• 文献检索
  • 文档翻译
  • 深度研究
  • 学术资讯
  • Suppr Zotero 插件Zotero 插件
  • 邀请有礼
  • 套餐&价格
  • 历史记录
应用&插件
Suppr Zotero 插件Zotero 插件浏览器插件Mac 客户端Windows 客户端微信小程序
定价
高级版会员购买积分包购买API积分包
服务
文献检索文档翻译深度研究API 文档MCP 服务
关于我们
关于 Suppr公司介绍联系我们用户协议隐私条款
关注我们

Suppr 超能文献

核心技术专利:CN118964589B侵权必究
粤ICP备2023148730 号-1Suppr @ 2026

文献检索

告别复杂PubMed语法,用中文像聊天一样搜索,搜遍4000万医学文献。AI智能推荐,让科研检索更轻松。

立即免费搜索

文件翻译

保留排版,准确专业,支持PDF/Word/PPT等文件格式,支持 12+语言互译。

免费翻译文档

深度研究

AI帮你快速写综述,25分钟生成高质量综述,智能提取关键信息,辅助科研写作。

立即免费体验

免疫功能低下患者中耶氏肺孢子菌所致的大片状空洞形成

Massive Cavitation by Pneumocystis jirovecii in an Immunocompromised Patient.

作者信息

Chaar-Hernandez Aldair, Montes Jorge, Rojas Maria C, Padilla-Mantilla Diego A, Lahmar Abdelilah, Toledo-Martinez Juan F, Somoza-Cano Francisco J

机构信息

Internal Medicine, Universidad de La Sabana, Bogota, COL.

Internal Medicine, Universidad de Los Andes, Bogota, COL.

出版信息

Cureus. 2022 May 26;14(5):e25354. doi: 10.7759/cureus.25354. eCollection 2022 May.

DOI:10.7759/cureus.25354
PMID:35761908
原文链接:https://pmc.ncbi.nlm.nih.gov/articles/PMC9233478/
Abstract

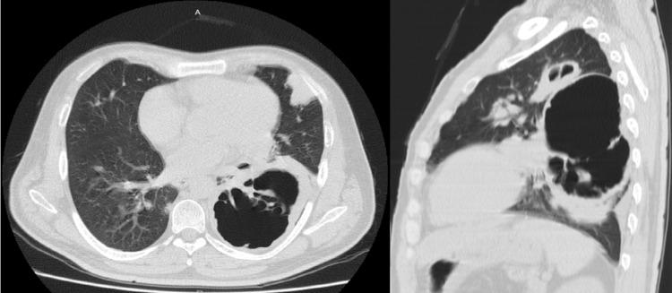
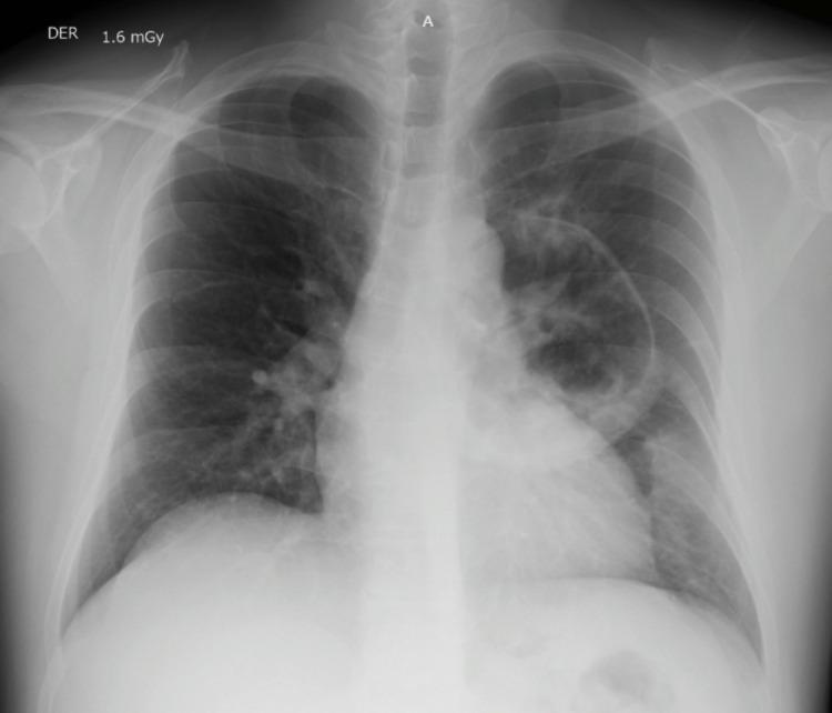
Since the development of antiretroviral therapy (ART) and antibiotic prophylaxis, the incidence of opportunistic infections in human immunodeficiency virus-acquired immunodeficiency syndrome (HIV-AIDS) has been drastically reduced. However, third-world countries remain a fertile ground for medication nonadherence and inappropriate patient follow-up. Here, we present the case of a 42-year-old male with a history of HIV who presented with worsening shortness of breath and atypical chest pain. A chest X-ray and chest computed tomography scan revealed a left parahilar cavitation measuring 86 mm in diameter. A percutaneous lung biopsy revealed . Appropriate antibiotics were started, and the patient's clinical status significantly improved. This case illustrates the devastating consequences of uncontrolled HIV-AIDS. ART and prophylactic antibiotics remain the cornerstone of treatment to ameliorate progressive lung damage in patients.

