Odom Obed W, Kang Seongjoon, Ferguson Caleb, Chen Carrie, Herrin David L
Department of Molecular Biosciences, University of Texas at Austin, Austin, TX 78712, USA.
Pond Life Technologies LLC, Cedar Park, TX 78613, USA.
Microorganisms. 2022 May 25;10(6):1087. doi: 10.3390/microorganisms10061087.
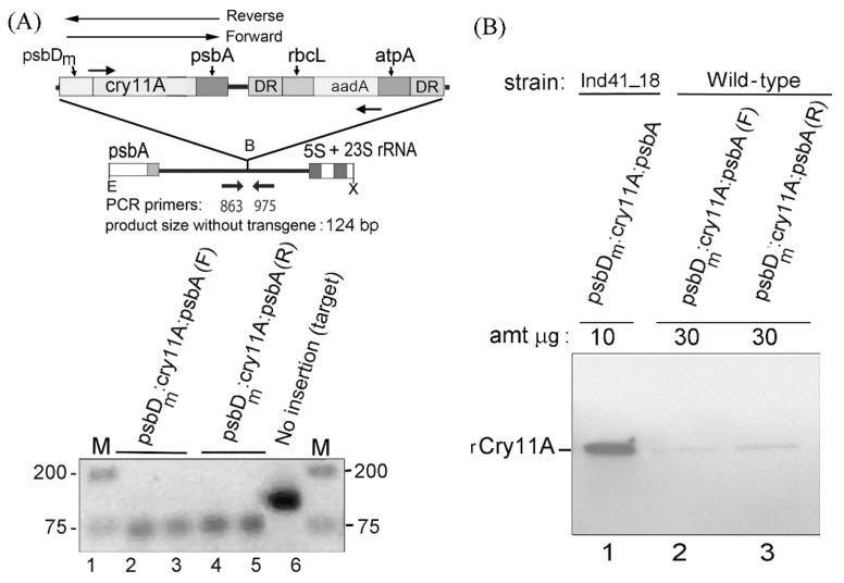
High-level expression of transgenes in the chloroplast of wild-type Chlamydomonas reinhardtii (C. reinhardtii) remains challenging for many genes (e.g., the cry toxin genes from Bacillus thuringiensis israelensis). The bottleneck is presumed to be post-transcriptional and mediated by the 5′ element and the coding region. Using 5′ elements from highly expressed photosynthesis genes such as atpA did not improve the outcome with cry11A regardless of the promoter. However, when we employed the 5′ UTR from mature rps4 mRNA with clean fusions to promoters, production of the rCry11A protein became largely promoter-dependent. The best results were obtained with the native 16S rrn promoter (−91 to −1). When it was fused to the mature 5′ rps4 UTR, rCry11A protein levels were ~50% higher than was obtained with the inducible system, or ~0.6% of total protein. This level was sufficient to visualize the 73-kDa rCry11A protein on Coomassie-stained gels of total algal protein. In addition, analysis of the expression of these transgenes by RT-PCR indicated that RNA levels roughly correlated with protein production. Live cell bioassays using the best strains as food for 3rd instar Aedes aegypti larvae showed that most larvae were killed even when the cell concentration was as low as 2 × 104 cells/mL. Finally, the results indicate that these highly toxic strains are also quite stable, and thus represent a key milestone in using C. reinhardtii for mosquito control.
在野生型莱茵衣藻(C. reinhardtii)的叶绿体中实现转基因的高水平表达,对于许多基因(例如来自以色列芽孢杆菌的cry毒素基因)而言仍然具有挑战性。瓶颈被认为是转录后水平的,并且由5′元件和编码区介导。无论使用何种启动子,采用来自高表达光合作用基因(如atpA)的5′元件都无法改善cry11A的表达结果。然而,当我们使用成熟rps4 mRNA的5′非翻译区(UTR)并与启动子进行无痕融合时,rCry11A蛋白的产生在很大程度上变得依赖于启动子。使用天然的16S rrn启动子(−91至−1)时获得了最佳结果。当它与成熟的5′ rps4 UTR融合时,rCry11A蛋白水平比诱导系统获得的水平高约50%,或占总蛋白的约0.6%。这个水平足以在藻类总蛋白的考马斯亮蓝染色凝胶上观察到73 kDa的rCry11A蛋白。此外,通过RT-PCR对这些转基因表达的分析表明,RNA水平与蛋白产生大致相关。使用最佳菌株作为埃及伊蚊三龄幼虫食物的活细胞生物测定表明,即使细胞浓度低至2×104个细胞/mL,大多数幼虫也会被杀死。最后,结果表明这些高毒性菌株也相当稳定,因此代表了利用莱茵衣藻进行蚊虫控制的一个关键里程碑。