件
  • 邀请有礼
  • 套餐&价格
  • 历史记录
应用&插件
Suppr Zotero 插件Zotero 插件浏览器插件Mac 客户端Windows 客户端微信小程序
定价
高级版会员购买积分包购买API积分包
服务
文献检索文档翻译深度研究API 文档MCP 服务
关于我们
关于 Suppr公司介绍联系我们用户协议隐私条款
关注我们

Suppr 超能文献

核心技术专利:CN118964589B侵权必究
粤ICP备2023148730 号-1Suppr @ 2026

文献检索

告别复杂PubMed语法,用中文像聊天一样搜索,搜遍4000万医学文献。AI智能推荐,让科研检索更轻松。

立即免费搜索

文件翻译

保留排版,准确专业,支持PDF/Word/PPT等文件格式,支持 12+语言互译。

免费翻译文档

深度研究

AI帮你快速写综述,25分钟生成高质量综述,智能提取关键信息,辅助科研写作。

立即免费体验

恒牙列数字异常——病例报告

Numerical abnormalities of permanent dentition - a case report.

作者信息

Decusara Mioara, Cornea Daniela, Rusu-Negraia Magdalena, Şincar Cerasella Dorina

机构信息

Department of Dental Medicine, Faculty of Medicine and Pharmacy, Dunarea de Jos University, Galaţi, Romania.

出版信息

Med Pharm Rep. 2022 Jan;95(1):97-102. doi: 10.15386/mpr-1813. Epub 2022 Jan 31.

DOI:10.15386/mpr-1813
PMID:35720242
原文链接:https://pmc.ncbi.nlm.nih.gov/articles/PMC9177082/
Abstract

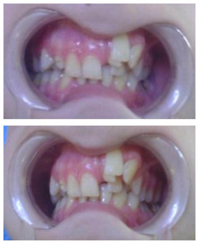
Tooth number abnormalities may occur under the influence of genetic or environmental factors which intervene in the tooth formation stages (induction and proliferation), most commonly the permanent dentition being affected. The result is the appearance of dental anomalies with numerical deficiency (hypodontia, anodontia), or with dental excess (hyperodontia, over-teeth). In this paper we report a case of a 15-year-old boy with associated abnormalities of permanent dentition: mesiodens and palatal impacted cuspid at the maxillary dental arch and incisor anodontia at the mandibular dental arch. Orthodontic treatment aimed at resolving maxillary dental crowding, obtaining dental alignment, a stable and functional occlusal relationship and a satisfactory smile for the patient.

摘要

牙齿数目异常可能在影响牙齿形成阶段(诱导和增殖)的遗传或环境因素作用下发生,最常受影响的是恒牙列。结果是出现牙齿数目不足(缺牙症、无牙症)或牙齿过多(多生牙、额外牙)的牙齿异常情况。在本文中,我们报告了一例15岁男孩伴有恒牙列相关异常的病例:上颌牙弓有正中多生牙和腭侧埋伏尖牙,下颌牙弓有切牙无牙症。正畸治疗旨在解决上颌牙列拥挤问题,实现牙齿排列整齐、稳定且功能良好的咬合关系,并为患者打造令人满意的笑容。

https://cdn.ncbi.nlm.nih.gov/pmc/blobs/fc2d/9177082/0abaec5b025e/cm-95-97f6.jpg
https://cdn.ncbi.nlm.nih.gov/pmc/blobs/fc2d/9177082/12f6969279d0/cm-95-97f1.jpg
https://cdn.ncbi.nlm.nih.gov/pmc/blobs/fc2d/9177082/31a874c0dd87/cm-95-97f2.jpg
https://cdn.ncbi.nlm.nih.gov/pmc/blobs/fc2d/9177082/e0a935646e9e/cm-95-97f3.jpg
https://cdn.ncbi.nlm.nih.gov/pmc/blobs/fc2d/9177082/a23963c7b240/cm-95-97f4.jpg
https://cdn.ncbi.nlm.nih.gov/pmc/blobs/fc2d/9177082/aabf1c2342bf/cm-95-97f5.jpg
https://cdn.ncbi.nlm.nih.gov/pmc/blobs/fc2d/9177082/0abaec5b025e/cm-95-97f6.jpg
https://cdn.ncbi.nlm.nih.gov/pmc/blobs/fc2d/9177082/12f6969279d0/cm-95-97f1.jpg
https://cdn.ncbi.nlm.nih.gov/pmc/blobs/fc2d/9177082/31a874c0dd87/cm-95-97f2.jpg
https://cdn.ncbi.nlm.nih.gov/pmc/blobs/fc2d/9177082/e0a935646e9e/cm-95-97f3.jpg
https://cdn.ncbi.nlm.nih.gov/pmc/blobs/fc2d/9177082/a23963c7b240/cm-95-97f4.jpg
https://cdn.ncbi.nlm.nih.gov/pmc/blobs/fc2d/9177082/aabf1c2342bf/cm-95-97f5.jpg
https://cdn.ncbi.nlm.nih.gov/pmc/blobs/fc2d/9177082/0abaec5b025e/cm-95-97f6.jpg

