Suppr超能文献

卵巢组织玻璃化冷冻:一种用于临床级冷冻保存的新型金属封闭系统的应用

Ovarian tissue vitrification: the use of a novel metal closed system for clinical grade cryopreservation.

作者信息

Aquino Douglas, Danielli Lucas, Rigon Paula, Lothhammer Nivia, Frantz Nilo, Bos-Mikich Adriana

机构信息

Department of Morphological Sciences ICBS. Federal University of Rio Grande do Sul, Porto Alegre, RS, Brazil.

Nilo Frantz Human Reproduction Centre Aquino, Porto Alegre, RS, Brazil.

出版信息

JBRA Assist Reprod. 2014 Mar 27;18(1):12-15. doi: 10.5935/1518-0557.20140086.

Abstract

OBJECTIVE

To investigate whether a metal chamber is an appropriate system for vitrification of ovarian tissue under clinical grade.

METHODS

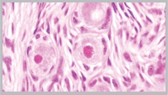
Experimental study, control versus treatment. Bovine ovarian cortices cut in 1x1x1 mm fragments were vitrified using ethylene glycol and dimethyl sulfoxide inside steel cryovials, whose bases were in touch with Liquid Nitrogen (LN2). Screw caps closed the cryovials before plunging into LN2. Primordial (n=356) and primary (n=327) follicles and the stroma were analyzed after histological preparation using light microscopy.

RESULTS

High rate of primordial (93%) and primary (80%) follicles presented normal morphology in the rewarmed fragments. There was not a significant difference between controls and primordial follicles morphology (P=0.1519). Significant difference was observed for the primary follicles (P=0.0097). Important to point out that stromal cells and collagen fibers presented a remarkable integrity, without major alterations in the cryopreserved tissues.

CONCLUSIONS

The steel cryovial seems to be a safe means of vitrification under clinical grade conditions, with very fast cooling rates and no direct contact of the biological material with the liquid nitrogen (LN2). Ovarian reserve represented by primordial and primary follicles and stroma are very well preserved in this vitrification system.

摘要

目的

研究金属腔室是否为临床级条件下卵巢组织玻璃化冷冻的合适系统。

方法

实验研究,对照与处理。将切成1×1×1毫米碎片的牛卵巢皮质在钢质冷冻管内使用乙二醇和二甲基亚砜进行玻璃化冷冻,冷冻管底部与液氮(LN2)接触。在投入液氮之前,用螺帽封闭冷冻管。在组织学制备后,使用光学显微镜分析原始卵泡(n = 356)和初级卵泡(n = 327)以及基质。

结果

在复温后的碎片中,原始卵泡(93%)和初级卵泡(80%)呈现正常形态的比例较高。对照组与原始卵泡形态之间无显著差异(P = 0.1519)。初级卵泡存在显著差异(P = 0.0097)。需要指出的是,基质细胞和胶原纤维呈现出显著的完整性,冷冻保存的组织中没有重大改变。

结论

在临床级条件下,钢质冷冻管似乎是一种安全的玻璃化冷冻方法,具有非常快的冷却速率,且生物材料不与液氮(LN2)直接接触。在这个玻璃化冷冻系统中,由原始卵泡、初级卵泡和基质所代表的卵巢储备得到了很好的保存。

https://cdn.ncbi.nlm.nih.gov/pmc/blobs/6b9f/9237917/ec6b0a470cf2/jbra-18-01-0012-g01.jpg

文献AI研究员

20分钟写一篇综述,助力文献阅读效率提升50倍。

立即体验

用中文搜PubMed

大模型驱动的PubMed中文搜索引擎

马上搜索

文档翻译

学术文献翻译模型,支持多种主流文档格式。

立即体验