Suppr超能文献

抑制脂质激酶PIKfyve揭示了磷酸酶Inpp4b在通过VPS34活性调节PI(3)P介导的溶酶体动力学中的作用。

Inhibition of lipid kinase PIKfyve reveals a role for phosphatase Inpp4b in the regulation of PI(3)P-mediated lysosome dynamics through VPS34 activity.

作者信息

Saffi Golam T, Wang Cheng An, Mangialardi Emily M, Vacher Jean, Botelho Roberto J, Salmena Leonardo

机构信息

Department of Pharmacology & Toxicology, University of Toronto, Toronto, Ontario, Canada.

Institut de Recherches Cliniques de Montréal (IRCM), Département de Médecine, Université de Montréal, Montréal, Québec, Canada.

出版信息

J Biol Chem. 2022 Aug;298(8):102187. doi: 10.1016/j.jbc.2022.102187. Epub 2022 Jun 26.

Abstract

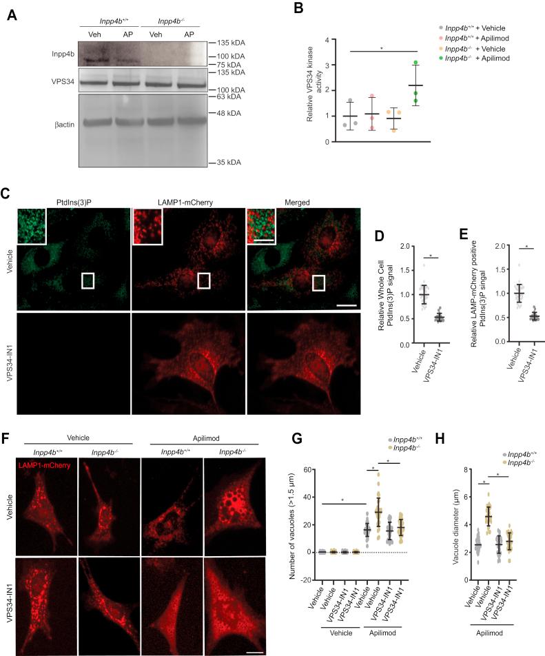
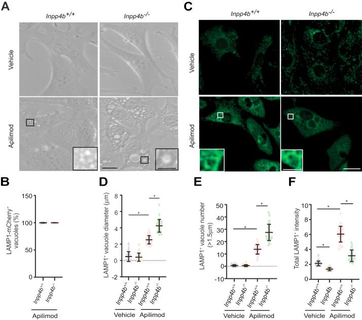
Lysosome membranes contain diverse phosphoinositide (PtdIns) lipids that coordinate lysosome function and dynamics. The PtdIns repertoire on lysosomes is tightly regulated by the actions of diverse PtdIns kinases and phosphatases; however, specific roles for PtdIns in lysosomal functions and dynamics are currently unclear and require further investigation. It was previously shown that PIKfyve, a lipid kinase that synthesizes PtdIns(3,5)P from PtdIns(3)P, controls lysosome "fusion-fission" cycle dynamics, autophagosome turnover, and endocytic cargo delivery. Furthermore, INPP4B, a PtdIns 4-phosphatase that hydrolyzes PtdIns(3,4)P to form PtdIns(3)P, is emerging as a cancer-associated protein with roles in lysosomal biogenesis and other lysosomal functions. Here, we investigated the consequences of disrupting PIKfyve function in Inpp4b-deficient mouse embryonic fibroblasts. Through confocal fluorescence imaging, we observed the formation of massively enlarged lysosomes, accompanied by exacerbated reduction of endocytic trafficking, disrupted lysosome fusion-fission dynamics, and inhibition of autophagy. Finally, HPLC scintillation quantification of H-myo-inositol labeled PtdIns and PtdIns immunofluorescence staining, we observed that lysosomal PtdIns(3)P levels were significantly elevated in Inpp4b-deficient cells due to the hyperactivation of phosphatidylinositol 3-kinase catalytic subunit VPS34 enzymatic activity. In conclusion, our study identifies a novel signaling axis that maintains normal lysosomal homeostasis and dynamics, which includes the catalytic functions of Inpp4b, PIKfyve, and VPS34.

摘要

溶酶体膜含有多种磷酸肌醇(PtdIns)脂质,它们协调溶酶体的功能和动态变化。溶酶体上的PtdIns种类受到多种PtdIns激酶和磷酸酶作用的严格调控;然而,PtdIns在溶酶体功能和动态变化中的具体作用目前尚不清楚,需要进一步研究。先前的研究表明,PIKfyve是一种从PtdIns(3)P合成PtdIns(3,5)P的脂质激酶,它控制溶酶体的“融合-裂变”循环动态、自噬体周转以及内吞货物运输。此外,INPP4B是一种将PtdIns(3,4)P水解形成PtdIns(3)P的PtdIns 4-磷酸酶,它正作为一种与癌症相关的蛋白质出现,在溶酶体生物发生和其他溶酶体功能中发挥作用。在这里,我们研究了在Inpp4b缺陷的小鼠胚胎成纤维细胞中破坏PIKfyve功能的后果。通过共聚焦荧光成像,我们观察到大量扩大的溶酶体的形成,同时伴有内吞运输的加剧减少、溶酶体融合-裂变动态的破坏以及自噬的抑制。最后,通过高效液相色谱闪烁定量法对H-肌醇标记的PtdIns进行定量以及PtdIns免疫荧光染色,我们观察到由于磷脂酰肌醇3-激酶催化亚基VPS34酶活性的过度激活,Inpp4b缺陷细胞中的溶酶体PtdIns(3)P水平显著升高。总之,我们的研究确定了一条维持正常溶酶体稳态和动态变化的新信号轴,其中包括Inpp4b、PIKfyve和VPS34的催化功能。

https://cdn.ncbi.nlm.nih.gov/pmc/blobs/01c5/9304791/0386259c1f14/gr1.jpg

文献检索

告别复杂PubMed语法,用中文像聊天一样搜索,搜遍4000万医学文献。AI智能推荐,让科研检索更轻松。

立即免费搜索

文件翻译

保留排版,准确专业,支持PDF/Word/PPT等文件格式,支持 12+语言互译。

免费翻译文档

深度研究

AI帮你快速写综述,25分钟生成高质量综述,智能提取关键信息,辅助科研写作。

立即免费体验