Suppr超能文献

原始滤泡树突状细胞肉瘤和脑弓形虫病:一例报告。

Blastic plasmacytoid dendritic cell neoplasm and cerebral toxoplasmosis: a case report.

机构信息

Department of Neurology, Rigshospitalet Glostrup, Faculty of Health and Medical Sciences, University of Copenhagen, Glostrup, Denmark.

Department of Hematology, Rigshospitalet, Faculty of Health and Medical Sciences, University of Copenhagen, Copenhagen, Denmark.

出版信息

BMC Neurol. 2022 Jun 24;22(1):233. doi: 10.1186/s12883-022-02748-5.

Abstract

BACKGROUND

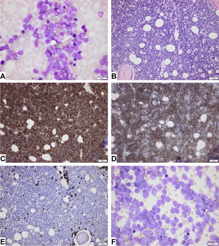
The present case contributes to the limited literature on central nervous system involvement of blastic plasmacytoid dendritic cell neoplasm (BPDCN).  CASE PRESENTATION : A 63-year-old male presented to the department of neurology with a three-day history of rapidly progressing headache, fatigue, and confusion. Physical examination revealed multiple bruise-like skin lesions. Initial laboratory workup raised suspicion of acute leukemia, and a brain computer tomography identified several hyperdense processes. A bone marrow biopsy gave the diagnosis BPDCN, a rare and aggressive hematologic malignancy derived from plasmacytoid dendritic cells with a poor prognosis. Lumbar puncture showed not only signs of BPDCN, but also cerebral toxoplasmosis, thus providing a differential diagnosis. Despite intensive systemic and intrathecal chemotherapy, the patient died 25 days later due to multi-organ failure.

DISCUSSION

The exact incidence of BPDCN is unknown and perhaps underestimated but may account for 0.5 - 1% of all hematological malignancies. The median age at onset is 60 to 70 years, and most patients are men. Cutaneous lesions are the most frequent clinical manifestation at diagnosis. Other symptoms present at time of diagnosis or during disease progression include lymphadenopathy, splenomegaly and cytopenia caused by bone marrow involvement. Although the majority of BPDCN patients have no symptoms or signs of central nervous system involvement, plasmacytoid dendritic cells have been detected in the cerebrospinal fluid in more than 50%.

CONCLUSIONS

This case highlights the importance of considering hematological malignancies as a differential diagnosis in patients developing acute neurological symptoms and raises suspicion of a possible association between toxoplasmosis and hematological malignancies.

摘要

背景

本病例为中枢神经系统累及原始浆细胞样树突细胞肿瘤(BPDCN)的罕见病例。

病例介绍

一名 63 岁男性因头痛、乏力和意识模糊 3 天就诊于神经内科。体格检查发现多处类似瘀斑的皮肤损伤。初始实验室检查提示急性白血病,颅脑计算机断层扫描(CT)发现多个高密度病变。骨髓活检诊断为 BPDCN,这是一种罕见的侵袭性血液系统恶性肿瘤,起源于浆细胞样树突细胞,预后不良。腰椎穿刺不仅提示 BPDCN,还提示脑弓形虫病,从而提供了鉴别诊断。尽管进行了强化全身和鞘内化疗,患者仍因多器官功能衰竭于 25 天后死亡。

讨论

BPDCN 的确切发病率尚不清楚,可能被低估,但可能占所有血液系统恶性肿瘤的 0.5-1%。发病中位年龄为 60-70 岁,大多数患者为男性。皮肤损伤是诊断时最常见的临床表现。其他在诊断时或疾病进展期间出现的症状包括淋巴结病、脾肿大和骨髓受累导致的血细胞减少。尽管大多数 BPDCN 患者无中枢神经系统受累的症状或体征,但超过 50%的患者脑脊液中可检测到浆细胞样树突细胞。

结论

本病例强调了在出现急性神经系统症状的患者中考虑血液系统恶性肿瘤作为鉴别诊断的重要性,并提示弓形虫病与血液系统恶性肿瘤之间可能存在关联。

https://cdn.ncbi.nlm.nih.gov/pmc/blobs/5061/9229753/f751f5b86843/12883_2022_2748_Fig1_HTML.jpg

文献检索

告别复杂PubMed语法,用中文像聊天一样搜索,搜遍4000万医学文献。AI智能推荐,让科研检索更轻松。

立即免费搜索

文件翻译

保留排版,准确专业,支持PDF/Word/PPT等文件格式,支持 12+语言互译。

免费翻译文档

深度研究

AI帮你快速写综述,25分钟生成高质量综述,智能提取关键信息,辅助科研写作。

立即免费体验