Suppr超能文献

双克隆丙种球蛋白病作为诊断POEMS综合征的误导性指标:一例尸检病例报告及文献综述

Biclonal Gammopathy as a Misleading Indicator to Diagnose POEMS Syndrome: An Autopsy Case Report and a Review of the Literature.

作者信息

Ainai Shizuko, Komaki Ryouhei, Muramae Naokazu, Uno Rena, Mori Kenta, Otsui Kazunori, Yakushijin Kimikazu, Sakaguchi Kazuhiko

机构信息

Department of Rheumatology and Clinical Immunology, Kobe University Hospital, Kobe, JPN.

Division of Neurology, Kobe University Hospital, Kobe, JPN.

出版信息

Cureus. 2022 May 20;14(5):e25153. doi: 10.7759/cureus.25153. eCollection 2022 May.

Abstract

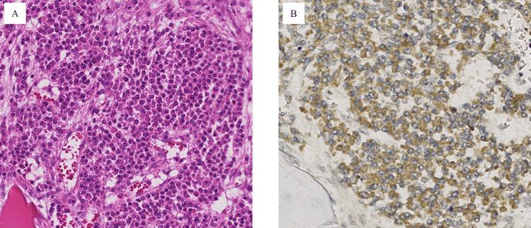
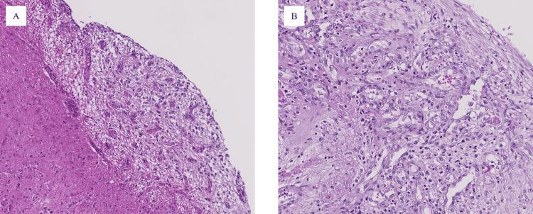
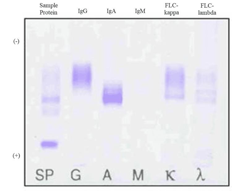
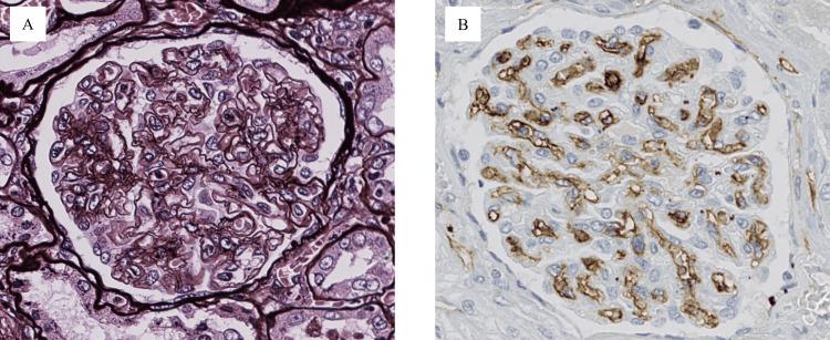
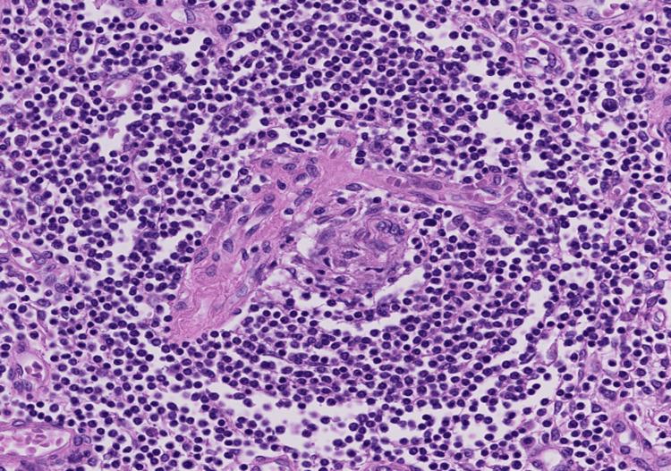
A 76-year-old man presented with a four-month history of progressive bilateral lower limb muscle weakness and dysesthesia. The patient had extravascular volume overload, and laboratory findings confirmed hypothyroidism, renal dysfunction, and chronic inflammation. Serum protein and immunofixation electrophoresis revealed biclonality of immunoglobulin A (IgA)-kappa and IgA-lambda, which was attributed to chronic inflammation. Subsequently, we detected the proliferation of monoclonal plasma cells in the bone marrow, which led to a diagnosis of POEMS syndrome. Despite the initiation of chemotherapy, the patient died of aspiration pneumonia. In this case, biclonal gammopathy in peripheral blood delayed a diagnosis of POEMS syndrome.

摘要

一名76岁男性,有4个月进行性双侧下肢肌肉无力和感觉异常病史。该患者存在血管外容量超负荷,实验室检查结果证实有甲状腺功能减退、肾功能不全和慢性炎症。血清蛋白和免疫固定电泳显示免疫球蛋白A(IgA)-κ和IgA-λ双克隆性,这归因于慢性炎症。随后,我们在骨髓中检测到单克隆浆细胞增殖,从而诊断为POEMS综合征。尽管开始了化疗,但患者死于吸入性肺炎。在这种情况下,外周血中的双克隆丙种球蛋白病延迟了POEMS综合征的诊断。

https://cdn.ncbi.nlm.nih.gov/pmc/blobs/78a3/9206714/d206b01be140/cureus-0014-00000025153-i01.jpg

文献检索

告别复杂PubMed语法,用中文像聊天一样搜索,搜遍4000万医学文献。AI智能推荐,让科研检索更轻松。

立即免费搜索

文件翻译

保留排版,准确专业,支持PDF/Word/PPT等文件格式,支持 12+语言互译。

免费翻译文档

深度研究

AI帮你快速写综述,25分钟生成高质量综述,智能提取关键信息,辅助科研写作。

立即免费体验