摘要

自从抗逆转录病毒疗法(ART)和抗生素预防措施发展以来,人类免疫缺陷病毒获得性免疫缺陷综合征(HIV-AIDS)中机会性感染的发生率已大幅降低。然而,第三世界国家仍然是药物治疗依从性差和患者随访不当的温床。在此,我们报告一例42岁有HIV病史的男性病例,该患者出现呼吸急促加重和非典型胸痛。胸部X线和胸部计算机断层扫描显示左肺门旁有一个直径86毫米的空洞。经皮肺活检显示……开始使用适当的抗生素后,患者的临床状况显著改善。该病例说明了未控制的HIV-AIDS的毁灭性后果。ART和预防性抗生素仍然是改善患者进行性肺损伤的治疗基石。

https://cdn.ncbi.nlm.nih.gov/pmc/blobs/a300/9233478/92bccf96e0d2/cureus-0014-00000025354-i03.jpg
https://cdn.ncbi.nlm.nih.gov/pmc/blobs/a300/9233478/5a743bc1aa43/cureus-0014-00000025354-i01.jpg
https://cdn.ncbi.nlm.nih.gov/pmc/blobs/a300/9233478/70780e9dcc2b/cureus-0014-00000025354-i02.jpg
https://cdn.ncbi.nlm.nih.gov/pmc/blobs/a300/9233478/92bccf96e0d2/cureus-0014-00000025354-i03.jpg
https://cdn.ncbi.nlm.nih.gov/pmc/blobs/a300/9233478/5a743bc1aa43/cureus-0014-00000025354-i01.jpg
https://cdn.ncbi.nlm.nih.gov/pmc/blobs/a300/9233478/70780e9dcc2b/cureus-0014-00000025354-i02.jpg
https://cdn.ncbi.nlm.nih.gov/pmc/blobs/a300/9233478/92bccf96e0d2/cureus-0014-00000025354-i03.jpg

相似文献

1
Massive Cavitation by Pneumocystis jirovecii in an Immunocompromised Patient.免疫功能低下患者中耶氏肺孢子菌所致的大片状空洞形成
Cureus. 2022 May 26;14(5):e25354. doi: 10.7759/cureus.25354. eCollection 2022 May.
2
A rare case of an HIV-seronegative AIDS patient with Pneumocystis jirovecii pneumonia.HIV 血清阴性艾滋病患者合并肺孢子菌肺炎 1 例罕见报告
BMC Infect Dis. 2019 Jun 14;19(1):525. doi: 10.1186/s12879-019-4143-8.
3
Pneumothorax as a Prelude: Unveiling Concurrent HIV and Pneumocystis jirovecii Pneumonia in a Diagnostic Journey.气胸作为前奏:在诊断过程中揭示同时存在的艾滋病毒和耶氏肺孢子菌肺炎
Cureus. 2024 May 20;16(5):e60697. doi: 10.7759/cureus.60697. eCollection 2024 May.
4
[Coinfection with Pneumocystis jirovecii and Mycobacterium tuberculosis in a patient with AIDS: a first report in Japan].[一名艾滋病患者同时感染耶氏肺孢子菌和结核分枝杆菌:日本首例报告]
Nihon Kokyuki Gakkai Zasshi. 2011 Mar;49(3):192-6.
5
Pneumonia-Associated Acute Respiratory Distress Syndrome Complicated by Pneumomediastinum and Pneumopericardium in a Non-Human Immunodeficiency Virus-Infected Patient.一名未感染人类免疫缺陷病毒的患者发生肺炎相关急性呼吸窘迫综合征并伴有纵隔气肿和心包积气
J Clin Med Res. 2020 Mar;12(3):209-213. doi: 10.14740/jocmr4074. Epub 2020 Mar 2.
6
Clinical, Diagnostic, and Treatment Disparities between HIV-Infected and Non-HIV-Infected Immunocompromised Patients with Pneumocystis jirovecii Pneumonia.HIV 感染与非 HIV 感染免疫功能低下患者肺部卡氏肺孢子菌肺炎的临床、诊断和治疗差异。
Respiration. 2018;96(1):52-65. doi: 10.1159/000487713. Epub 2018 Apr 10.
7
[Pneumocystis Pneumonia in 107 HIV Infected Patients Admitted to the Department of Infectious Diseases at Santa Maria Hospital, Lisbon (2002 - 2013)].[107例人类免疫缺陷病毒感染患者的肺孢子菌肺炎,入住里斯本圣玛丽亚医院传染病科(2002 - 2013年)]
Acta Med Port. 2016 Oct;29(10):639-650. doi: 10.20344/amp.7022. Epub 2016 Oct 31.
8
Extrapulmonary pneumocystosis in an antiretroviral therapy-naïve, HIV-positive patient.HIV 阳性、未接受过抗反转录病毒治疗患者的肺外肺囊虫病。
Int J Infect Dis. 2022 Jul;120:65-67. doi: 10.1016/j.ijid.2022.03.058. Epub 2022 Apr 6.
9
A Rare Case of Splenic in a HIV-Positive Patient.一名HIV阳性患者的罕见脾脏病例。 (原文“Splenic”后缺少具体病症等关键信息,翻译可能存在一定局限性)
Case Rep Gastrointest Med. 2020 Jun 10;2020:8509591. doi: 10.1155/2020/8509591. eCollection 2020.
10
Successful Extracorporeal Membrane Oxygenation Treatment in an Acquired Immune Deficiency Syndrome (AIDS) Patient with Acute Respiratory Distress Syndrome (ARDS) Complicating Pneumocystis jirovecii Pneumonia: A Challenging Case.一名获得性免疫缺陷综合征(AIDS)患者合并耶氏肺孢子菌肺炎并发急性呼吸窘迫综合征(ARDS),成功接受体外膜肺氧合治疗:一例具有挑战性的病例。
Am J Case Rep. 2020 Feb 26;21:e919570. doi: 10.12659/AJCR.919570.

