Suppr超能文献

富血小板血浆对股骨植入后I型胶原蛋白生成、VEGF表达及新生血管形成的影响:大鼠模型研究

The Effect of Platelet-Rich Plasma on Type I Collagen Production, VEGF Expression, and Neovascularization after Femoral Bone Implants: A Study on Rat Models.

作者信息

Rahman Safrizal, Sutedja Endang, Ayu Onarisa, Amirsyah Mirnasari

机构信息

Division of Orthopedics and Traumatology, Department of Surgery, School of Medicine, Universitas Syiah Kuala, Banda Aceh, Indonesia.

Division of Orthopedics and Traumatology, Department of Surgery, School of Medicine, Dr. Zainoel Abidin Hospital, Banda Aceh, Indonesia.

出版信息

Orthop Res Rev. 2022 Jun 13;14:207-214. doi: 10.2147/ORR.S359844. eCollection 2022.

Abstract

INTRODUCTION

Platelet-rich plasma (PRP) contains many growth factors, such as FGF, which induces the production of type I collagen, and VEGF, which induces neovascularization, all of which are important in bone healing. This study aimed to evaluate the effect of PRP administration on type I collagen production, VEGF expression, and neovascularization in rat models following femoral bone implants using K-wire.

METHODS

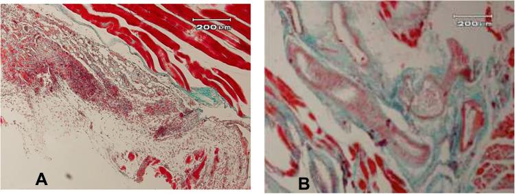
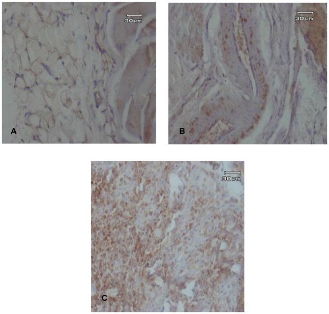
An experimental randomized control study was conducted on 24 white male rats () in the Wistar strain that underwent K-wire implantation, where PRP was administered to the treatment groups. The amount of type I collagen was measured by immunohistochemistry VEGF expression using sandwich ELISA, and neovascularization by histopathological examination.

RESULTS

The amount of type I collagen in the treatment group (50->150/field of view) was significantly higher than the control group (0-99/field of view; =0.003). VEGF expression in the treatment groups was significantly higher than controls: 10.90±4.47 and 2.29±0.92, respectively (=0.006). Mean number of new vessels formed on fibrotic capsules in the treatment groups was significantly (=0.007) higher than the control groups (2.69±1.03 vs 0.67±0.52).

CONCLUSION

The use of PRP significantly increased type I collagen production, VEGF expression, and neovascularization in rat models, elucidating the potential of PRP to be used in clinical settings to enhance the bone-healing process.

摘要

引言

富血小板血浆(PRP)含有多种生长因子,如诱导I型胶原蛋白产生的成纤维细胞生长因子(FGF)和诱导新血管形成的血管内皮生长因子(VEGF),所有这些在骨愈合中都很重要。本研究旨在评估在使用克氏针进行股骨植入的大鼠模型中,给予PRP对I型胶原蛋白产生、VEGF表达和新血管形成的影响。

方法

对24只接受克氏针植入的雄性Wistar品系白色大鼠进行了一项实验性随机对照研究,治疗组给予PRP。通过免疫组织化学测量I型胶原蛋白的量,使用夹心酶联免疫吸附测定法检测VEGF表达,并通过组织病理学检查评估新血管形成情况。

结果

治疗组中I型胶原蛋白的量(50->150/视野)显著高于对照组(0-99/视野;P=0.003)。治疗组中的VEGF表达显著高于对照组:分别为10.90±4.47和2.29±0.92(P=0.006)。治疗组中在纤维囊上形成的新血管平均数量显著高于对照组(P=0.007)(2.69±1.03对0.67±0.52)。

结论

在大鼠模型中,使用PRP显著增加了I型胶原蛋白的产生、VEGF表达和新血管形成,阐明了PRP在临床环境中用于促进骨愈合过程的潜力。

https://cdn.ncbi.nlm.nih.gov/pmc/blobs/b30d/9205433/a9a53fd0ea12/ORR-14-207-g0001.jpg

文献AI研究员

20分钟写一篇综述,助力文献阅读效率提升50倍。

立即体验

用中文搜PubMed

大模型驱动的PubMed中文搜索引擎

马上搜索

文档翻译

学术文献翻译模型,支持多种主流文档格式。

立即体验