Suppr超能文献

Long-term effects of protraction facemask combined with fixed appliance therapy in severe skeletal Class III adolescent: A case report with 5-year follow-up.

作者信息

Zhou Nan, Zhu Zhengxian, Jiang Liting, Wang Xuechao, Ye Niansong

机构信息

Shanghai Huaguang Dental Clinic, Shanghai, China.

Department of Orthodontics, Shanghai Xuhui District Dental Center, Shanghai, China.

出版信息

Int J Surg Case Rep. 2024 Nov;124:110306. doi: 10.1016/j.ijscr.2024.110306. Epub 2024 Sep 24.

Abstract

INTRODUCTION AND IMPORTANCE

The decision between orthodontic camouflage therapy and orthodontic-orthognathic surgical treatment for developing skeletal Class III malocclusion presents a significant challenge for orthodontists.

CASE PRESENTATION

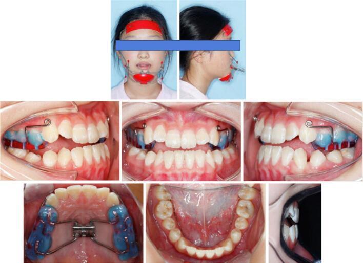
This case report describes the camouflage treatment of a severe skeletal Class III adolescent at the post-pubertal stage.

CLINICAL DISCUSSION

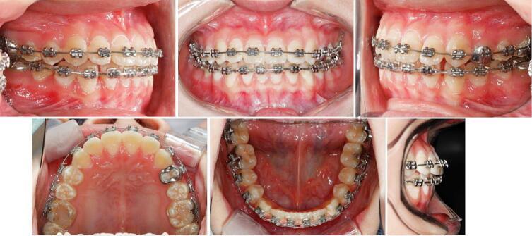
Protraction facemask combined with a bonded acrylic splint expander was initially used to correct the developing skeletal Class III malocclusion. Then the patient received fixed appliance therapy. The duration of active treatment was 14 months. Anterior crossbite was corrected, along with stable occlusion and harmonious facial condition. The results remain stable at the 5-year follow-up period.

CONCLUSION

Treatment with protraction facemask followed by fixed appliance therapy was possibly effective in a long-term observation, even in skeletal Class III adolescent at the post-pubertal stage.

摘要
https://cdn.ncbi.nlm.nih.gov/pmc/blobs/c789/11462016/344b4f815c31/gr1.jpg

文献AI研究员

20分钟写一篇综述,助力文献阅读效率提升50倍。

立即体验

用中文搜PubMed

大模型驱动的PubMed中文搜索引擎

马上搜索

文档翻译

学术文献翻译模型,支持多种主流文档格式。

立即体验