本文引用的文献

1
A Rare Case of Pneumocystis Pneumonia in HIV Patient on Glucocorticoid.一名接受糖皮质激素治疗的HIV患者发生肺孢子菌肺炎的罕见病例。
Cureus. 2021 Apr 13;13(4):e14445. doi: 10.7759/cureus.14445.
2
Pneumonia: Immunity, Vaccines, and Treatments.肺炎:免疫、疫苗与治疗
Pathogens. 2021 Feb 19;10(2):236. doi: 10.3390/pathogens10020236.
3
Host Factors and Outcomes in Hospitalizations for Pneumocystis Jirovecii Pneumonia in the United States.美国住院治疗卡氏肺孢子菌肺炎的宿主因素和结局。
Mayo Clin Proc. 2021 Feb;96(2):400-407. doi: 10.1016/j.mayocp.2020.07.029.
4
Diagnostic evaluation of serum (1, 3)-β-d-glucan levels using the Fungitec G-Test MK kit for Pneumocystis jirovecii pneumonia (PCP) in non-HIV patients.使用Fungitec G-Test MK试剂盒对非HIV患者检测血清(1, 3)-β-D-葡聚糖水平以诊断耶氏肺孢子菌肺炎(PCP)。
Med Mycol. 2020 Dec 28. doi: 10.1093/mmy/myaa101.
5
Adjunctive corticosteroids may be associated with better outcome for non-HIV Pneumocystis pneumonia with respiratory failure: a systemic review and meta-analysis of observational studies.辅助性皮质类固醇可能与非HIV肺孢子菌肺炎合并呼吸衰竭的更好预后相关:一项观察性研究的系统评价和荟萃分析。
Ann Intensive Care. 2020 Mar 20;10(1):34. doi: 10.1186/s13613-020-00649-9.
6
Burden of Fungal Infections in Colombia.哥伦比亚的真菌感染负担
J Fungi (Basel). 2018 Mar 21;4(2):41. doi: 10.3390/jof4020041.
7
[Pneumocystosis during HIV infection].[HIV感染期间的肺孢子菌病]
Rev Pneumol Clin. 2016 Aug;72(4):248-54. doi: 10.1016/j.pneumo.2016.04.004. Epub 2016 Jun 24.
8
Pneumocystis Pneumonia in Human Immunodeficiency Virus-infected Adults and Adolescents: Current Concepts and Future Directions.人类免疫缺陷病毒感染的成人和青少年中的肺孢子菌肺炎:当前概念与未来方向
Clin Med Insights Circ Respir Pulm Med. 2015 Aug 12;9(Suppl 1):19-28. doi: 10.4137/CCRPM.S23324. eCollection 2015.
9
Adjunctive corticosteroids for Pneumocystis jiroveci pneumonia in patients with HIV infection.艾滋病病毒感染患者耶氏肺孢子菌肺炎的辅助性皮质类固醇治疗
Cochrane Database Syst Rev. 2015 Apr 2;2015(4):CD006150. doi: 10.1002/14651858.CD006150.pub2.
10
Cellular profiles of bronchoalveolar lavage fluid and their prognostic significance for non-HIV-infected patients with Pneumocystis jirovecii pneumonia.非HIV感染的耶氏肺孢子菌肺炎患者支气管肺泡灌洗液体细胞谱及其预后意义
J Clin Microbiol. 2015 Apr;53(4):1310-6. doi: 10.1128/JCM.03494-14. Epub 2015 Feb 11.