Suppr超能文献

新辅助 BRAF 和 MEK 抑制剂靶向治疗成人颅咽管瘤:一种新的治疗模式。

Neoadjuvant B-RAF and MEK Inhibitor Targeted Therapy for Adult Papillary Craniopharyngiomas: A New Treatment Paradigm.

机构信息

Pituitary and Skull Base Neurosurgical Department, Reference Center for Rare Pituitary Diseases HYPO, "Groupement Hospitalier Est" Hospices Civils de Lyon, "Claude Bernard" Lyon 1 University, Hôpital Pierre Wertheimer, Lyon, France.

Department of Neurosurgery, I.R.C.C.S. San Raffaele Scientific Institute, Vita-Salute University, Milan, Italy.

出版信息

Front Endocrinol (Lausanne). 2022 Jun 9;13:882381. doi: 10.3389/fendo.2022.882381. eCollection 2022.

Abstract

BACKGROUND

Surgical and clinical management of craniopharyngiomas is associated with high long-term morbidity especially in the case of hypothalamic involvement. Improvements in knowledge of craniopharyngioma molecular biology may offer the possibility of safe and effective medical neoadjuvant treatments in a subset of patients harboring papillary subtype tumors with a BRAFV600E mutation.

METHOD

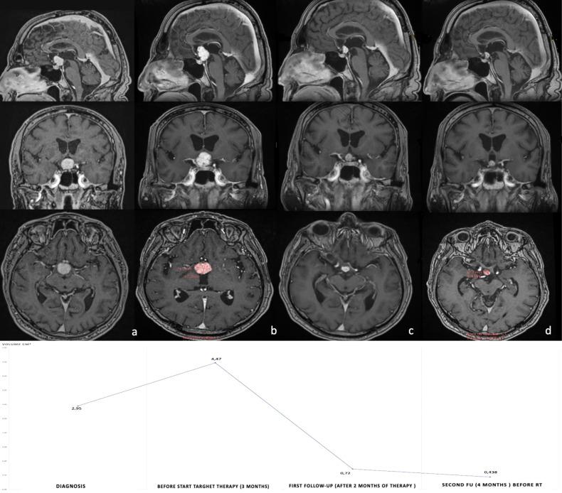
We report herein two cases of tubero-infundibular and ventricular Papillary Craniopharyngiomas in which BRAF/MEK inhibitor combined therapy was used as adjuvant (Case 1) or neoadjuvant (Case 2) treatment, with a 90% reduction in tumor volume observed after only 5 months. In Case 2 the only surgical procedure used was a minimal invasive biopsy by the trans-ventricular neuroendoscopic approach. As a consequence, targeted therapy was administered in purely neoadjuvant fashion. After shrinkage of the tumor, both patients underwent fractionated radiotherapy on the small tumor remnant to achieve long-term tumor control. A review of a previously reported case has also been performed.

RESULT

This approach led to tumor control with minimal long-term morbidity in both cases. No side effects or complications were reported after medical treatment and adjuvant radiotherapy.

CONCLUSION

Our experience and a review of the literature argue for a change in the current treatment paradigm for Craniopharyngiomas (CPs). In giant and invasive tumors, confirmation of BRAFV600E mutated PCPs by biopsy and BRAF/MEK inhibitor therapy before proposing other treatments may be useful to improve long term outcomes for patients.

摘要

背景

颅咽管瘤的手术和临床治疗与高长期发病率相关,尤其是在涉及下丘脑的情况下。对颅咽管瘤分子生物学的认识的提高,可能为携带 BRAFV600E 突变的乳头状亚型肿瘤的一部分患者提供安全有效的医学新辅助治疗的可能性。

方法

我们在此报告两例鞍上-漏斗和脑室的乳头状颅咽管瘤,其中 BRAF/MEK 抑制剂联合治疗作为辅助(病例 1)或新辅助(病例 2)治疗,仅在 5 个月后观察到肿瘤体积减少 90%。在病例 2 中,唯一使用的手术方法是通过经脑室神经内镜进行微创活检。因此,靶向治疗以纯粹的新辅助方式进行。肿瘤缩小后,两名患者均接受分割放疗以控制残余肿瘤,实现长期肿瘤控制。还对以前报告的一例病例进行了回顾。

结果

这种方法在两种情况下都能控制肿瘤,且长期发病率低。在接受药物治疗和辅助放疗后,没有报告任何副作用或并发症。

结论

我们的经验和文献回顾支持改变颅咽管瘤(CP)的当前治疗模式。在巨大和侵袭性肿瘤中,通过活检和 BRAF/MEK 抑制剂治疗确认存在 BRAFV600E 突变的 PCP 后,在提出其他治疗方法之前,可能有助于改善患者的长期预后。

https://cdn.ncbi.nlm.nih.gov/pmc/blobs/0c05/9228029/758e70e69637/fendo-13-882381-g001.jpg

文献检索

告别复杂PubMed语法,用中文像聊天一样搜索,搜遍4000万医学文献。AI智能推荐,让科研检索更轻松。

立即免费搜索

文件翻译

保留排版,准确专业,支持PDF/Word/PPT等文件格式,支持 12+语言互译。

免费翻译文档

深度研究

AI帮你快速写综述,25分钟生成高质量综述,智能提取关键信息,辅助科研写作。

立即免费体验