Suppr超能文献

克唑替尼治疗后晚期 ALK 重排肺腺癌的肺部肉芽肿性炎症。

Pulmonary granulomatous inflammation after ceritinib treatment in advanced ALK-rearranged pulmonary adenocarcinoma.

机构信息

Department of Biotherapy, Cancer Center, West China Hospital, Sichuan University, Sichuan, Chengdu, China.

Department of Thoracic Oncology, West China Hospital, Sichuan University, Chengdu, Sichuan, China.

出版信息

Invest New Drugs. 2022 Oct;40(5):1141-1145. doi: 10.1007/s10637-022-01270-2. Epub 2022 Jun 21.

Abstract

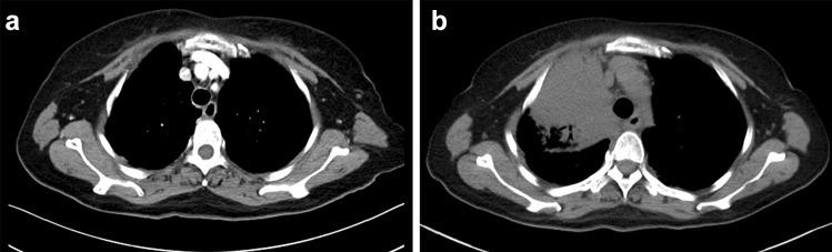
Ceritinib is a new anaplastic lymphoma kinase (ALK) inhibitor that has shown greater potency in patients with advanced ALK-rearranged non-small cell lung cancer, including those who had disease progression in crizotinib treatment. Here we reported, after several months of ceritinib treatment, two patients with advanced ALK-rearranged pulmonary adenocarcinoma exhibited a spectrum of respiratory symptoms like cough and dyspnea, with significantly higher inflammatory indicators. Chest computed tomography (CT) showed multiple bilateral and peripheral lesions in lungs. The prior considerations taken into account were disease progression or infection. However, biopsies of the pulmonary nodules revealed features of granulomatous inflammation without definite cancer cells. We documented for the first time that ceritinib might be associated with pulmonary granulomatous inflammation, and clinicians should be alert to the possibility that the rare adverse event emerged during ceritinib treatment.

摘要

塞瑞替尼是一种新型的间变性淋巴瘤激酶(ALK)抑制剂,在晚期ALK 重排的非小细胞肺癌患者中显示出更强的疗效,包括那些在克唑替尼治疗中疾病进展的患者。在这里,我们报告了两名晚期ALK 重排肺腺癌患者在接受塞瑞替尼治疗几个月后出现了一系列呼吸系统症状,如咳嗽和呼吸困难,同时炎症指标显著升高。胸部计算机断层扫描(CT)显示肺部多个双侧和外周病变。先前考虑的因素包括疾病进展或感染。然而,肺部结节的活检显示出肉芽肿性炎症的特征,没有明确的癌细胞。我们首次记录到塞瑞替尼可能与肺肉芽肿性炎症有关,临床医生应该警惕在塞瑞替尼治疗期间出现这种罕见的不良反应的可能性。

https://cdn.ncbi.nlm.nih.gov/pmc/blobs/60ac/9395502/b4cdefbdc959/10637_2022_1270_Fig1_HTML.jpg

文献AI研究员

20分钟写一篇综述,助力文献阅读效率提升50倍。

立即体验

用中文搜PubMed

大模型驱动的PubMed中文搜索引擎

马上搜索

文档翻译

学术文献翻译模型,支持多种主流文档格式。

立即体验