Suppr超能文献

基于头影测量预后因素的生长型骨性III类错牙合畸形的两期成功治疗:病例报告

Successful 2 phase treatment of growing skeletal Class III malocclusion based upon cephalometric prognostic factor: A case report.

作者信息

Qureshi Tabassum, Chaudhari Prabhat K

机构信息

Division of Orthodontics and Dentofacial Deformities-Centre for Dental Education and Research, All India Institute of Medical Sciences, New Delhi, India.

出版信息

J Orthod Sci. 2022 May 4;11:29. doi: 10.4103/jos.jos_160_21. eCollection 2022.

Abstract

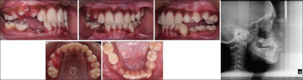
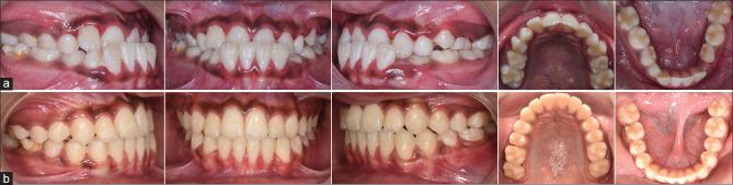
Early treatment of Class III malocclusion provides an improvement in facial appearance and corrects the reverse bite. Orthopedic protraction of maxilla is considered best approach in growing Class III patients with maxillary deficiency. Present case report describes the management of a growing 10-year-old boy with skeletal Class III malocclusion using facemask therapy (Phase 1) followed by fixed orthodontic treatment (Phase 2) based upon cephalometric prognostic findings of growth treatment response vector (GTRV). With the successful orthopedic phase of maxillary protraction with facemask therapy for 7 months of period, a significant improvement in profile had been achieved along with the correction in reverse overjet. This was followed by retention with chin cup therapy for a period of 20 months. After a period of 20 months retention, a fixed orthodontic treatment was started with the objective to achieve stable functional occlusion. After 11 months of treatment with fixed appliance therapy a stable functional occlusion was achieved. The patient was placed on Hawleys retainer in maxillary arch and bonded fixed spiral wire (FSW) retainer in mandibular arch. Successful management of growing Class III patient was done using facemask and fixed orthodontic therapy based upon cephalometric prognostic findings of growth treatment response vector (GTRV).

摘要

Ⅲ类错牙合畸形的早期治疗可改善面部外观并纠正反牙合。上颌骨矫形前牵引被认为是治疗上颌骨发育不足的生长发育期Ⅲ类患者的最佳方法。本病例报告描述了一名10岁骨骼Ⅲ类错牙合畸形生长发育期男孩的治疗过程,根据生长治疗反应向量(GTRV)的头影测量预后结果,先采用面罩治疗(第一阶段),随后进行固定正畸治疗(第二阶段)。通过面罩治疗成功进行上颌骨前牵引7个月,面部侧貌得到显著改善,反覆盖也得以纠正。随后使用颏兜治疗进行了20个月的保持。保持20个月后,开始进行固定正畸治疗,目的是实现稳定的功能性咬合。经过11个月的固定矫治器治疗,实现了稳定的功能性咬合。患者上颌牙弓佩戴霍利保持器,下颌牙弓佩戴粘结式固定螺旋丝(FSW)保持器。基于生长治疗反应向量(GTRV)的头影测量预后结果,通过面罩和固定正畸治疗成功治疗了生长发育期Ⅲ类患者。

https://cdn.ncbi.nlm.nih.gov/pmc/blobs/3912/9214454/59258fd015f4/JOS-11-29-g001.jpg

文献检索

告别复杂PubMed语法,用中文像聊天一样搜索,搜遍4000万医学文献。AI智能推荐,让科研检索更轻松。

立即免费搜索

文件翻译

保留排版,准确专业,支持PDF/Word/PPT等文件格式,支持 12+语言互译。

免费翻译文档

深度研究

AI帮你快速写综述,25分钟生成高质量综述,智能提取关键信息,辅助科研写作。

立即免费体验