相似文献

1
Numerical abnormalities of permanent dentition - a case report.恒牙列数字异常——病例报告
Med Pharm Rep. 2022 Jan;95(1):97-102. doi: 10.15386/mpr-1813. Epub 2022 Jan 31.
2
Maxillary canine impactions related to impacted central incisors: two case reports.与埋伏中切牙相关的上颌尖牙埋伏阻生:两例病例报告。
J Contemp Dent Pract. 2007 Sep 1;8(6):72-81.
3
An orthopantomographic study of prevalence of hypodontia and hyperdontia in permanent dentition in Vadodara, Gujarat.古吉拉特邦瓦多达拉市恒牙列中缺牙症和多生牙患病率的曲面体层摄影研究
Indian J Dent Res. 2018 Jul-Aug;29(4):529-533. doi: 10.4103/ijdr.IJDR_215_16.
4
Management of a child with severe hypodontia in the mixed dentition stage of development.发育混合牙列期重度牙列缺损儿童的管理
Eur Arch Paediatr Dent. 2014 Dec;15(6):449-54. doi: 10.1007/s40368-014-0137-9. Epub 2014 Aug 5.
5
Dental anomalies in the primary dentition: distribution and correlation with the permanent dentition.乳牙列中的牙齿异常:分布及其与恒牙列的相关性。
J Clin Pediatr Dent. 1996 Fall;21(1):15-9.
6
Prevalence of mesiodens in orthodontic patients with deciduous and mixed dentition and its association with other dental anomalies.乳牙列和混合牙列正畸患者中额外牙的患病率及其与其他牙齿异常的关联。
Dental Press J Orthod. 2013 Nov-Dec;18(6):93-9. doi: 10.1590/s2176-94512013000600014.
7
Occlusal characteristics and prevalence of associated dental anomalies in the primary dentition.乳牙列的咬合特征及相关牙齿异常的患病率。
J Epidemiol Glob Health. 2015 Jun;5(2):151-7. doi: 10.1016/j.jegh.2014.07.001. Epub 2014 Aug 7.
8
Prevalence and distribution of dental anomalies: a comparison between maxillary and mandibular tooth agenesis.牙齿异常的患病率及分布:上颌与下颌牙齿缺失的比较
Am J Orthod Dentofacial Orthop. 2015 Nov;148(5):793-8. doi: 10.1016/j.ajodo.2015.05.024.
9
Comparison of mesiodistal crown dimension and arch width in subjects with and without hypodontia.有无缺牙患者的中近远中冠宽和牙弓宽度的比较。
J Esthet Restor Dent. 2013 Jun;25(3):203-10. doi: 10.1111/jerd.12026. Epub 2013 Apr 2.
10
Interceptive orthodontic management of mandibular lateral incisor-canine transposition using simplified and efficient biomechanical approach: A case report.采用简化高效生物力学方法矫治下颌侧切牙-尖牙易位:病例报告。
Int Orthod. 2022 Dec;20(4):100690. doi: 10.1016/j.ortho.2022.100690. Epub 2022 Sep 16.

引用本文的文献

1
Anterior Maxillary Mesiodens Extraction in a Young Adult Male: A Case Report.一名年轻成年男性上颌前正中多生牙拔除:病例报告
Cureus. 2024 Jul 10;16(7):e64208. doi: 10.7759/cureus.64208. eCollection 2024 Jul.

本文引用的文献

1
Management of Two Cases of Supernumerary Teeth.两例多生牙的治疗
Pediatr Dent. 2020 Jan 15;42(1):58-61.
2
Hypodontia of mandibular incisors: considerations on the orthodontic treatment.下颌切牙先天缺失:正畸治疗的相关考量
Dental Press J Orthod. 2018 Aug 1;23(4):79-87. doi: 10.1590/2177-6709.23.4.079-087.bbo.
3
Non syndromic supernumerary teeth: management of two clinical cases.非综合征性多生牙:两例临床病例的处理
Pan Afr Med J. 2018 Mar 19;29:163. doi: 10.11604/pamj.2018.29.163.14427. eCollection 2018.
4
Characteristics of Supernumerary Teeth in Nonsyndromic Population in an Urban Dental School Setting.城市牙科学校环境下非综合征人群多生牙的特征
J Oral Maxillofac Surg. 2018 May;76(5):933-938. doi: 10.1016/j.joms.2017.10.013. Epub 2017 Oct 16.
5
Hypodontia: An Update on Its Etiology, Classification, and Clinical Management.恒牙先天缺失:病因、分类及临床管理的最新进展
Biomed Res Int. 2017;2017:9378325. doi: 10.1155/2017/9378325. Epub 2017 Mar 19.
6
[Supernumerary teeth in the maxilla and mandible-an interdisciplinary challenge. Part 2: diagnostic pathways and current therapeutic concepts].[上颌骨和下颌骨中的多生牙——一项跨学科挑战。第2部分:诊断途径和当前治疗理念]
Swiss Dent J. 2016;126(3):237-59. doi: 10.61872/sdj-2016-03-03.
7
A rare occurrence of non-syndromic hypo-hyperdontia in the mandibular anterior region.下颌前部区域罕见的非综合征性少牙-多牙症。
J Clin Diagn Res. 2014 Aug;8(8):ZL01-2. doi: 10.7860/JCDR/2014/9401.4726. Epub 2014 Aug 20.
8
Developmental disorders of the dentition: an update.牙发育异常:最新进展。
Am J Med Genet C Semin Med Genet. 2013 Nov;163C(4):318-32. doi: 10.1002/ajmg.c.31382. Epub 2013 Oct 4.
9
Mesiodens: A clinical and radiographic study of 82 teeth in 55 children below 14 years.正中多生牙:对55名14岁以下儿童的82颗牙齿进行的临床及影像学研究。
J Pharm Bioallied Sci. 2013 Jun;5(Suppl 1):S60-2. doi: 10.4103/0975-7406.113298.
10
The Developmental Basis of Quantitative Craniofacial Variation in Humans and Mice.人类和小鼠颅面部定量变异的发育基础
Evol Biol. 2012 Dec;39(4):554-567. doi: 10.1007/s11692-012-9210-7. Epub 2012 Nov 20.